ВХОД ДЛЯ ПАЦИЕНТОВ
вверх
поиск
админ
главная
|
Консолид. перелом г/ стопного |
 |
 |
 |
Прислано Алексей Минервин 09 Март 2006, 21:34
из
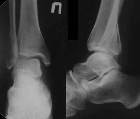
Уважаемые коллеги! Госпитализировал симпатичную девушку 22 года. Травма 15.01.06.
Лечилась в гипсовой повязке, иммобилизация 6 недель.
После снятия гипса на рентгене смещение отломков. Планирую репозицию наружной лодыжки ( фиксация треть трубчатой пластиной) и заднего края б/б кости (винт). Однако, есть вопросы: 1)доступ (планирую из одного заднего доступа, реально?), 2)остеотомия по линиям перелома или целесообразнее как-то иначе? 3)нуждается ли дельтовидная связка в хирургическом вмешательстве?
С уважением, А.Минервин.
Обратите внимание: Поля с жирными названиями обязательны.
Старайтесь отвечать в рамках обсуждаемой темы, а не начинать новые обсуждения.
Указывайте адекватную тему сообщения, чтобы было ясно, о чем оно.
Не послайте сообщений не по теме (оффтопик), раздраженных, грубых или обидных комментариев. Здесь это неуместно.
|