ВХОД ДЛЯ ПАЦИЕНТОВ
вверх
поиск
админ
главная
исходное
|
Re: Повторный перелом бедра.
послал Александр Нагога 16 Март 2006, 16:55
|

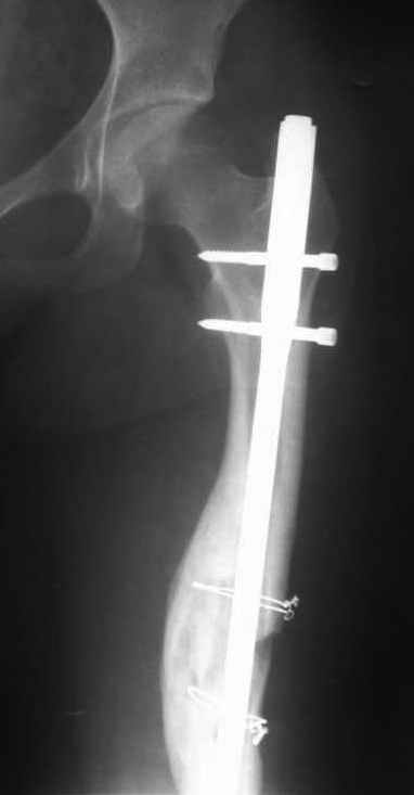
В дополнение:
Вполне возможно, что перед вами встанет проблема укорочения бедренной кости.
Удлинить сегмент на штифте БИОС-системы возможно, не прибегая к АВФ (продлевая и без того затянувшееся лечение).
В нашей работе мы столкнулись с похожей ситуацией. У девушки 16-ти лет произошел изгиб интрамедуллярного штифта с вторичным смещением отломков бедра (гвоздь оказался тонковат, использовали, видимо, по принципу, что было под рукой). Вот только укорочение последнего составило 4см. Оперировали с обнажением места перелома, удлинили бедро на штифте ChM с элементами костной аутоплатики а-ля Хахутов. К слову, это был один из первых опытов использования нами БИОС вообще. Исходный результат - полная косолидация и выигрыш 3см, что расцениваем его как достойный данного изложения.
Нагога Александр и врачи "ОРТО", САМАРА.
|
| Послать ответ |
Обратите внимание: Поля с жирными названиями обязательны.
Старайтесь отвечать в рамках обсуждаемой темы, а не начинать новые обсуждения.
Указывайте адекватную тему сообщения, чтобы было ясно, о чем оно.
Не послайте сообщений не по теме (оффтопик), раздраженных, грубых или обидных комментариев. Здесь это неуместно.
|