Ответить
|
Re: Оскольчатый перелом пяточной кости.
Пак Леонид 13 Март 2006, 17:24
|
Выполнил бы открытую репозицию, костную аутопластику трансплантатом из гребня подвздошной кости с фиксацией скобой с термомеханической памятью.
|
[
Ответить ]
|
Re: Оскольчатый перелом пяточной кости.
Отправитель: Djoldas Kuldjanov, M.D. 13 Март 2006, 21:30
|
Меня интересуют вопросы: кто производитель этих имплантов, адреса?
Как они фиксируют перелом пяточной кости, имеется ли возможность посмотреть на картинки со случаем перелома пятки с применением скоб?
Джолдас Кульджанов
|
[
Ответить ]
|
Re: Оскольчатый перелом пяточной кости.
Отправитель: Пак Леонид 14 Март 2006, 19:16
|
Уважаемый Джолдас импланты производятся всероссийским научно-практическим центром имплантов с памятью формы. г. Новокузнецк www. kuzbass.ru/~smi
|
[
Ответить ]
|
Re: Оскольчатый перелом пяточной кости.
Отправитель: imtamed 02 Сентябрь 2009, 07:58
|
http://www.imta.opt.ru/
|
[
Ответить ]
|
|
Re: Оскольчатый перелом пяточной кости.
Булахтин Юрий Алексеевич 13 Март 2006, 22:20
|
Очень хорошее впечатление осталось после использования выпускаемой для остеосинтеза пяточной кости АО реконструктивной пластины с угловой стабильностью. В России ее продает Синтез Матис.
К имплантам с памятью формы, в данномне случае, отношусь скептически. Может-ли кто-то из уважаемых коллег представить R-логические доказательства сохранения достигнутой коррекции?
|
[
Ответить ]
|
Re: Оскольчатый перелом пяточной кости.
А.П.Ким 14 Март 2006, 16:20
|
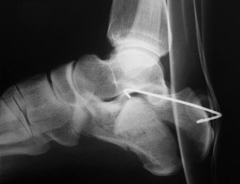
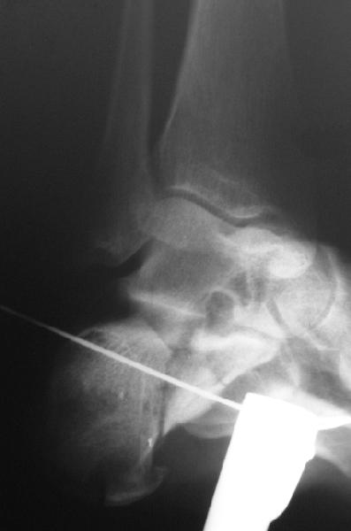
В/суставные переломы пяточной кости у молодых являются показанием к оперативной коррекции, Большой материал накоплен у д-ра Дрягина (Челябинск). В нашем отделении предпочтение отдаем открытой репозиции, при наличии выраженного отека, фликтен и т.д.
Накладываем спицевой дистрактор, позволяющий выхаживать м/ткани и одновременно устранять захождение отломков. 
Окончательная фиксация спицами, пяточными пластинами (5) , в последнее время стали применять крючковидные пластины (ДЕОСТ) (6,6a). 
Кроме стандартных снимков, необходим контроль конгруэнтности суставной поверхности (проекции Бродена) 
|
[
Ответить ]
|
Re: Оскольчатый перелом пяточной кости.
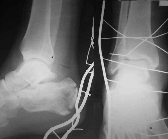
Пак Леонид 14 Март 2006, 19:11
|

представляю снимки пациента с переломом пяточной кости. послеоперационный снимок этапный - по снятии швов спицы удаляю и наладываю циркулярную гипсовую повязку. к сожалению снимки с удаленной скобой представить не могу но поверьте на слово - консолидация полная, коррекция стойкая.
|
[
Ответить ]
|
Re: Оскольчатый перелом пяточной кости.
Отправитель: Alexander Chelnokov 14 Март 2006, 20:25
|
Какие задачи ставились при планировании этой операции? И какая уж такая уникальная польза тут была от этой скобы, что появляется желание
ее советовать?
|
[
Ответить ]
|
Re: Оскольчатый перелом пяточной кости.
Отправитель: Пак Леонид 19 Март 2006, 18:06
|
при планировании операции и ее исполнении выполнена костная аутопластика трансплантатом с гребня подвздошной кости причем трансплантат брался фрезой размером несколько болишим чем образованный в результате травмы дефект. скоба в данном случае обеспечивает компрессию между отломками-трансплантатом
|
[
Ответить ]
|
Re: Оскольчатый перелом пяточной кости.
Отправитель: А.П.Ким 15 Март 2006, 14:53
|
Ув. коллега, нельзя ли уточнить сроки иммобилизации после операции и вид гипсовой повязки ( с захватом коленного сустава или без)
|
[
Ответить ]
|
|
Re: Оскольчатый перелом пяточной кости.
Лукавин Руслан 14 Март 2006, 20:33
|
Удаляете спицы после снятия швов? Ну я например швы максимум 14 дней держу.... если нет трудностей с заживлением раны. А не рановато ли спицы удалять? Ахил ведь эти все фраменты запросто растянет при любом напряжении и гипсовая повязка тут особой преграды не окажет. :-\
Или я что-то неправильно понял.... :-( Скорее всего... :-)
Обьясните пожалуйста.
|
[
Ответить ]
|
Re: Оскольчатый перелом пяточной кости.
Djoldas Kuldjanov, M.D. 15 Март 2006, 09:21
|
Уважаемый Леонид, Спасибо за информацию насчет производителя металлических скоб. Адрес:
654034, Кемеровская область, г.Новокузнецк, ул. Шестакова, д.14 Телефон(ы):
(3843)37-73-84, 37-73-53 Факс: 37-73-84
При телефонном разговоре контактная персона:
профессор Копысова Валентина Афанасьевна, не смогла подтвердить возможность иметь образцы из-за невозможности отправки за пределы России. Видимо, в Кемеровской области существуют другие почтовые законы нежели в Татарстане (образцы "РоторМеда" без проблем прошли таможенные преграды).
Если у вас или у наших коллег по форуму имеются образцы материала, было бы очень интересно посмотреть, а то когда удастся поехать в Новокузнецк? Спасибо.
Djoldas Kuldjanov, M.D.
|
[
Ответить ]
|
Re: Оскольчатый перелом пяточной кости.
Отправитель: imtamed 26 Октябрь 2010, 13:37
|
Здравствуйте, Коллеги.
Вы можете просмотреть видео-фильмы (в т.ч. и по пятке) на нашем сайте: http://www.imtamed.ru/shop/1547639/1548261/1548263.html
|
[
Ответить ]
|
|
Re: Оскольчатый перелом пяточной кости.
Минеев В. 15 Март 2006, 22:19
|
Уважаемые коллеги!Спасибо за участие в обсуждении данной темы.
А.П.Ким. благодарю за исчерпывающий иллюстрированный ответ!
Изначальное мнение, выполнять открытую репозицию, стало практически непоколебимым, прооперируем в ближайшие дни.
Еще раз всем спасибо!
|
[
Ответить ]
|
Re: Оскольчатый перелом пяточной кости.
Отправитель: А.П.Ким 15 Март 2006, 23:59
|
Учитывая сроки после травмы, я бы 1 этапом наложил дистакционный аппарат(будут трудности при одновременном восстановлении длины пятки, кроме того не надо забывать о возможных краевых некрозах). Удачи.
|
[
Ответить ]
|
|
( Ответить )
|