AOTRAUMA.ORG Центр Илизарова  

Ортопедия и травматология Общие вопросы/General questions Help Информационные технологии в медицине
 вверх
 отправить
 поиск
 админ
 главная


перелом переднего края
Ортопедия и травматология Отправлено Anton Kovalenko 27 Март 2006, 14:44
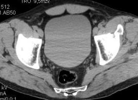
Уважаемые коллеги! Хотелось бы услышать ваше мнение. Мужчина 50л поступил с переломами костей таза. Закрытый перелом крыла подвздошной кости, переднего края вертлужной впадины справа.
Достаточно ли консервативного лечения, стоит ли беспокоиться о переднем крае? В приложении КТ.

<  |  >

 

  • Сообщения о Ортопедия и травматология
  • Также Anton Kovalenko
  • Связаться с автором
  • Ответить

    Re: перелом переднего края
    Рунков А.В. 27 Март 2006, 15:08
    По предоставленым снимкам верифицировать повреждение невозможно.
    Покажите обзорный снимок таза и проекции Judet.
    Если уж делали КТ, то наверное сохранились сами срезы.
    [ Ответить ]


    ( Ответить )

    Powered by Zope  Squishdot Powered MedLink
    Посетитель: 0183789
      "По форме правильно, а по существу - издевательство" В.И.Ленин
    ©2001-2019Orthoforum Coordinator.
    [ Главная | Отправить сообщение | Поиск | Админ ]