вверх
отправить
поиск
админ
главная
|
Деформация голени (revisited) |
 |
 |
 |
Отправлено Alexander Chelnokov 07 Апрель 2006, 02:01
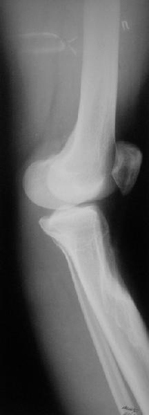
Продолжение обсуждения, начатого в октябре прошлого года (см. здесь) Наконец-то оперировали эту пациентку. Биопсию сделали - опухолевого ничего нет. Пока все участвовавшие в обследовании смежные специалисты и ортопеды сошлись, что это молокальная монооссальная фиброзная дисплазия. 20 марта наложили аппарат, сделали чрескожную остеотомию. К 3 апреля все докрутили. Сегодня заштифтовали. Начальные и итоговые снимки в приложении. Рекурвацию можно было еще немного больше устранить, и чуть кзади сместить диафиз. Но вроде и так ничего выглядит, по сравнению с тем, что было. Комментарии приветствуются.
<
|
>
|
|
Ответить
|
Re: Деформация голени (revisited)
Коваленко А.Н. 07 Апрель 2006, 02:10
|
ничего не понимаю в детской и ортопедии, но в боковой проекции нет рекурвации,
а даже немного гиперкоррекция, что по-моему есть хорошо. Кортикалы по задней стенке совпадают, диафиз на одну неправду кзади.
|
[
Ответить ]
|
Re: Деформация голени (revisited)
Банит О.В. 07 Апрель 2006, 16:56
|
Использовалась ли во время операции костная аутопластика? Если использовалась, то какой вид пластики?
|
[
Ответить ]
|
Re: Деформация голени (revisited)
Отправитель: Alexander Chelnokov 07 Апрель 2006, 17:54
|
Костной пластики не предполагалось, псчитали, что она избыточна. Остеотомия 2 недели назад проведена по курганской методике, т.е. через разрез 0,5 см. Вчера, когда штифтовали, уже зажившую рану над остеотомией не трогали.
|
[
Ответить ]
|
Re: Деформация голени (revisited)
Отправитель: Алексей Семенистый 08 Апрель 2006, 00:17
|
Александр, по моему великолепно. Поздравлять будем, когда продемонстрируете консолидацию,функцию и внешний вид.
Вопрос: почему дистально только один винт? Предполагаете ли динамизацию?
|
[
Ответить ]
|
Re: Деформация голени (revisited)
Отправитель: Alexander Chelnokov 08 Апрель 2006, 23:44
|
АС> продемонстрируете консолидацию,функцию и внешний вид.
Да, это в планах.
АС> Вопрос: почему дистально только один винт?
Второй тут можно было сделать динамический, но отломок очень уж длинный, и ротационной подвижности даже без винтов не будет.
АС> Предполагаете ли динамизацию?
Если не успеет срастись месяца за два, то этот винт и уберем.
|
[
Ответить ]
|
|
Re: Деформация голени (revisited)
vladimir starostenko Харьков 08 Апрель 2006, 22:49
|
Ув.Александр.проводилась ли резекции патологического очага, кюретаж, или только коррегирующая остеотомия,и достаточна ли на Ваш взгляд будет межотломковая компресия,учитывая короткий рычаг,проксимального фрагмента и имеющийся неконгруентный контакт отломков.Сув. Старостенко Владимир.
|
[
Ответить ]
|
Re: Деформация голени (revisited)
Отправитель: Alexander Chelnokov 08 Апрель 2006, 23:46
|
проводилась ли резекции патологического очага, кюретаж,
Нет. Инвазивность операции эти манипуляции увеличили бы, а какую пользу
в этой ситуации дали бы?
vsХ> или только коррегирующая остеотомия,
Поперечная кортикотомия через разрез 0,5 см.
vsХ> и достаточна ли на Ваш взгляд будет межотломковая
vsХ> компресия,учитывая короткий рычаг,проксимального фрагмента и
Есть клиновидный диастаз, контакт основных отломков на очень небольшой площади только в задненаружном отделе. Так что там скорее межотломковая дистракция, а не компрессия.
|
[
Ответить ]
|
|
Re: Деформация голени (revisited)
Jacob Odessky 04 Май 2006, 18:35
|

|
[
Ответить ]
|
Re: Деформация голени (revisited)
Отправитель: Alexander Chelnokov 04 Май 2006, 18:43
|
Спасибо за схемы. Не уверен, что удастся разобраться по одним картинкам. Можно попросить прокомметировать иллюстрации?
|
[
Ответить ]
|
|
( Ответить )
|
|