ВХОД ДЛЯ ПАЦИЕНТОВ
вверх
поиск
админ
главная
исходное
|
Re: Таз - 1
послал Алекей Владимирович Рунков 05 Май 2006, 10:39
|
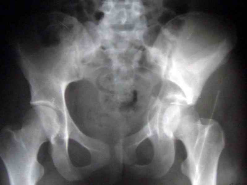
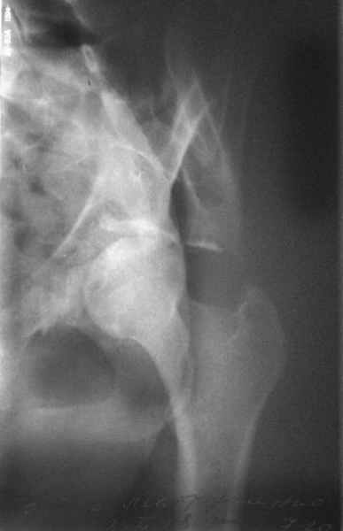
Посылаю схемы и 3D реконструкцию подобного повреждения. Называется он полным высоким двухколонным переломом вертлужной впадины, а "переломы крыла и тела подвздошной кости" входят в это понятие.

Вариантов остеосинтеза много (можно и не оперировть, т.к. конгруентность при таких переломах как правило сохраняется)
1 закрытая репозиция аппаратом + фиксация через проколы винтами
2 закрытая репозиция передней колонны + открытая задней колонны из задне-неружного доступа
3 открытая репозиция передней колонны из подвздошнго доступа + открытая задней колонны из задне-наружного доступа
4 открытая репозиция из илиоингвинального доступа
5 открытая репозиция из Y образного доступа
Я бы ориентировался на Y образный доступ
или из двух если есть сомнения в целостности задних отделов крыла.
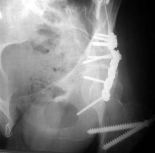
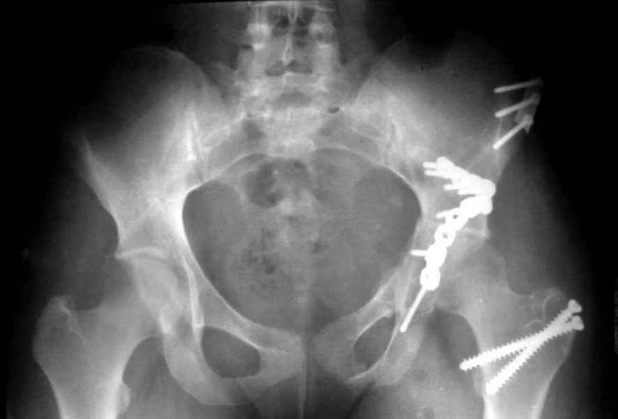
прикладываю схему доступа и случай.
Одним задне наружным переднюю колонну не достать, а илио-ингвинальный более сложный не позволяет контролировать суставную поверхность и трудно управлять задней колонной.
Желаю удачи
|
| Послать ответ |
Обратите внимание: Поля с жирными названиями обязательны.
Старайтесь отвечать в рамках обсуждаемой темы, а не начинать новые обсуждения.
Указывайте адекватную тему сообщения, чтобы было ясно, о чем оно.
Не послайте сообщений не по теме (оффтопик), раздраженных, грубых или обидных комментариев. Здесь это неуместно.
|