AOTRAUMA.ORG Центр Илизарова  

Ортопедия и травматология Общие вопросы/General questions Help Информационные технологии в медицине
 вверх
 отправить
 поиск
 админ
 главная


Для "Межрегионального Центра таза"
Ортопедия и травматология Отправлено Устюгов Александр 05 Май 2006, 11:37 МУЗ ГБ N 1 г. Асбеста
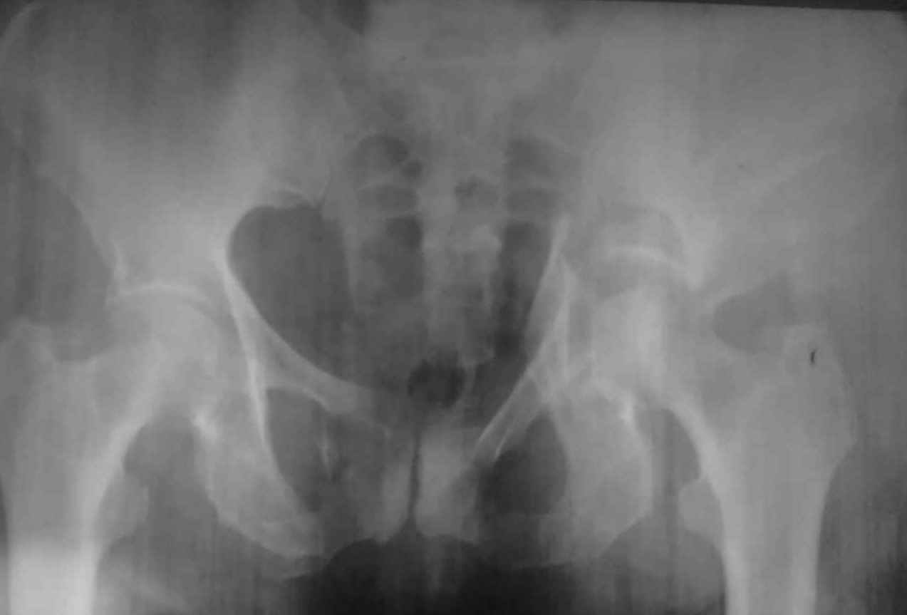
Множестевенный перелом костей таза с нарушением тазового кольца и вертлужной впадины слева с центральным вывихом бедра.

В <Межрегиональный Центр таза>. Больная 1941 года рождения поступила 30 апреля с дорожной травмы (была сбита машиной) с DS: Множестевенный перелом костей таза с нарушением тазового кольца и вертлужной впадины слева с центральным вывихом бедра. Оскольчатый перелом головки и хирургической шейки левого плеча без смещения. Была госпитализирована в ПИТ РАО, где находится по настоящее время. Проводилась противошоковая терапия, гемотрансфузия. После стабилизации состояния 01/05 наложена система скелетного вытяжения за мыщелки бедра. Предваряя Ваш вопрос о входящей проекции - она будет завтра. Могут ли родственники подъехать со снимками для консультации на предмет перевода в УНИИТО для дальнейшего лечения.

<  |  >

 

  • Сообщения о Ортопедия и травматология
  • Также Устюгов Александр
  • Связаться с автором
  • Ответить

    Re: Для "Межрегионального Центра таза"
    Alexander Chelnokov 05 Май 2006, 18:59
    Конечно, пусть приезжают, если это им несложно. Если трудности - картинки и прочую информацию можно передать тут же, а по оргвопросам перевода позвонить.

    [ Ответить ]

    Re: Для "Межрегионального Центра таза"
    Устюгов Александр 06 Май 2006, 10:39
    Снимок плеча. Входящую проекцию отправим сегодня во второй половине дня. Родственников ориентируем для консультации после праздников.
    Кликните для загрузки файла Хромцова плечо.jpg
    23KB (24347 bytes)

    [ Ответить ]


    ( Ответить )

    Powered by Zope  Squishdot Powered MedLink
    Посетитель: 0017149
      "По форме правильно, а по существу - издевательство" В.И.Ленин
    ©2001-2019Orthoforum Coordinator.
    [ Главная | Отправить сообщение | Поиск | Админ ]