вверх
отправить
поиск
админ
главная
|
Патологический очаг в верхней трети голени? |
 |
 |
 |
Отправлено Leonid N. Pollyak 09 Май 2006, 12:45
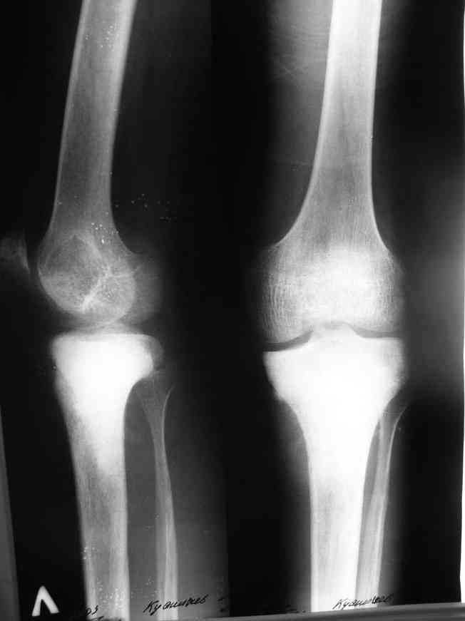
важаемые коллеги! Поступил больной 22 лет. Болен с января 2006 - появились боли в области верхнейтрети голени. При первичном осмотре в поликлинике был заподозрен первично-хронический остеомиелит - осмотрен гнойным хирургом - произведена биосия . Заключение - хондросаркома. Осмотрен онкологом - с учетом характера опухоли - химиотерапия, лучевое лечение не показано. Предложена либо ампутация, либо решение вопроса о возможности выполнения органосохраняющей операции. При обращении к нам произведена сцинтиграфия скелета - зоны гиперфиксации РФП: верхняя треть голени- 960%, нижняя треть бедра - 380%, Дистальный метафиз голени и затылочная область - 140%. В легких - метастазов нет. Произведена КТ (картинки в приложении). Учитывая абсолютную нестыковку рентгенологических и морфологических данных повторно биопсия. Выявлено, что первичная биопсия выполнялась из поверхностной параоссальной зоны - там локализованы хрящеподобные массы, далее очень плотная кость без хрящевых участков - биоптат взят фрезой с большим трудом. Морфологического заключения пока нет. Хотелось бы узнать Ваши варианты диагноза и соответственно тактику.
<
|
>
|
|
Ответить
|
Re: Патологический очаг в верхней трети голени?
Djoldas Kuldjanov, M.D. 12 Май 2006, 11:17
|
Не специалист по онко ортопедии, но по локализации (бедро, большеберцовая и плечевая кость), возрасть, в данный момент отсутствия метастаза и формация новой кости с мягкотканним вовлеченим, процесс больше напоминает остеосаркому большеберцовой кости.
Припухлость над опухолью и кожные изменения, подобно воспалительной и боли при нагрузке могут быть приняты общими ортопедами как остеомиелитический процесс.
Биопсия затрудняется из-за склероза, онко ортопеды пользуются для биопсии специальным набором режущих игл.
Диагноз можно подтвердить дополнительными исследованиями, КТ грудной клетки или Магнето Резонансовые Исследования или также можно подтвердить во время операции экспресс биопсией совместно с паталогоанатомом.
Если диагноз подтвержден до операции, рекомендуется предварительная химиотерапия, из хирургических лечении здесь много вариантов, включая ампутацию, костную аутопластику и ротационную органосохранную пластику.
Леонид какие рекомендации от онколога, может быть уже готовь результат биопсии?
|
[
Ответить ]
|
( Ответить )
|
|