AOTRAUMA.ORG Центр Илизарова  

Ортопедия и травматология Общие вопросы/General questions Help Информационные технологии в медицине
 вверх
 отправить
 поиск
 админ
 главная
 Предыдущее
 Весь тред


Re: Проксимальный и дистальный переломы tibia
T. Derek V. Cooke 21 Май 2006, 23:18
Alex:
Very interesting application, but is the final position in a little distal varus with some fibula
distraction? Would that have been eliminated by fibula plating?
Derek
  • Сообщения о Ортопедия и травматология
  • Также T. Derek V. Cooke
  • Связаться с автором
  • Ответить

    Re: Проксимальный и дистальный переломы tibia
    Alexander Chelnokov 21 Май 2006, 23:21
    TDVC> Very interesting application, but is the final position in a
    TDVC> little distal varus with some fibula distraction?

    At least both the ankle mortise and tibial alignment look acceptable, don't they?

    TDVC> Would that have been eliminated by fibula plating?

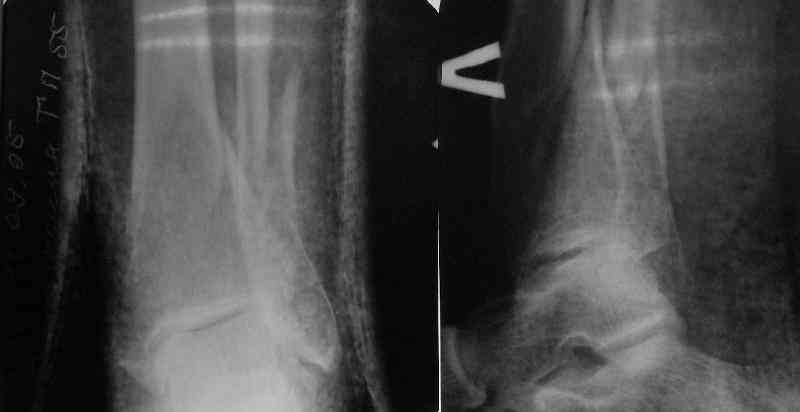
    I am just trying to illustrate that prevention of 1)tibial valgus and 2)loss of reduction can be provided without fibular plating. Small changes of conventional nailing techniques allow to maintain reduction of the tibia reliably without adjunctive fibular stabilization.
    In delayed cases acute length restoration performed only in the tibia may leave the fibula shortened thus change the mortise. So it is reasonable to restore length of both bones simultaneously by distractor and fix the fibula not with open reduction and plating but just by a single perQ screw. Example attached.



    [ Ответить ]

    • Re: Проксимальный и дистальный переломы tibia
      Отправитель: T. Derek V. Cooke 22 Май 2006, 22:10
      Understand
      Derek

      [ Ответить ]

     

    ( Ответить )

    Powered by Zope  Squishdot Powered MedLink
    Посетитель: 0201939
      "По форме правильно, а по существу - издевательство" В.И.Ленин
    ©2001-2019Orthoforum Coordinator.
    [ Главная | Отправить сообщение | Поиск | Админ ]