Ответить
|
Re: гипоплазия кости бедра.епифизиолиз.
Озерова Екатерина , Уральский НИИ травматологии и ортопедии, детское ортопедическое отделение 18 Май 2006, 15:33
|
Если есть возможность, то представьте расширенный анамнез больного, какие операции уже проводились и рентгенограммы - более ранние и в проекции по Лауэнштейну на сегодняшний день.
|
[
Ответить ]
|
Re: гипоплазия кости бедра.епифизиолиз.
А.Р.Пулатов 19 Май 2006, 20:38
|
Недостаточно информации для размышлений о тактике лечения, нужны рентгенограммы дистальной части конечности, описание функциональной состоятельности конечности. Удлинение сегмента на такую величину, при таком тазобедренном суставе даже этапно - весьма сомнительная задача. Большие укорочения являются показанием к функциональному протезированию. Думаю, что эту проблему надо решать совместно с протезистами.
Пулатов А.Р. Уральский НИИТО отд.дет. ортопедии
|
[
Ответить ]
|
Re: гипоплазия кости бедра.епифизиолиз.
Odessky Jacob M.D. 20 Май 2006, 16:19
|
Уважаемый Евгений!
Вы имеете дело с Congenital Femoral Deficiency Type 1b or type 2.
Снимки, присланные Вами недостаточны для решения вопроса о тактике лечения - она зависит от того есть или нет псевдоартроза, если есть мобильна ли головка бедра или нет.
Прежде , чем решить эти вопросы необходимо
1. Рентгенография таза с тазобедренными суставами
2. MRI , если нет возможности MRI - КТ с артрографией, во время которой обязатедьно проверить подвижность головки бедра.
Патология очень тяжёлая и требует опыта! Простого удлинения тут не достаточно!
С уважением!
|
[
Ответить ]
|
Re: гипоплазия кости бедра.епифизиолиз.
Odessky Jacob M.D. 20 Май 2006, 16:20
|
Посылаю Классификацию Палея
scan.jpg
291KB (298240 bytes)
|
[
Ответить ]
|
Re: гипоплазия кости бедра.епифизиолиз.
Отправитель: евгений 21 Май 2006, 15:46
|
спасибо.
|
[
Ответить ]
|
|
Re: гипоплазия кости бедра.епифизиолиз.
Евгений 21 Май 2006, 15:14
|
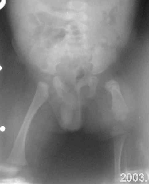
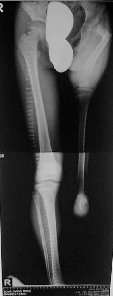
Извините за задержку(по техническим обстоятельствам) еще просим извинения за ошибки (трудный перевод). Больной с врожденной гипоплазией проксимальной части бедра, с ацетабулярной дисплазией. В 6 лет первая операция по стабилизации тазобедренного сустава прилагаю Рг. К нам обратился в следующей ситуацией:укорочение на 26см нижней конечности, соха flecta - 45 °.подвижной до 100°, genu flexum 25-30° мобильный до 90°. Активность мышц бедра- очень слабое, мышцы голени и сама голень отстающей в развитии. В настоящее время пациент ходит самостоятельно с протезом. Спасибо всем еще раз за присланные варианты лечения.Rx при рождении:ниже

Rx на сегодняшнии день

|
[
Ответить ]
|
( Ответить )
|