AOTRAUMA.ORG Центр Илизарова  

Ортопедия и травматология Общие вопросы/General questions Help Информационные технологии в медицине
 вверх
 отправить
 поиск
 админ
 главная


Деформация таза
Ортопедия и травматология Отправлено Maxim Agalakov 19 Май 2006, 17:43
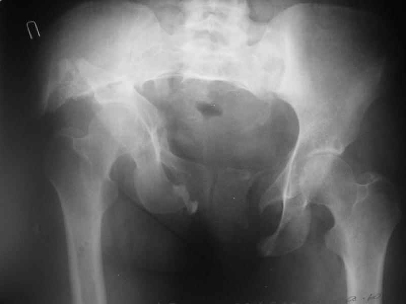
Уважаемые коллеги, вашему вниманю предлагается результат лечения деформации таза, обсуждавшейся уже на ортофоруме около года назад.
Снимки до лечения:
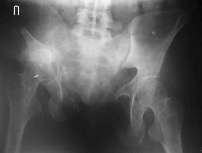
Картина на сегодня:
В настоящее время больная ходит без дополнительной опоры, боль в области таза не беспокоит, неудобств при сидении не испытывает, свободно проходит расстояние в 2-3км. Отмечается незначительная хромота, периодические боли в поясничной области низкой интенсивности, не требующие приема медикаментов, кроме того имеется вагинальный импинджемент. Срок после операции 1 год и 2 месяца.Было бы интересно услышать ваши комментарии. С уважением Агалаков М.В.

<  |  >

 

  • Сообщения о Ортопедия и травматология
  • Также Maxim Agalakov
  • Связаться с автором
  • Ответить

    Powered by Zope  Squishdot Powered MedLink
    Посетитель: 0171486
      "По форме правильно, а по существу - издевательство" В.И.Ленин
    ©2001-2019Orthoforum Coordinator.
    [ Главная | Отправить сообщение | Поиск | Админ ]