ВХОД ДЛЯ ПАЦИЕНТОВ
вверх
поиск
админ
главная
исходное
|
Re: Тяжелый перелом пяточных костей
послал Дрягин Виталий 24 Май 2006, 13:39
|

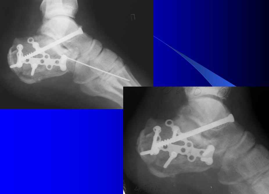
Справа ситуация сложнее так как имеется помимо перелома имеется вывих тела пяточной костиПоэтому даже если удастся достигнуть хорошей репозиции необходимо сделать первичный подтаранный артродез.Иначе кость не будет держать в своём ложе.Но пластина нужна обязательно чтобы восстановить форму пятки.С уважением Дрягин
|
| Послать ответ |
Обратите внимание: Поля с жирными названиями обязательны.
Старайтесь отвечать в рамках обсуждаемой темы, а не начинать новые обсуждения.
Указывайте адекватную тему сообщения, чтобы было ясно, о чем оно.
Не послайте сообщений не по теме (оффтопик), раздраженных, грубых или обидных комментариев. Здесь это неуместно.
|