ВХОД ДЛЯ ПАЦИЕНТОВ
вверх
поиск
админ
главная
исходное
|
Re: Последствия открытого переломо - вывиха таранн
послал Nikolay Koryshkov 23 Июнь 2006, 16:37
|
Здравствуйте, уважаемые коллеги!
Ваша дискуссия заставила перелистать свои наблюдения.
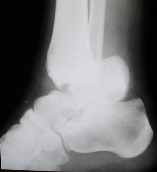
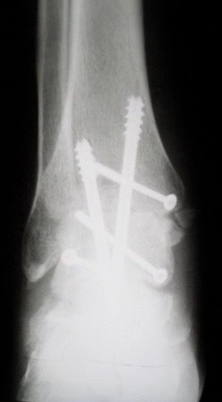
Среди повреждений таранной кости (Hawkins III-IV) с одновременной травмой лодыжек встретилось следующее (см. вложение). Пациент упал в колодец на глубину 10 метров (Х.2002 г.), госпитализирован с диагнозом: з/перелом шейки правой таранной кости (Hawkins IV) с переломовывихом тела назад и кнутри, закрытый перелом внутренней лодыжки и переднего края большеберцовой кости. Оперирован в первые 12 часов после травмы, выполнена открытая репозиция таранной кости, внутренним и передне-внутренними доступами, остеосинтез переломов шейки и тела губчатыми винтами, для реваскуляризации тела таранной кости первичный компрессионный над- и подтаранный артродез. Синтез внутренней лодыжки губчатым винтом. Удаление винтов через 1 год,2 мес. Получен анкилоз указанных суставов с сохранением длины конечности, полная реваскуляризация таранной кости, о чем говорит сращение ее переломов, отсутствие отеков и
цианоза стопы и голени. Компенсаторная подвижность переднего и среднего отделов стопы около 15-20 градусов за счет поперечного (Шопара) сустава стопы. Считаю оправданной подобную тактику, не смотря на угрожаемый прогноз (100% асептический некроз) по классифицкации Hawkins.

С уважением,
Nikolay Koryshkov
|
| Послать ответ |
Обратите внимание: Поля с жирными названиями обязательны.
Старайтесь отвечать в рамках обсуждаемой темы, а не начинать новые обсуждения.
Указывайте адекватную тему сообщения, чтобы было ясно, о чем оно.
Не послайте сообщений не по теме (оффтопик), раздраженных, грубых или обидных комментариев. Здесь это неуместно.
|