AOTRAUMA.ORG Центр Илизарова  

Ортопедия и травматология Общие вопросы/General questions Help Информационные технологии в медицине
 ВХОД ДЛЯ ПАЦИЕНТОВ
 вверх
 поиск
 админ
 главная


Последствия открытого переломо - вывиха таранной кости
Ортопедия и травматология Прислано Павел Иванов 12 Июнь 2006, 16:05
из
Глубокоуважаемые коллеги!
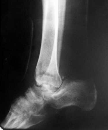
Просим совета в лечении пациента с последствиями тяжелой сочетанной травмы. Пациент С., 41 года, по профессии бизнесмен, в сентябре 2005 г. пострадал в дорожно-транспортном происшествии (упал с мотоцикла). Диагноз: ЗЧМТ, ушиб головного мозга тяжелой степени. Открытый переломо-вывих левой таранной кости. Закрытые переломы лонной и седалищной костей слева.
Был доставлен в НИИСП им. Н.В. Склифосовского. При ПХО раны выявлен открытый перелом левой таранной кости (III тип по Hawkins) с утратой вывихнутого тела таранной кости. Выполнена ПХО, фиксация голени и стопы стержневым аппаратом. Рана зажила без осложнений. Аппарат демонтирован через 1,5 месяца. В настоящее время больной предъявляет жалобы на боль в голеностопном суставе при нагрузке. Передвигается с опорой на костыли с дозированной нагрузкой на левую стопу. Голень и стопа фиксированы циркулярной пластиковой повязкой. Сохраняются остаточные явления ЧМТ (в виде сниженной критики к своему состоянию и определенной недисциплинированности в выполнении врачебных рекомендаций) Рентгенограммы – рис. 1, 2 (просим извинения за низкое качество рентгенограмм), схема – рис. 3.
В качестве варианта хирургического лечения мы считаем возможным выполнить следующее вмешательство: артродез большеберцовой и пяточной костей в сочетании с артродезом переднего края большеберцовой кости и головки таранной кости с фиксацией спонгиозными винтами. Считаем выполнение артродеза переднего края большеберцовой кости и элементов I луча стопы необходимым для максимального восстановления опороспособности конечности. Однако выполнение операции в указанном объеме привело бы к относительному укорочению внутреннего свода стопы. Мы видим два пути решения данной проблемы:
Вариант 1. Применение костного трансплантата (свободного или на сосудистой ножке) для замещения дефекта головки таранной кости и сохранения геометрии внутреннего свода стопы (рис 4). Преимущество: относительная простота операции. Недостаток: высокий риск замедленной консолидации или лизиса трансплантата.
Вариант 2. Резекция участка пяточной кости с последующим остеосинтезом винтами для укорочения наружного свода стопы (рис 5, 6). Преимущества: сохранение собственного кровоснабжения всех синтезируемых участков костей. Недостатки: дополнительная травматизация, усугубление деформации стопы в виде нарушения наружного свода.
Будем признательны за ваши предложения, включая возможные альтернативные варианты лечения. Заранее благодарны за добрые советы и поддержку.
А. Федосов, О. Диденко, П. Иванов.
Отделение множественной и сочетанной травмы НИИСП им. Н.В. Склифосовского, г. Москва.

Послать ответ

Имя
Email
Уведомление Сообщить мне по e-mail об ответах на это сообщение
Название
Комментарий
(Проверьте URL! Не забудьте написать http://!)
Кодировка
Если не знаете, что выбрать, выберите "Просто текст"!
Приложение
Можно приложить к сообщению файл c изображением, который затем будет доступен увидевшим сообщение.
Подготовка иллюстраций:
  • Рентгенограммы: черно-белые полутоновые изображения в формате JPEG (8 bit, greyscale) с разрешением от 300х200 до 1024х768 пикселов;
  • Клинические фотографии: полноцветные изображения в формате JPEG (24 bit, truecolor) с разрешением от 300х200 до 1024х768 пикселов;
  • Схемы и рисунки: черно-белые (2 bit) штриховые (line-art) изображения в формате GIF или compressed TIFF
  • Подберите степень сжатия файла JPEG и размер изображения таким образом, чтобы необходимые детали были различимы, но размер файла не превышал 75 кб.
  • Учтите, что текущая версия программного обеспечения Форума позволяет приложить к одному сообщению лишь один файл-вложение. Поэтому, если необходимо отправить несколько изображений, можно либо послать каждое как отдельное сообщение, либо в графическом редакторе объединить изображения в одно (сделать коллаж).
  • Если при подготовке изображений встречаются трудности, не стесняйтесь обратиться к координатору Форума.

  • Введите видимые символы в обратном порядке. Enter the above characters in reverse order (*Обязательно)
    В тексте сообщения можно использовать теги HTML <B> <I> <P> <A> <LI> <OL> <UL> <EM> <BR> <TT> <HR> <STRONG> <BLOCKQUOTE> <DIV .*> <DIV> <P .*>
  • Обратите внимание: Поля с жирными названиями обязательны.
  • Старайтесь отвечать в рамках обсуждаемой темы, а не начинать новые обсуждения.
  • Указывайте адекватную тему сообщения, чтобы было ясно, о чем оно.
  • Не послайте сообщений не по теме (оффтопик), раздраженных, грубых или обидных комментариев. Здесь это неуместно.
  • Powered by Zope  Squishdot Powered MedLink
    Посетитель: 0311686
      "По форме правильно, а по существу - издевательство" В.И.Ленин
    ©2001-2019Orthoforum Coordinator.
    [ Главная | Отправить сообщение | Поиск | Админ ]