ВХОД ДЛЯ ПАЦИЕНТОВ
вверх
поиск
админ
главная
исходное
|
Re: Рефрактура бедра
послал Alexander Chelnokov 14 Июнь 2006, 01:11
|
Возможно, проф. Лазарев предложит другой вариант, а в наших условиях мы бы закрыто заштифтовали бы бедро антеградно. Устранили бы варус, используя голень как рычаг, вероятнее всего, даже дистрактор не понадобился бы. В приницпе, можно и ретроградно ири наличии движений в колене, но варус будет труднее устранить - можно и предварительно аппаратом в таком случае.
Стержень можно использовать и обычный потолще, но лучше бы с возможностью введения большего, чем два фронтальных, числа запирающих винтов.
Учитывая наличие этой мощной спайки, запереть можно сразу динамически.
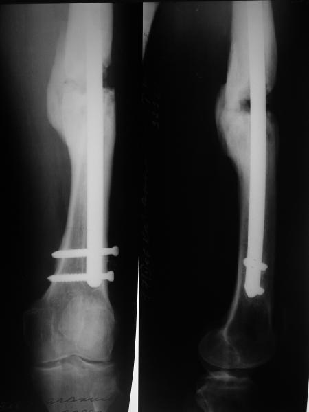
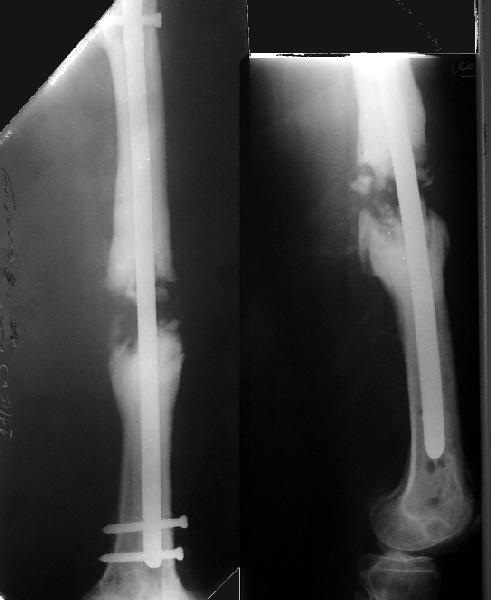
Рефрактур уж точно можно будет не опасаться, а за несколько месяцев даже при отсутствии заполнения костью по всей окружности, этот обходной "мостик" упрочнится и возьмет на себя нагрузку. В приложении пример такого рода "эндопротезирования диафиза", прошло больше 3 лет.

Пациентка, страдающая еще и инсулинозависимым диабетом, не хромает, работает инженером.
|
| Послать ответ |
Обратите внимание: Поля с жирными названиями обязательны.
Старайтесь отвечать в рамках обсуждаемой темы, а не начинать новые обсуждения.
Указывайте адекватную тему сообщения, чтобы было ясно, о чем оно.
Не послайте сообщений не по теме (оффтопик), раздраженных, грубых или обидных комментариев. Здесь это неуместно.
|