ВХОД ДЛЯ ПАЦИЕНТОВ
вверх
поиск
админ
главная
|
Артродез или эндопротезирование |
 |
 |
 |
Прислано Юрий Алексеевич Булахтин 03 Июль 2006, 17:18
из Камчатский Военно-морской госпиталь
Уважаемые коллеги!
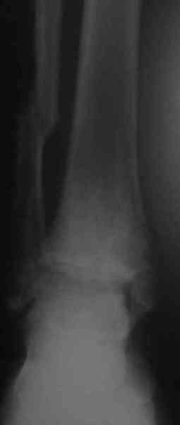
Хотел-бы продолжить разговор об исходах переломо-вывихов в голеностопном суставе. При этом, в данном конкретном случае, хотелось узнать мнение опытных коллег об эндопротезировании.
На консультацию обратилась пациентка, 26лет. В 2002 году открытый переломо-вывих. Лечение: вправление, трансфиксация спицами и гипсовая повязка. Около 4-х месяцев сохранялись явления нагноения вокруг спиц. На сегодня - движения в суставе отсутствуют, постоянные боли, функциональное укорочение конечности = 3 см.
На недавней конференции по хирургии стопы и голеностопного сустава демонстрировался эндопротез НИИТО им. Вредена, внешне понравился.
Юрий Алексеевич Булахтин
Обратите внимание: Поля с жирными названиями обязательны.
Старайтесь отвечать в рамках обсуждаемой темы, а не начинать новые обсуждения.
Указывайте адекватную тему сообщения, чтобы было ясно, о чем оно.
Не послайте сообщений не по теме (оффтопик), раздраженных, грубых или обидных комментариев. Здесь это неуместно.
|