Ответить
|
Re: Кататравма
Alexander Rykov 05 Июль 2006, 22:59
|
Перелом позвоночника неосложненный! А чего-й то функция тазовых органов нарушена? На взгляд - он нестабильный. По правильному следовало бы оперировать и спинку и пятки. А если не оперировать - то крутите тихонечко (можете наложить корсет по Белеру) или другой реклинирующий корсет. Хуже не
будет. С ув. А Рыков. Хабаровск.
|
[
Ответить ]
|
Re: Кататравма
Отправитель: Никита Заднепровский 05 Июль 2006, 23:02
|
РАГ> Перелом позвоночника неосложненный! А чего-й то функция тазовых органов
РАГ> нарушена? На взгляд - он нестабильный. По
Полагаю, что эта дисфункция мочевого пузыря связана с близостью перелома. Давление гематомы предпузырной клетчатки на орган может нести преходящий характер. Снимок таза выложу завтра. Компрессионные пробы Ларрея и Вернейля слабоположительные. Дело осложняется малопродуктивным контактом с пациентом, прямо как в театральном кружке, пантомима идет на "ура". В английском пациент тоже не "нихт шпрехен". Вызовут переводчика, есть мыслишка карточки написать на китайском и на русском, как для Маугли :-)
|
[
Ответить ]
|
|
Re: Кататравма
Алексей Семенистый 05 Июль 2006, 23:00
|
> Перелом левой седалищной кости без смещения с нарушением
> функции тазовых органов.
Нарушение функции тазовых органов связано с переломом седалищной кости без смещения??? ...или это опечатка, и функция тазовых органов относится к спинальному повреждению? Тогда, почему нестабильный перелом L3 - неосложненный?
> Реклинация будет проводиться дозированно по конрольным
> снимкам. Моча выводится катетером. Гематурии нет.
> Планирую остеосинтез пяточных костей. Если диаспора достанет
> SFS Plates, то открыто. Если нет - аппаратная дистракция.
Бог с ними с пятками, подумайте как быть со спиной. Пятки открыто хорошо до 7-10 дней, а ворочать в эти сроки нестабильный нефиксированный , все-таки осложненный перелом позвоночника позвоночника стремно, так могут и ноги перестать двигаться. И зачем ему тогда красивые пятки? Если консервативно "пролечите" позвоночник несколько недель и после этого соперируете пятки, то результата от остеосинтеза(закрытого или открытого не ждите.
В идеале надо оперировать и спину и пятки, и как можно раньше. Если это невозможно - выбираяте меньшее зло. Возможно зто будет консервативное "лечение" позвоночника и аппаратное - пяток.
Удачи
|
[
Ответить ]
|
Re: Кататравма
Отправитель: Никита Заднепровский 05 Июль 2006, 23:03
|
АС> В идеале надо оперировать и спину и пятки, и как
АС> можно раньше.
К сожалению, операции на позвоночнике нам не по зубам.
Больничка не того уровня. Предпологается, наверно, или передний межтеловой спондилодез L2-L4, либо транспедикулярная фиксация и т.д. и т.п. На операции такого уровня вызываем по сан.авиации нейрохирурга из Краевого Центра (они производят ляминэктомию, ревизию с фиксацией остистых отростков гребенками Роднянского). Больной без родины, без флага, без полиса и прописки. Не имеет родственников в России. Эти моменты сразу оговариваются при телеф.консультации и, скорее всего, будут устные рекомендации по консервативному лечению. Консультация будет завтра, результат практически предсказуем.
АС> зло. Возможно зто будет консервативное "лечение"
АС> позвоночника и аппаратное - пяток.
Если взять во внимание Ваш совет, то, как же все-таки сподобить пациента на операцию (теперь уже на наложение аппарата) не нарушая реклинирующий эффект? Предлагался способ: наложение реклинирующего корсета по Белеру. Может быть заковать в корсет, а затем в операционную?
С уважением, Заднепровский Никита Николаевич
|
[
Ответить ]
|
Re: Кататравма
Отправитель: Алексей Семенистый 05 Июль 2006, 23:06
|
> Больной без родины, без флага, без полиса и прописки. Не
> имеет родственников в России. Эти моменты сразу оговариваются
> при телеф.консультации и, скорее всего, будут устные рекомендации
> по консервативному лечению. Консультация будет завтра,
> результат практически предсказуем.
Вроде было сказано что-то про диаспору?
> АС> зло. Возможно зто будет консервативное "лечение"
> АС> позвоночника и аппаратное - пяток.
>
> Если взять во внимание Ваш совет, то, как же все-таки
> сподобить пациента на операцию (теперь уже на наложение
> аппарата) не нарушая реклинирующий эффект? Предлагался
> способ: наложение реклинирующего корсета по Белеру. Может
> быть заковать в корсет, а затем в операционную?
А почему бы и не так, тем более что аппараты будете накладывать в положение больного на спине.
А.Семенистый.
|
[
Ответить ]
|
|
Re: Кататравма
дмитрий бондарь 06 Июль 2006, 00:31
|
доброго времени суток,коллега!Не могли бы Вы уточнить,какие именно нарушения ф-ии тазовых органов у Вашего китайца?Что говорят неврологи и нейрохирурги?Что касается переломов пяток ,имею положительный опыт наложения АВФ прямо в палате (позвоночник+бедро)и вот на это самое бедро,которое не удавалось никак поставить на скелетке,ставил аппарат.Результат хороший.Прошу понять меня правильно,я не агитирую за наложение аппарата на поле боя,а только делюсь личным опытом
Удачи.С уважением Д.Б.
P.S.К сожалению пока нет цифровика,чтобы представить снимки.
|
[
Ответить ]
|
Re: Кататравма
Отправитель: Никита Заднепровский 06 Июль 2006, 23:33
|
дб> Не могли бы Вы уточнить,какие именно
дб> нарушения ф-ии тазовых органов у Вашего китайца?
Не может самостоятельно помочиться, что требует выведения мочи катетером. Атонии сфинктеров нет. Больной реагирует на введение катетера, что указывает на сохранение болевой чувствительности. Все-таки я склоняюсь к тому, что это - функциональная задержка мочи, а не нейрогенная.
дб> Что говорят неврологи и нейрохирурги?
Сегодня подтвердились мои опасения по-поводу консультации кр.нейрохирурга: по телеф. рекомендовали продолжить консервативное лечение. Возможно прилетят на неделе, но - не факт. Местный невропатолог уделит внимание пациенту только завтра (тоже можно понять - девушка наша по-горло в своих "инсультах", одна на весь стационар, но меня это мало успокаивает). Могу сказать, что сух.рефлексы сохранены и симметричны.
Патолические рефлесы не вызываются. Сила в конечностях сохранена. Трудно дать более точную оценку из-за языкового барьера. Соседи по палате говорят, что Юрка (так мы нарекли китайца) поднимает ноги чтобы почесать голень рукой.
дб> Что касается переломов пяток ,
дб> имею положительный опыт наложения АВФ прямо в палате
Видимо придется сделать так. Методику в студию! (Как договорились с анестезиологами?)
дб> Результат хороший.Прошу понять меня
дб> правильно,я не агитирую за
дб> наложение аппарата на поле боя,а только делюсь личным опытом
Все в нашей жизни, наверное, может пригодиться, и чужой опыт тоже.
дб> P.S.К сожалению пока нет цифровика,чтобы представить снимки.
Было бы весьма кстати. Жаль.
С уважением, Заднепровский Никита Николаевич
|
[
Ответить ]
|
|
Re: Кататравма
Савранский Александр 06 Июль 2006, 02:02
|
Уважаемый Никита Николаевич!
На мой взгляд,на представленных фото Ваш пациент
несколько неправильно уложен- положение по Волков
ичу - лежа на спине с разведенными ногами,согнутыми в коленных суставах.Гамак мы обычно используем при переломах таза с нарушением тазового кольца при необходимости боковой компрессии, а также для повышения внутритазового давления при кровотечениях( хотя лучше щипцы Ганца или аппарат).В создавшейся ситуации возможно есть смысл гамак заменить на реклинирующий валик,пятки кинуть на вытяжение по Каплану.
P.S. хотелось бы увидеть снимок таза
|
[
Ответить ]
|
Re: Кататравма
Отправитель: Никита Заднепровский 06 Июль 2006, 23:31
|
СА> заменить на реклинирующий валик,пятки кинуть на вытяжение
СА> по Каплану.
Не помню кто сказал, но суть такова, что сейчас трудно встретить "классику", везде лишь его вариации. По-моему, гамак - удачное решение, так как поясничный отдел находится в условиях постоянного угла реклинации, нет давления на крестцовую область, очень удобно для выполнения гигиенических процедур. Больного не надо приподнимать, чтобы приспособить утку, без особых проблем можно поменять постель. Угол реклинации плавно меняется путем ослабления или натяжения веревок на которых держится сам гамак, а в Вашем варианте, больного нужно приподнимать всякий раз при выполнении всех перечисленных выше манипуляций, при этом мы постоянно будем "тревожить" место перелома. К тому же, пациент чувствует себя комфортно. После того как подвесил
его на гамак, он сразу же уснул, на боли не жаловался.
Пальцами показывает "ОК".
Если я не вижу очевидных плюсов Вашего варианта, пожалуйста, укажите мне на них.
СА> P.S. хотелось бы увидеть снимок таза
Сегодня забегался и забыл про снимок, sorry. Завтра выложу.
|
[
Ответить ]
|
Re: Кататравма
Отправитель: Савранский Александр 07 Июль 2006, 01:29
|
В данном конкретном случае,при имеющихся исходных,не вижу никаких преимуществ в постепенной реклинации.
Что Вы решили с пятками?
Когда планируете активировать пациента?
|
[
Ответить ]
|
Re: Кататравма
Отправитель: Никита Заднепровский 07 Июль 2006, 22:04
|
СА> Что Вы решили с пятками?
Сверху пришел приказ: никаких оперативных действий! Диаспора заплатила больничке только за 12 дней пребывания. Даны указания иммобилизовать пациента для транспортировки и депортации на родину. Без комментариев ... :-( Хотя истинного положения вещей нам не раскажут, это ведомо только "недрам управляющего бункера". Всем известно, что у них совсем другое видение лечения пациентов, все сводится к дебиту-кредиту, и это тоже, наверное, правильно при нынешних "рыночных" отношениях.
СА> Когда планируете активировать пациента?
Сегодня пациент мочится самостоятельно. Консультирован неврологом. Неврологического дефицита не найдено. Сила в конечностях сохранена, снижена слева в нижней конечности из-за болей в паховой области. В свете последних решений "партии и правительства", будем накладывать реклинирующий корсет и готовить к "отплытию". Грустно, так как этот, совсем не соотечественник, стал мне глубоко симпатичен: очень мужественный молодой человек.
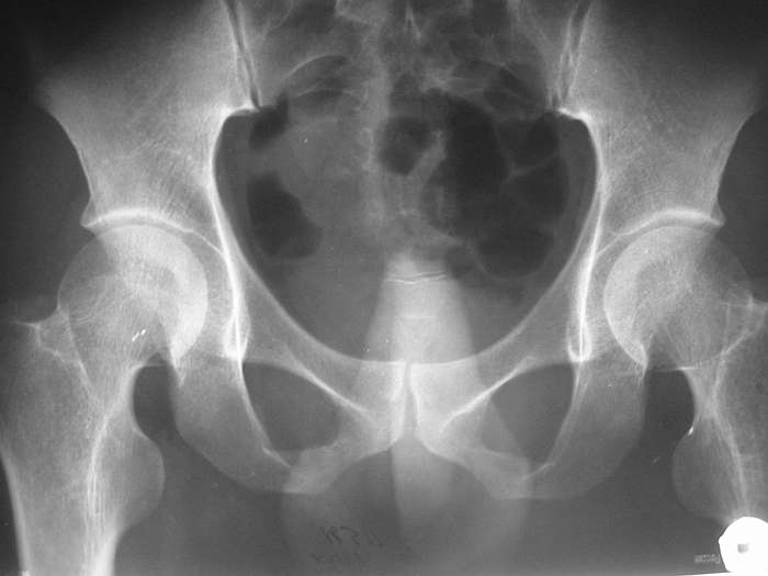
ЗЫ: В приложении снимок таза.

Заднепровский Никита Николаевич
|
[
Ответить ]
|
|
Re: Кататравма
дмитрий бондарь 07 Июль 2006, 01:18
|
Мне с анестезиологом проще,родной кум,к тому же владеющий хорошо проводниковой анестезией.Под регионарной анестезией(СМА,эпидуральная,проводниковая,продленная эпидуральная)делаем все. В\в редко,интубация-практически никогда.На все уходит 4-6 ампул бупивокаина+5-6 лидокаина.Дешево и сердито.Реальные затраты больного-около 5-7 у.е.
(лекарства)Плюс к этому отсутствие боли до 12часов с момента начала анестезии.Наркотиками пользуюсь мало-мало,больше кетанов или диклоберл,а иногда и банальный ПАНАДОЛ.Хотя вроде слышал,что диклоберл ухудшает образование первичного сращения,но статей по данному поводу не читал,и ничего подобного не видел.
Методика проводниковой анестезии,правда у детей-приложение.
А пятки АВФ-обсуждали вроде недавно.
Невролога взять за ручку,погладить, привести,и носиком,носиком ;-))),а то не притянешь(по себе знаю)
Удачи!
С уважением Д.Б.
Практическая региональная анестезиология у детей.mht
162KB (166654 bytes)
|
[
Ответить ]
|
Re: Кататравма
Отправитель: Никита Заднепровский 07 Июль 2006, 21:58
|
Удачный тандем!! Если он владеет всем этим - он просто мастер-кудесник. Я сам владею перидуральной, спинно-мозговой анестезией, пользовался и по Куленкампфу и Соколовскому. Но,
интересный момент происходит. Все это считается прерогативой анестезиологов, и если я провожу, например, эпидуральную продленную анестезию, то они косятся на меня и недовольно бурчат.
В конце-концов, было неофициально запрещено проводить блокады. Мотив: каждый должен заниматься своим делом. Я, в принципе, согласен. Но сами-то анестезиологи не хотят этого делать и предпочитают тот же в/в наркоз или интубацию, что технически легче и быстрее по времени. Как результат - практически не осталось анестезиологов владеющих
проводниковой анестезией. Чтобы обезболить голень для наложения АВФ, нужно, по крайней мере, заблокировать седалищный и бедренный нервы, что технически без опыта, сделать нереально. Такая вот грустная история :-))
ЗЫ: За приложение - отдельное спасибо.
С уважением, Заднепровский Никита Николаевич
|
[
Ответить ]
|
Re: Кататравма
Отправитель: Андрианов Антон 08 Июль 2006, 11:47
|
При отсутствии современных фиксаторов для заднего спондилоджеза в условиях района могу рекомендовать заднюю фиксацию за остистые отростки петлей из проволоки с укреплением поверх протакрилом , можно и костным цементом\что лучше\. Главное затянуть два отростка выше и двв ниже компр позвонка, почти петля ВЕБЕР, в условиях высушенной раны акрил\не нуждается в стерилизации\ хорошо держится. Мои малоимущие клиенты ходят с такими дезами по 25 лет без проблем. А без стабилизации проблемы бывают уже после 8-12 мес, синдромы спинальной нестабильности, миело-радикулопатии. Успехов!
|
[
Ответить ]
|
Re: Кататравма
Отправитель: дмитрий бондарь 09 Июль 2006, 18:13
|
А можно поподробнее??
1.Показания?
2.куда протакрил или цемент?
3.что значит"в условиях высушенной раны акрил\не нуждается в стерилизации"?(просто не понял фразу,sorry!)
4.Если можно,снимки
5.Ну и уж "гулять,так гулять" :))))методику,включая доступ и прочие нюансы,уж больно много таких"малоимущих клиентов"
С уважением Д.Б.
P.S.если можно,коллеги,у кого есть материалы на эту тему?желательно на русском.Зараннее благодарен.
|
[
Ответить ]
|
|
( Ответить )
|
|