AOTRAUMA.ORG Центр Илизарова  

Ортопедия и травматология Общие вопросы/General questions Help Информационные технологии в медицине
 вверх
 отправить
 поиск
 админ
 главная


Застарелый перелом таза
Ортопедия и травматология Отправлено Юрий Алексеевич Булахтин 27 Июль 2006, 15:58 Камчатский Военно-морской госпиталь
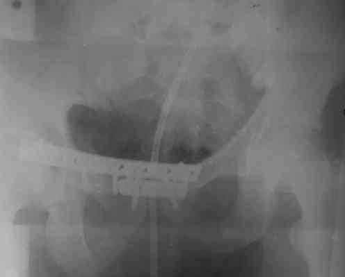
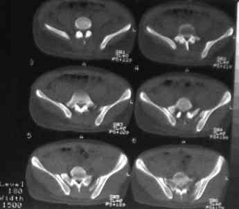
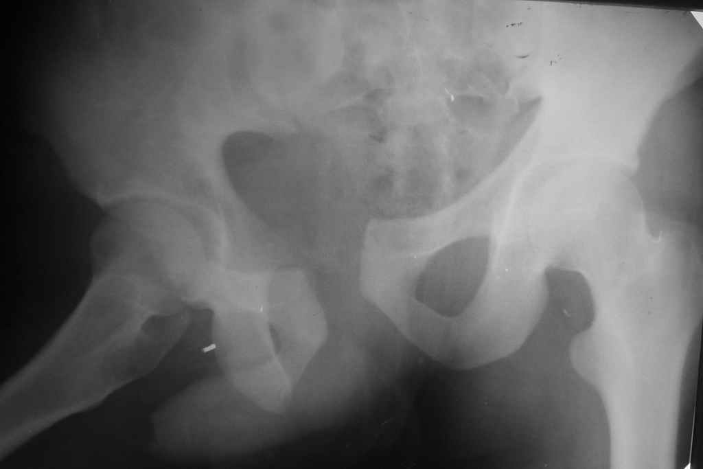
Уважаемые коллеги! На днях оперировал перелом таза месячной давности - разрыв симфиза, перелом обеих ветвей правой лонной кости, трансфораминальный перелом крестца слева. Представляю рентгенограммы с задержкой - технические причины.
Предоперационные рентген и КТ, в операционной - снимки после каждого фиксатора. Вертикальное смещение полностью устранить не удалось. В первую очередь за счет заднего полукольца. Хотя при компрессии на стержнях горизонтальное смещение было сантиметра 1,5. Т.е. крестец, на мой взгляд еще не сросся. От коллег хотел-бы услышать допустима-ли такая остаточная деформация?

<  |  >

 

  • Сообщения о Ортопедия и травматология
  • Также Юрий Алексеевич Булахтин
  • Связаться с автором
  • Ответить

    Re: Застарелый перелом таза
    Maxim Agalakov 28 Июль 2006, 13:13
    Уважаемый Юрий Алеексеевич. Кроме величины смещения звдних отделов будет иметь значение стабильность деформации. Такие смещенные трансфораминальные переломы часто дают псевдоартрозы, что приводит к нестабильности задних отделов и стойкому болевому синдрому. Кроме того имеют значение неврологические нарушения (есть ли они у этого пациента?), репозиция задних отделов часто приводит к регрессу неврологической симптоматики.
    C уважением, Максим Агалаков.
    [ Ответить ]

    • Re: Застарелый перелом таза
      Отправитель: Юрий Алексеевич Булахтин 29 Июль 2006, 02:40
      Уважаемый Максим!

      Спасибо за обсуждение и ссылку. Во время операции, как я уже говорил, удалось дать приличную встречно-боковую компрессию. Неврологии у пациента не было и нет. Это и побудило сильно не усердствовать с репозицией трансфораминального перелома. На фоне фиксации спереди двумя пластинами, надеюсь, крестец срастется. Как будет возможность представлю контрольные КТ.

      Ю.А. Булахтин



      [ Ответить ]
      • Re: Застарелый перелом таза
        Отправитель: Maxim Agalakov 30 Июль 2006, 11:38
        Будем надеяться.На пластинки сильно расчитывать не стоит, передняя фиксация, насколько бы она жесткой не была, не может обеспечить стабилизации задних отделов в случае вертикально-нестабильных повреждений. А вот обратное очень вероятно, сколько бы пластинок не было спереди.
        С уважением Максим Агалаков.


        [ Ответить ]
    Re: Застарелый перелом таза
    Сергей В Савченко 04 Август 2006, 01:42
    Уважаемый Юрий Алексеевич!
    По бедности боевых условий, два года назад из данной ситуации вышли наложением трапециевидной рамки из аппаратов МКЦ-01 на 4-х стержнях в передние и задние верхние ости. В принципе аппарат накладывался для эвакуации на этап специализированной помощи. Но в результате остался как лечебный. Постораюсь выложить снимки. Недавно пациент был на контроле. Результат удовлетворительный.
    С уважением СВ и привет от Шанюка АВ
    [ Ответить ]


    ( Ответить )

    Powered by Zope  Squishdot Powered MedLink
    Посетитель: 0105096
      "По форме правильно, а по существу - издевательство" В.И.Ленин
    ©2001-2019Orthoforum Coordinator.
    [ Главная | Отправить сообщение | Поиск | Админ ]