AOTRAUMA.ORG Центр Илизарова  

Ортопедия и травматология Общие вопросы/General questions Help Информационные технологии в медицине
 ВХОД ДЛЯ ПАЦИЕНТОВ
 вверх
 поиск
 админ
 главная


В защиту коллапана
Ортопедия и травматология Прислано Антон Андрианов 02 Август 2006, 12:01
из
Дабы не уводить в офтопик вопрос о несросшемся переломе бедра, хочу добрым словом упомянуть коллапан -
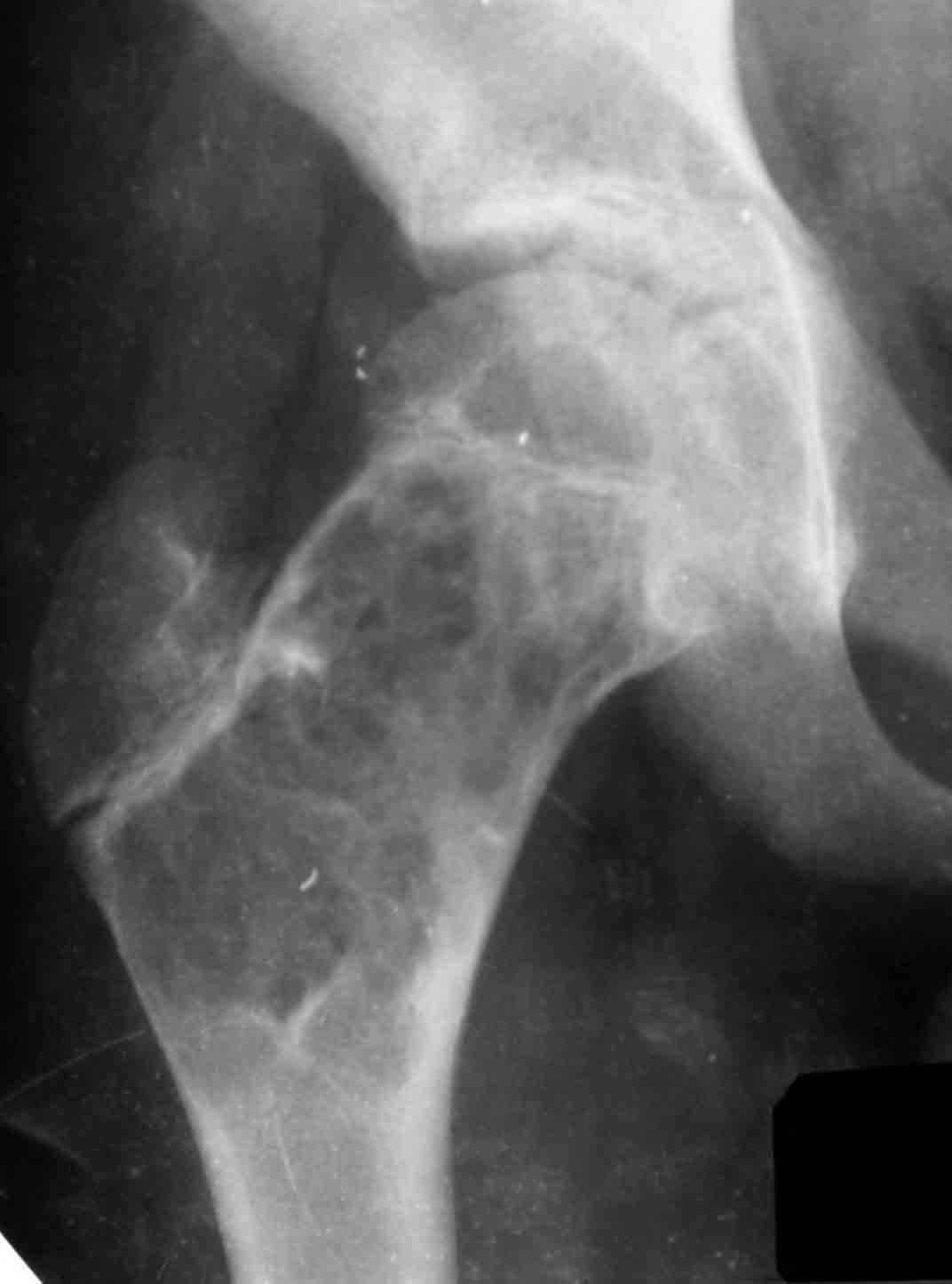
доступный и эффективный российский продукт, который судя по публикациям на форуме не нашел еще должного распространения в повседневной практике. Чтобы не быть обвиненным в рекламе или личной заинтересованности скажу, что работаю я в Казахстане, где большинство последних российских разработок не прошло регистрацию( отдельный вопрос почему?) и коллапан завозят родственники пациентов из соседних сибирских городов. За тридцать лет практики многократно возникали ситуации в которых остро чувствовалась проблема материала для заполнения костных дефектов- от открытых переломов до дефектов при секвестрэктомиии и удаления кистозных опухолей. Риск аутопластики в инфицированную среду или дефицит донорской кости у детей, повсеместное закрытие лабораторий консервации тканей, высокая стоимость зарубежных остеоиндуктивных материалов делают коллапан одним самых доступных материалов в exUSSR \простите за пафос\. В нашем отделении мы применяем коллапан в гранулах с антибиотиком для пристеночной пластики при удалении секвестров при послеоперационных и посттравматических остеитах, при остеосинтезе ложных суставов и заполнении костных дефектов. Коллапан не может применяться в ситуациях где имплантату необходима опорная функция, но это уже другая песня. Привожу пример 15 летнего пациента с обширной фиброзной дисплазией проксимального бедра, которого я оперирован в ноябре 2005, контрольный снимок от 3-2006.

Произведена подвертельная трепанация, кюретаж и рыхлое заполнение гранулами коллапанаГ полости, ушло до 100 куб см гранул. Иммобилизация не проводилась, нагрузка на ногу разрешения через 5 мес, сейчас подросток активно отдыхает на каникулах. Аваскулярный некроз головки вроде не предвидится, думается, что в процессе роста кисты коллатеральное кровообращение сформировалась достаточно, о судьбе ростковой зоны можно будет говорить через год. Кстати в одном НИИ ему была предложена операция эндопротезирования. Первые 2 мес

Послать ответ

Имя
Email
Уведомление Сообщить мне по e-mail об ответах на это сообщение
Название
Комментарий
(Проверьте URL! Не забудьте написать http://!)
Кодировка
Если не знаете, что выбрать, выберите "Просто текст"!
Приложение
Можно приложить к сообщению файл c изображением, который затем будет доступен увидевшим сообщение.
Подготовка иллюстраций:
  • Рентгенограммы: черно-белые полутоновые изображения в формате JPEG (8 bit, greyscale) с разрешением от 300х200 до 1024х768 пикселов;
  • Клинические фотографии: полноцветные изображения в формате JPEG (24 bit, truecolor) с разрешением от 300х200 до 1024х768 пикселов;
  • Схемы и рисунки: черно-белые (2 bit) штриховые (line-art) изображения в формате GIF или compressed TIFF
  • Подберите степень сжатия файла JPEG и размер изображения таким образом, чтобы необходимые детали были различимы, но размер файла не превышал 75 кб.
  • Учтите, что текущая версия программного обеспечения Форума позволяет приложить к одному сообщению лишь один файл-вложение. Поэтому, если необходимо отправить несколько изображений, можно либо послать каждое как отдельное сообщение, либо в графическом редакторе объединить изображения в одно (сделать коллаж).
  • Если при подготовке изображений встречаются трудности, не стесняйтесь обратиться к координатору Форума.

  • Введите видимые символы в обратном порядке. Enter the above characters in reverse order (*Обязательно)
    В тексте сообщения можно использовать теги HTML <B> <I> <P> <A> <LI> <OL> <UL> <EM> <BR> <TT> <HR> <STRONG> <BLOCKQUOTE> <DIV .*> <DIV> <P .*>
  • Обратите внимание: Поля с жирными названиями обязательны.
  • Старайтесь отвечать в рамках обсуждаемой темы, а не начинать новые обсуждения.
  • Указывайте адекватную тему сообщения, чтобы было ясно, о чем оно.
  • Не послайте сообщений не по теме (оффтопик), раздраженных, грубых или обидных комментариев. Здесь это неуместно.
  • Powered by Zope  Squishdot Powered MedLink
    Посетитель: 0147170
      "По форме правильно, а по существу - издевательство" В.И.Ленин
    ©2001-2019Orthoforum Coordinator.
    [ Главная | Отправить сообщение | Поиск | Админ ]