AOTRAUMA.ORG Центр Илизарова  

Ортопедия и травматология Общие вопросы/General questions Help Информационные технологии в медицине
 вверх
 отправить
 поиск
 админ
 главная


перелом С2
Ортопедия и травматология Отправлено Марикин Михаил Викторович 11 Август 2006, 12:34
Больная непреглядного вида и образа жизни поступила после ДТП с клиникой перелома С2 без неврологии и внутреннего мыщелка б\берцовой кости.

Мыщелок собрали закрыто под контролем ЭОПа. С подобным переломом С2 у меня это уже второй больной. Уточнить характер патологии шейного отдела нет возможности. КТ не работает. МРТ нет. Оперировать не собираемся - слишком высоко. Но могут появиться и нормальные пациенты.Если у кого есть какие мысли и опыт лечения подобных больных - поделитесь.
С уважением Марикин МВ. Магнитогорск.

<  |  >

 

  • Сообщения о Ортопедия и травматология
  • Также Марикин Михаил Викторович
  • Связаться с автором
  • Ответить

    Re: перелом С2
    Alexander Rykov 11 Август 2006, 20:01
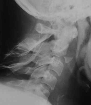
    Михаил Владимирович! На предлагаемых снимках травматическая нестабильность сегмента С2-С3 с отрывом нижнего переднего края С2 и подвывихом его кзади.
    Требует уточнения взаимоотношения в дугоотростчатых суставах (сделайте анфас
    и косые снимки). Подлежит хирургической стабилизации 100%, и хирургическому
    устранению смещения (подвывиха-вывиха). Без этого хроник по голове и кандидат на сосудистое поражение мозга. Социальный статус человеков на
    протяжении жизни может меняться неоднократно и в любую сторону, не следует нам на него ориентироваться сильно. Отдайте вертебрологам.

    С ув. А Рыков.
    Хабаровск.
    [ Ответить ]

    Re: перелом С2
    Антон Андрианов 11 Август 2006, 20:38
    Подобные травмы в вертебрологических клиниках оперируют из переднего доступа, но Вы можете относительно несложно произвести окципитовертебродез проволокой и протакрилом. Методика описана, если есть опыт прикладной нейротравматологии, то проблем не возникает.
    А что в Магнитке в МСЧ ММК Л.Д. Сак уже не работает? Там и томограф вроде новый был.
    Удачи.
    [ Ответить ]

    Re: перелом С2
    Марикин Михаил Викторович 11 Август 2006, 23:19
    Другие снимки не послал, поскольку информации по ним 0.Социальный статус возможно и меняется,но что то не похоже,что он изменется у этой больной. Видел одного пациента с переломом зуба С2 (косой вертикальный перелом в сагитальной плоскости со значительным смещением и практически боковым вывихом С1)кстати без неврологии. Так вот ребята из соседней больницы наложили гало-аппарат из Илизарова подмонтировав кольцо к корсету. И все было все не плохо. Но пациент наплевал на свое здоровье и тем более на труд врачей. В результате закончил свою жизнь в НХО с тетраплегией.Окципитоспондилодез с аутопластикой и без делал у больных с переломами С1-2. Не правится мне эта операция. Хотя понимаю, что иногда без этого никуда. Последний задний спондилодез С1-2 с аутопластикой делал у ВИЧ-инфицированного больного,который скрыл информацию,а мне уж так хотелось ему помочь, что забыл о его наркотическом прошлом. Теперь сдаю анализы.Сам виноват. Л.Д.Сак работает этажом ниже.А новый КТ сломался.
    Спасибо тем кто ответил и ответит еще. С уважением Марикин М.
    [ Ответить ]

    • Re: перелом С2
      Отправитель: Leonid Pollyak 13 Август 2006, 17:32
      Уважаемый Михаил Викторович!
      г. Челябинск находится от Вас в 320 км. Можно обратиться и туда

      [ Ответить ]

     

    ( Ответить )

    Powered by Zope  Squishdot Powered MedLink
    Посетитель: 0000071
      "По форме правильно, а по существу - издевательство" В.И.Ленин
    ©2001-2019Orthoforum Coordinator.
    [ Главная | Отправить сообщение | Поиск | Админ ]