Ответить
|
Re: Перелом обеих лодыжек и з/края б/б кости с выв
Maxim Agalakov 11 Август 2006, 23:11
|
> трансартикулярная диафиксация спицами. Веду больную без иммобилизации.
Довольно рискованно (видел больного со сломанными спицами)
> Отека нет. Ув. колеги, стоит ли в данном случае оперировать, если нет,
если оперировать, то наверное попытаться закрыто через проколы винтами (возможно стержень в н/лодыжку).
|
[
Ответить ]
|
Re: Перелом обеих лодыжек и з/края б/б кости с вывихом стопы
Опарин Сергей 11 Август 2006, 23:36
|
Рекомендую наложить циркулярный гипс, спицы оставить в окошке. Через 6 -7 недель спицы можно убрать и лечить в гипсе до 8-10 недель.ДОА конечно будет.
|
[
Ответить ]
|
Re: Перелом обеих лодыжек и з/края б/б кости с вывихом стопы
Константин Шевырев 12 Август 2006, 11:59
|
Уважаемый С.А. Мелашенко!Если принимать во внимание только тип повреждения (нестабильное), то конечно показана фиксация костей, образующих голеностопный сустав, одним из способов. Но в принятии решения нельза не учитывать такие факторы как: наличие сопутствующих заболеваний, предоперационную мобильность пациентки, массу тела, выраженность остеопороза, желания пациентки (при том, что вы добились приличного стояния отломков)...
Гипсовая иммобилизация, по технологии предпринятого Вами способа лечения, необходима.
Спицы, традиционно, оставляют до трех недель.
С наилучшими пожеланиями Шевырев К.В., МОНИКИ
|
[
Ответить ]
|
Re: Перелом обеих лодыжек и з/края б/б кости с выв
Alexander Rykov 13 Август 2006, 14:24
|
2 народное правило ортопедии гласит "не ищи лучшего от хорошего". Что повредил спицами, то пострадало. Я бы выдержал недели 4-6 - и убрал спицы,
внешнюю иммобилизацию применил бы - лучше жестким ортезом или гипс. Все остальное классика (сроки, контроли, нагрузка, функция и т.д.)
А Рыков Хабаровск.
|
[
Ответить ]
|
Re: Перелом обеих лодыжек и з/края б/б кости с вывихом стопы
Владимир Скребцов 14 Август 2006, 02:12
|
В течение длительного времени у нас принят этот способ фиксации, по показаниям конечно. Тактика такая: После репозиции и ТАФ стопы, гипсовая шина обязательно. Ч/з 7 дней Рентгенконтроль. Спицы удаляем через 1,5 мес, и затем продлеваем гипсовую иммобилизацию до 2-2,5 мес. Результатами я честно говоря доволен. Если спицы убрать раньше или вести совсем без них, то очень вероятно вторичное смещение. Удачи!
|
[
Ответить ]
|
Re: Перелом обеих лодыжек и з/края б/б кости с вывихом стопы
Сергей Мелашенко 15 Август 2006, 20:57
|
На 4-й неделе убрал спицы, с 7-й недели начал ЛФК, дозированную нагрузку, физиопроцедуры, массаж. Назначил хондропротекторы. Получилось вот что.
Rg-05.JPG
38KB (39758 bytes)
|
[
Ответить ]
|
Re: Перелом обеих лодыжек и з/края б/б кости с выв
Отправитель: Кучерявый Игорь 15 Август 2006, 21:41
|
Удалены спицы, а гипса не было? 3-х лодыжечный перелом фиксировать 4 недели недостаточно. Что и подтверждается на последнем снимке - есть тенденция к подвывиху кнаружи, кзади... Что будет дальше, когда пациент начнет давать полную нагрузку?
|
[
Ответить ]
|
Re: Перелом обеих лодыжек и з/края б/б кости с выв
Отправитель: Sergey Melashenko 16 Август 2006, 22:13
|
Иммобилизировал ортезом, коллеги из области подарили.
Я вижу, вы сторонник раннего оперативного лечения и стабильной фиксации при таких переломах. Согласен, однако нельзя забывать о возрасте
пациента, трудовой деятельности и желания. В данном случае (60 лет пациентке), я склоняюсь к мнению, что данная методика наиболее
приемлема. У более молодых предпочтительным считаем стабильную фиксацию (операция
выполняется в первые 3-5 часов после травмы, что позволяет избежать травматического отека и соответствующей отсрочки лечения на 2-2,5
недель)
Понаблюдаю за пациенткой 1-2 года, посмотрим.
С ув. Сергей Мелашенко
|
[
Ответить ]
|
Re: Перелом обеих лодыжек и з/края б/б кости с выв
Отправитель: Игорь Кучерявый 16 Август 2006, 22:15
|
Как раз здесь лучше собрать сразу, пациентке в 60 лет труднее переносить все эти проблемы. Да и чем она провинилась? А при данной методике необходимо все-таки гипсовать...
|
[
Ответить ]
|
Re: Перелом обеих лодыжек и з/края б/б кости с выв
Отправитель: Alexander Chelnokov 15 Август 2006, 22:16
|
СМ> На 4-й неделе убрал спицы, с 7-й недели начал ЛФК, дозированную
СМ> нагрузку, физиопроцедуры, массаж. Назначил хондропротекторы.
Интересно, в Европе и США при переломах лодыжек назначают ли те же физиопроцедуры, массаж и хондропротекторы?
СМ> Получилось вот что.
Малоберцовая выглядит коротковатой. Профиль как-то мутный. Вообще, неплохо было бы сделать снимки в сравнении со здоровой.
|
[
Ответить ]
|
Re: Перелом обеих лодыжек и з/края б/б кости с выв
Отправитель: Sergey Melashenko 16 Август 2006, 08:51
|
> Интересно, в Европе и США при переломах лодыжек назначают ли
> те же физиопроцедуры, массаж и хондропротекторы?
Хочеться восстановить функцию, а хондропротекторы (глюкозамин, хондроитин) назначил для профилактики артроза, хрящ все-таки пострадал от спиц...
> Малоберцовая выглядит коротковатой. Профиль как-то мутный. Вообще,
> неплохо было бы сделать снимки в сравнении со здоровой.
Попробую сделать
|
[
Ответить ]
|
Re: Перелом обеих лодыжек и з/края б/б кости с выв
Отправитель: Alexander Chelnokov 16 Август 2006, 08:52
|
СМ> Хочеться восстановить функцию, а хондропротекторы (глюкозамин
В Ваших добрых намерениях никто и не сомневается :-)
Вопрос лишь в том, есть ли реальная польза от этих мер в такой ситуации? Кто, когда и как ее подтвердил?
Мне кажется, хватило бы короткого курса разработки, да и попрощались бы.
|
[
Ответить ]
|
Re: Перелом обеих лодыжек и з/края б/б кости с выв
Отправитель: Djoldas Kuldjanov 16 Август 2006, 08:59
|
> Интересно, в Европе и США при переломах лодыжек назначают
> ли те же физиопроцедуры, массаж и хондропротекторы?
Мы не назначаем хондропротекторов после операции, честно говоря, я даже не знаю, что это.
Послеоперационно на пару недели брейс,
которую можно снять для ежедневной разработки сустава с увеличением амплитуды движения.
> Малоберцовая выглядит коротковатой. Профиль как-то мутный.
Конечно, малоберцовая укорочена, надо сделать косой - мортиз снимок, тогда будеть понятно, на сколько.
Стараемся делать операцию всем, потому что даже отличную репозицию не удержать, не дай бог какие то кожные осложнения в гипсе и т.д., теряется
зря время. Если большой отек, иногда поэтапно, сперва малоберцовую, затем, через пару дней
медиальную, задний край меньше 15% суставной поверхности оставляем в покое.

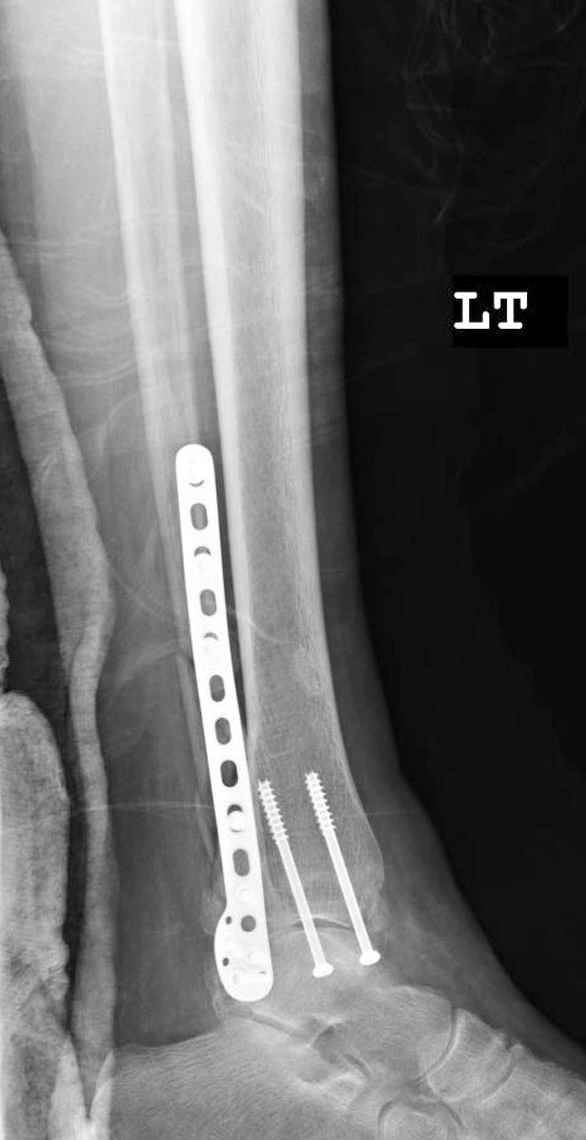
Здесь финальный снимок 73 летней с
сопутствующей шизофренией, латерально бридж
пластину (соединили дистальный конец с диафизом не трогая место перелома) и медиально перкутанно
двумя шурупами. В этам случае без гипса не
обойтись.
|
[
Ответить ]
|
Re: Перелом обеих лодыжек и з/края б/б кости с выв
Отправитель: Evgueny Tchekashkine 17 Август 2006, 11:26
|
Джолдас, Здравствуйте,
Красивые Рг-граммы! У меня нет опыта перкутанной фиксации внутренней лодыжки, поэтому интересно узнать, наблюдали ли вы несращения внутр.лодыжки
при такой технике фиксации?
В местных условиях практически все переломы лодыжек( нестабильные) оперируются открыто: 3.5 мм 1/3 пластина и спонгиозный винт со спицей или
два 4.5 мм спонгиозных винта. Почему я задаю вопрос, потому что во всех оперирируемых случаях наблюдал надкостничную интерпозицию в зоне перелома внутренней лодыжки, которая устраняется в процессе репозиции. Естественно, что при закрытой технике устранить интерпозицию евозможно/возможно? или сохраняющаяся межфрагментарная интерпозиция не кртитична для сращения перелома? Как вы прокомментируете это?
Заранее признателен,
Евгений
|
[
Ответить ]
|
Re: Перелом обеих лодыжек и з/края б/б кости с выв
Отправитель: Djoldas Kuldjanov 17 Август 2006, 13:21
|
Женя привет,
Точно, для идеальной репозиции надо открыть передний и задний углы медиальной лодыжки,
сделать ревизию сустава, очистить, убрать интерпозицию, потом только зафиксировать.
Как заметил, по рентгенограмме медиальная лодыжка не очень идеально репонирована. Больная кроме шизофрении страдала другими соматическими заболеваниями, и во время операции от анестезиолога получил рекомендацию поторопиться, поэтому решили закрыто, а так тенденция лечить
открытым методом.
Фиксацию предпочитаю шурупами 4.0 или 3.5мм для медиальной лодыжки, если размер фрагмента позволяет то малым antiglade plate. Шурупом в 4.5 мм не приходилось из-за опасности расколоть лодыжку и из-за большого размера головки. Многие
утверждают, что 4.0 мм канюлированный шуруп
механически лучше чем сплошной 4.5 мм. Встречал ложные суставы медиальной лодыжки и безсимптомные
(рентгенологические) тоже, возможно из-за частичной интерпозиции, еще и те, которые приходилось оперировать заново, даже с примененим
костной пластики.
|
[
Ответить ]
|
Re: Перелом обеих лодыжек и з/края б/б кости с выв
Отправитель: Игорь Кучерявый 18 Август 2006, 14:40
|
Но ведь некоторые такие переломы срастаются и без операции. Видимо даже при интерпозиции надкостницей, если остаётся достаточная площадь контакта отломков, медиальнее, то есть условия для сращения. Чем глубже залезает надкостница - тем меньше шансов для сращения.
P.S. Я иногда по дежурству, устав от потока пациентов, при свежем переломе просто загоняю винт во внутреннюю лодыжку, не выделяя место перелома и
просто отрепонировав его пальцами - срастается. Ни одного несросшегося не было.
|
[
Ответить ]
|
Re: Перелом обеих лодыжек и з/края б/б кости с выв
Отправитель: Maxim Agalakov 16 Август 2006, 09:52
|
Получился ожидаемый результат. Недостаточная длительность иммобилизации - подвывих, а жаль, первичная репозиция была замечательная, целесообразность назначения хондропротекторов, физиопроцедур вызывает сомнения.
С уважением,
Максим Агалаков
|
[
Ответить ]
|
|
Re: Перелом обеих лодыжек и з/края б/б кости с выв
Sergey Melashenko 19 Август 2006, 12:43
|
Ув. коллеги.
После проведенной дискуссии пришел к выводу, что трансартикулярная диафиксация не совсем приемлима с учетом современных методик остеосинтеза. Кроме того, вычитал, что хрящ разрушается на расстоянии до 0,5 см от места проведения спицы.
Пока я был в интернатуре, предпочитали осуществлять стабильный остеосинтез с ранней функцией. См. приложения и полнотекстный вариант
статьи.
С ув. Сергей Мелашенко
Приморск, Запорожская обл.
Ukraine
|
[
Ответить ]
|
Re: Перелом обеих лодыжек и з/края б/б кости с выв
Отправитель: Игорь Кучерявый 20 Август 2006, 22:11
|
> Пока я был в интернатуре, предпочитали осуществлять стабильный
> остеосинтез с ранней функцией.
А вот по этому поводу можно почитать здесь.
Там доктор Семенистый хорошо пишет по поводу стабильной фиксации и ранней функции.
С уважением,
Кучерявый Игорь.
|
[
Ответить ]
|
|
( Ответить )
|
|