вверх
отправить
поиск
админ
главная
|
Открытый вн.суставной перелом голени |
 |
 |
 |
Отправлено Никита Заднепровский 11 Август 2006, 23:23
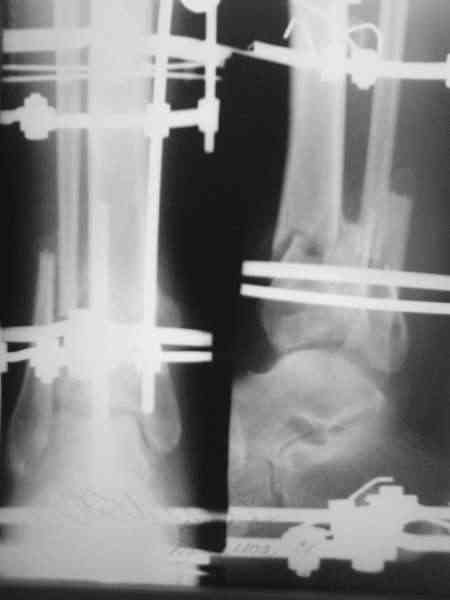
Здравствуйте, коллеги.Сегодня закрыл грануляции расщепленным кожным лоскутом. Начало см здесь Дефект устранил "гофрированием" мягких тканей голени. После этого спицы из дистального отломка удалил. В зоне сближенных отломков идет оссификация. Укорочение голени около 5 см. Что можно предпринять дальше? Тибиализация? Последующее выращивание регенерата в АВФ (в какие сроки оптимально)? Как освободить стопу (и нужно ли сейчас) для разработки в голеностопном суставе? С уважением, Заднепровский Никита Николаевич
<
|
>
|
|
Ответить
|
Re: Открытый вн.суставной перелом голени
Evgueny Tchekashkine 12 Август 2006, 19:20
|
Поздравляю с успешным закрытием дефекта голени - гофрирование сработало. Перед свободной кожной пластикой дефекта повторите посев из раны, при обнаружении стрептококков пересадку лучше отложить до полной санации иначе лоскут расплавится. Следующим этапом я бы подумал о перемонтаже аппарата для
создания компрессии в зоне перелома б.б. и проксимальную компактотомию с транспортом костного блока и воостановления длины голени.
Дальнейших успехов,
|
[
Ответить ]
|
Re: Открытый вн.суставной перелом голени
Александр Ерохин 13 Август 2006, 15:26
|
Тибиализация это что? Наверное нужно сделать остеотомию(лучше всего косо- поперечную проксильного метафиза пилой Джигли,если получится поднадкостнично). Придется немного перемонтировать аппарат.В ближайщее время,пока не срослась малоберцовая кость, и тянуть не торопясь по 1 мм всутки в 4 подкрутки по 1/4 оборота.Освобождать стопу?!-зачем? Вы убрали спицы из дистального отломка потому что текли. Может имеет смысл провести заново.
|
[
Ответить ]
|
Re: Открытый вн.суставной перелом голени
Отправитель: Никита Заднепровский 13 Август 2006, 15:28
|
АЕ> Тибиализация это что?
Тибиализация малоберцовой кости используется при замещении дефектов большеберцовой кости по методу Илизарова. Спицами с напайками тянут фрагмент малоберцовки к большеберцовке до образования костного блока. В данном случае я расчитываю "укрепить" место перелома фрагментом os fibula который зашел по длине при "гофрировании", так как между отломками рубцовая ткань и расчитывать на истинное сращение здесь, видимо, не придется. Или все же попытаться сдавить отломки tibia с целью раздавливания межотломковых интерпонирующих тканей да начинать "выращивать" остеорегенерат?
АЕ>Освобождать стопу?!-зачем?Вы убрали спицы
АЕ> из дистального отломка потому что текли.Может имеет
АЕ> смысл провести заново.
Нет, спицы не текли, а появился отек стопы и боли в области сухожилий разгибателей пальцев в конце процесса "гофрирования". Так как репозиции отломков метафиза мне достичь не удалось, то решил убрать их за ненадобностью. Может, попытаться открыто провести репозицию заднего края lag screw задним доступом? Правда время с момента травмы уже 30 дней. Или лучшее враг хорошего? Чем больше занимаюсь этим больным, тем больше вопросов.
С уважением, Заднепровский Никита Николаевич
|
[
Ответить ]
|
|
( Ответить )
|
|