ВХОД ДЛЯ ПАЦИЕНТОВ
вверх
поиск
админ
главная
|
Латеральная нестабильность голеностопного сустава |
 |
 |
 |
Прислано Sergey Melashenko 15 Август 2006, 21:45
из
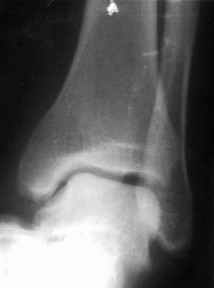
братился мужчина, 50 лет. Жалобы на боли в голеностопном суставе, периодическое подворачивание стопы вовнутрь.
Получил травму 5 лет назад.
При осмотре - признаки латеральной нестабильности, боли по ходу малоберцово-таранной, задней малоберцово-пяточной связки. Сделал стандартный Rg, и Rg с нагрузкой. В течение последнего года начали беспокоить боли в коленном, тазобедренном суставе. Как полагаю, это связано с нарушением биомеханики всей ноги. Если прооперировать и устранть нестабильность, пройдут ли эти боли (этот вопрос пациент задал сразу, как только услышал слово операция)?
С ув. Сергей Мелашенко,
Приморск, Запорожская обл.
Ukraine
Обратите внимание: Поля с жирными названиями обязательны.
Старайтесь отвечать в рамках обсуждаемой темы, а не начинать новые обсуждения.
Указывайте адекватную тему сообщения, чтобы было ясно, о чем оно.
Не послайте сообщений не по теме (оффтопик), раздраженных, грубых или обидных комментариев. Здесь это неуместно.
|