вверх
отправить
поиск
админ
главная
|
Переломы голени у подростка |
 |
 |
 |
Отправлено Ларионов Н.М. 05 Сентябрь 2006, 05:03
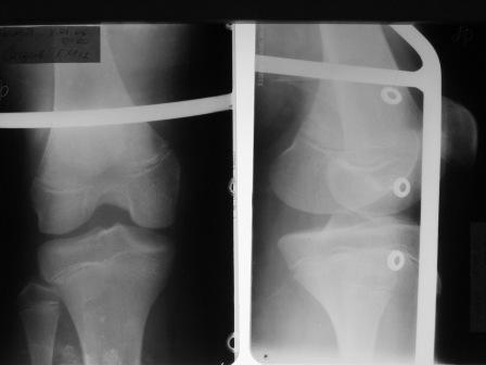
Поступил мальчик 12 лет с переломами диафиза костей обеих голеней. В связи с этим поставлен вопрос, который уже поднимался в узких кругах, но к однозначному решению это не привело. Можно ли в данном случае применить ЗИО с блокированием? Если использовать классическую точку входа над бугристостью и избежать блокирования в зонах роста повлияет ли это рост кости? Как с этим обстоят дела у иностранных колег?
<
|
>
|
|
Ответить
|
Re: Переломы голени у подростка
Djoldas Kuldjanov, M.D. 06 Сентябрь 2006, 20:31
|
Двумя эластичными штифтами Synthes можно избежать повреждения зоны роста у подростков. После закрытой репозиции перелома голени в зависимости от диаметра кости применяются 2.5мм или 4.0мм штифты.
Точка введения на несколько см ниже чем зона роста, передне-медиально и передне латерально, на уровне бугристости большеберцовой кости.
http://www.hi.is/pub/hjjr/skrar/29.pdf#search='titanium%20elastic%20nail
|
[
Ответить ]
|
Re: Переломы голени у подростка
tigran 07 Сентябрь 2006, 08:20
|
Как с этим обстоят дела у иностранных колег?
ia konechno ne detskiy ortoped no etikh bolnikh vizhu postoyanno t.k. rabotaiu v detskom itdelenii, v Amerike gipsovim technikom ...oba-na ;)
obichno odnomomentnaya repozitsiya - gips do pakha - sledit' za Compartment Syndrome - potom Sarmiento
v dannom sluchae probivali li Vi chto nibud'? dolzhno poluchitsia ...mozhet bit dolgo pridetsia lechit ...no eto zhe deti.. zachem riskovat?
operatsii krayne redko v osnovnom kogda po drugomu nikak :
- otkritiy perelom - (naruzhn fiksator ili spitsi),
- lozhniy sustav
- ili nevozmozhnost repozitsii i/ili uderzhanie v gipse (obichno operir shtiftami bez blokirovaniia)
v liubom sluchae ochen vazhno ustranit rotacionnoe smeschenie - chto mozhno proverit' dazhe klinicheski
|
[
Ответить ]
|
Re: Переломы голени у подростка
Коваленко А.Н. 08 Сентябрь 2006, 21:22
|
Данных в поддержку блокируемого штифтования большеберцовой кости у детей не найдено (в отличие от бедра,встречаются статьи-от 6! лет). Зато среди причин GENU RECURVATUM указывается скелетное вытяжение в области бугристости большеберцовой кости, при незакрытой зоне роста. На предоставленых снимках зона роста апофиза закрыта шиной Беллера.
|
[
Ответить ]
|
Re: Переломы голени у подростка
Alexey Mozgunov 09 Сентябрь 2006, 16:07
|
За пределами exUSSR весьма популярна методика интрамедулярного эластичного штифтования...
Обычно демонстрируют хорошие результаты...
Вернее - стандартные...
Зафиксировали, срослось, в такие то средние сроки, осложнения минимальны или не наблюдались, всем рекомендуем...
Но, например, в Supl. (2004?) к журналу Injury, полностью посвященному детской травме, в нескольких статьях поднимались вопросы осложнений при данной методике... С иллюстрациями...
Есть и другие публикации...
Из чего следуют - осложнения бывают...
Чаще всего - неполная коррекция или ее потеря...
Сделать наверное можно все что угодно.
В том числе и блокируемое штифтование...
Но возникает законный вопрос - а смысл?
Тем более если что-то не получится, возникнут судебные разборки, то мнения экспертов скорее всего будут недоуменными - зачем у ребенка (12 лет - это ребенок. а не подросток, даже если и акселерат, т.е. кости большие)
применили взрослую методику.
И они будут правы.
И трудно будет что-то доказать.
Потому как IMHO публикаций о подобной практике нет...
Эластичное штифтование?
Но если рука набита на чем-то другом, что дает хорошие результаты в таких стандартных случаях...
Если не секрет, почему возникла такая дискуссия? Стандартный перелом... Или просто хочется попробовать что-то новое? Эластичных штифтов нет, а блокируемые можно приобрести?
Вообще, эксперименты в детской практике должны проводиться с большой оглядкой...
Дети - капризная публика... с точки зрения всевозможных осложнений и особенностей их постоп ведения... Здесь лучше семь раз отмерить... И перестраховаться... В том числе и толстой подборкой с публикациями чужого опыта...
А родители детей - капризны в прямом смысле этого слова... И если уж что-то не то... И если за это что-то пришлось заплатить приличные деньги... А если выяснится, что хирург еще и процент получил со штифта, когда рядом был бесплатный аппарат Илизарова, доказанно показанный при таких переломах в детской практике...
|
[
Ответить ]
|
( Ответить )
|
|