ВХОД ДЛЯ ПАЦИЕНТОВ
вверх
поиск
админ
главная
|
Опыт применения и-медуллярного остеосинтеза |
 |
 |
 |
Прислано Накоренок Илья 11 Сентябрь 2006, 00:44
из
Здравствуйте уважаемые коллеги. Позвольте поделиться опытом применения интрамедуллярного остеосинтеза большеберцовой кости имплантатами компании ?Остеомед" с запатентованной прицельно-навигационной системой для дистального блокирования ?Интерлок".
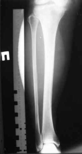
Для определения длинны и диаметра стержня использовали линейку-шаблон, позволяющей с легкостью рассчитать длину и диаметр стержня с проекцинно искаженными размерами, как конечности, так и линейки-шаблона.
Дистракцию производили с помощью спицевого дистрактора с последующей закрытой репозицией отломков винтами Шанца. Все основные этапы производили по методике АО, гарантированное дистальное блокирование достигается за счет центрирования отверстий, путем контролирования смещения стержня в костномозговом канале в сагиттальной плоскости.
Клинический пример:
Больная Я. 45 лет, пострадала в результате случайного падения на улице 19.12.2005., имеет место открытый 1 степени перелом обеих костей левой голени со смещением отломков.
произведена закрытая репозиция перелома с последующим введением стержня (на данном этапе производился рентген-контроль)
Убедившись в достаточной репозиции перелома, произведено дистальное и проксимальное блокирование интрамедуллярного стержня.
Общее время затраченное на оперативное вмешательство составило 45 минут.
Обратите внимание: Поля с жирными названиями обязательны.
Старайтесь отвечать в рамках обсуждаемой темы, а не начинать новые обсуждения.
Указывайте адекватную тему сообщения, чтобы было ясно, о чем оно.
Не послайте сообщений не по теме (оффтопик), раздраженных, грубых или обидных комментариев. Здесь это неуместно.
|