ВХОД ДЛЯ ПАЦИЕНТОВ
вверх
поиск
админ
главная
|
множественная эпифизарная дисплазия? |
 |
 |
 |
Прислано Виктор 13 Сентябрь 2006, 21:02
из
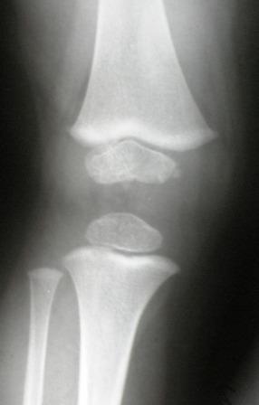
Уважаемые коллеги! Помогите уточнить диагноз. На ортопедический прием мама привела упитанного 3 летнего мальчика.
Родился и рос нормальным ребенком. Последнее время стал жаловаться на ножки. Мама заметила Х-образную деформацию нижних конечностей. При осмотре отмечена легкая вальгусная деформация коленных суставов, плоскостопие. Предполагаю, что это МЭД - множественная эпифизарная дисплазия. Р-грамма прилагается. Какие варианты лечения?.
С уважением Виктор
Обратите внимание: Поля с жирными названиями обязательны.
Старайтесь отвечать в рамках обсуждаемой темы, а не начинать новые обсуждения.
Указывайте адекватную тему сообщения, чтобы было ясно, о чем оно.
Не послайте сообщений не по теме (оффтопик), раздраженных, грубых или обидных комментариев. Здесь это неуместно.
|