вверх
отправить
поиск
админ
главная
|
Открытый чрезмыщелковый перелом плеча |
 |
 |
 |
Отправлено Алексей Минервин 13 Сентябрь 2006, 22:33
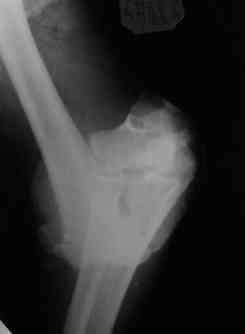
Уважаемые коллеги! Мужчина, 49 лет, упал 2 недели назад, будучи около полугода в запое. Сразу припоступлении рана промыта а-ля пульсирующая струя" до 8 литров и стабилизация (без ушивания раны). Через 2 дня пациент покинул отделение, думаю, что сражался с рогатыми животными, еще через 4 дня победив всех врагов пришел как путный с поникшей головой. На настоящий момент рана с обильным гнойным отделяемым в виде комков, но повязка стала промокать меньше, температура субфебрильная 4 дня и выше 37,3 не поднималась, боли умеренные, больше ночью. Есть несколько вопросов: 1.Нужна ли сейчас ревизия и дебридмент? 2.Оптимальный вариант дренирования? (сейчас просто резиновые выпускники, в т.ч. через онтраппертуру). 3.Нижний стержень находиться в очаге. Его необходимо убрать? Если да, то вариант фиксации.Жалко свою работу. Может общими усилиями спасем? ;) Спасибо. С уважением, Алексей.
<
|
>
|
|
Ответить
|
Re: Открытый чрезмыщелковый перелом плеча
фахриддин 14 Сентябрь 2006, 20:30
|
возможно необходим лаваж
|
[
Ответить ]
|
Re: Открытый чрезмыщелковый перелом плеча
Alexaander Chelnokov 15 Сентябрь 2006, 00:05
|
АМ> поднималась, боли умеренные, больше ночью. Есть несколько вопросов:
АМ> 1.Нужна ли сейчас ревизия и дебридмент?
А что там ревизовать, если все практически открыто. Иссекать в области сустава как-то тоже особо нечего.
АМ> 2.Оптимальный вариант дренирования? (сейчас просто резиновые
АМ> выпускники, в т.ч. через контраппертуру).
Как коллега подсказывает, надо лаваж. Как минимум 2 раза в стутки хорошо бы все отмывать. Да ферменты местно.
АМ> 3.Нижний стержень находиться в очаге. Его необходимо убрать? Если
АМ> да, то вариант фиксации.
Если нет нагноения его канала, то убирать его не надо. Однако фиксация не сильно надежная, может, хоть задней гипсовой шиной дополнить. Или наложить секцию на предплечье.
|
[
Ответить ]
|
Re: Открытый чрезмыщелковый перелом плеча
Sergey Melashenko 04 Октябрь 2006, 18:39
|
Ув. коллега, как обстоят дела на данный момент (спустя 20 дней). Есть риск, что поплывет винт. Возможно, лучшим вариантом было ввести две спыцы и оставить их накожно, что-бы в случае войны убрать.
С ув. С.А. Мелашенко
|
[
Ответить ]
|
Re: Открытый чрезмыщелковый перелом плеча
Отправитель: Алексей Минервин 05 Октябрь 2006, 09:34
|
Больного выписал 5 дней назад с нормальной температурой, скудным гнойным отделяемым и активными грануляциями. Головка винта изначально была прикрыта жизнеспособными мягкими тканями, а сейчас вся та область покрыта грануляциями. Надеюсь, >войны< не будет. Если у участников форума еще не пропал интерес, то при следующей явке постараюсь сделать фото.
С уважением А.Минервин.
|
[
Ответить ]
|
Re: Открытый чрезмыщелковый перелом плеча
Отправитель: Sergey A. Melashenko 05 Октябрь 2006, 21:02
|
> покрыта грануляциями. Надеюсь >войны< не будет.
Искренне желаю, чтобы все было благополучно. Однако, по моему мнению, при открытых переломах предпочтительно в очаге металл не оставлять.
Довольно часто возникают и поздние гнойные осложнения.
> Если у участников форума еще не пропал интерес, то при следующей явке постараюсь сделать фото.
Будем ждать
|
[
Ответить ]
|
Re: Открытый чрезмыщелковый перелом плеча
Отправитель: Алексей Минервин 12 Октябрь 2006, 01:40
|
Уважаемые коллеги. Внешний вид конечности через 5 недель после травмы. Рана гранулирует, отделяемое скудное. Прошу строго не судить за внешний вид АВФ: ну нет пока у нас параллельных зажимов (приходиться выкручиваться).
С уважением, А.Минервин.
через 5 недель.JPG
55KB (56856 bytes)
|
[
Ответить ]
|
|
Re: Открытый чрезмыщелковый перелом плеча
Алексей Минервин 01 Ноябрь 2006, 09:02
|
Продолжение см. здесь.
|
[
Ответить ]
|
( Ответить )
|
|