ВХОД ДЛЯ ПАЦИЕНТОВ
вверх
поиск
админ
главная
|
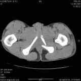
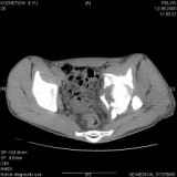
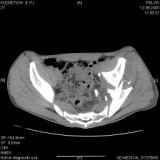
Повреждение вертлужной впадины 2,5 мес. |
 |
 |
 |
Прислано Leonid Pollyak 17 Сентябрь 2006, 23:52
из
Уважаемые коллеги! Хотелось бы услышать совет по тактике лечения представлленого больного.
Поступил после лечения в одном изотделений области. Травма 2,5 месяца назад.
После выведения
из шока был произведен остеосинтез перелома бедра, предплечья, до перевода к нам проводилось
вытяжение по оси шейки бедра за стержень, введенный в большой вертел. На сегодня деформация
ригидна, клинически мобильности не определяется.
Заранее признателен.
P.S. Данный вид травм не включен в перечень "высокотехнологичных операций", направить для
лечения по квотам Минздрава очень сложно.
Обратите внимание: Поля с жирными названиями обязательны.
Старайтесь отвечать в рамках обсуждаемой темы, а не начинать новые обсуждения.
Указывайте адекватную тему сообщения, чтобы было ясно, о чем оно.
Не послайте сообщений не по теме (оффтопик), раздраженных, грубых или обидных комментариев. Здесь это неуместно.
|