AOTRAUMA.ORG Центр Илизарова  

Ортопедия и травматология Общие вопросы/General questions Help Информационные технологии в медицине
 вверх
 отправить
 поиск
 админ
 главная
 Предыдущее


Re: Остеомиелит.
Ренжин Алексей 20 Сентябрь 2006, 00:20
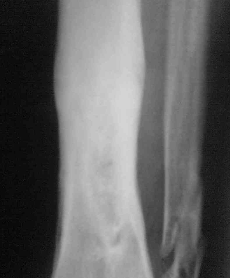
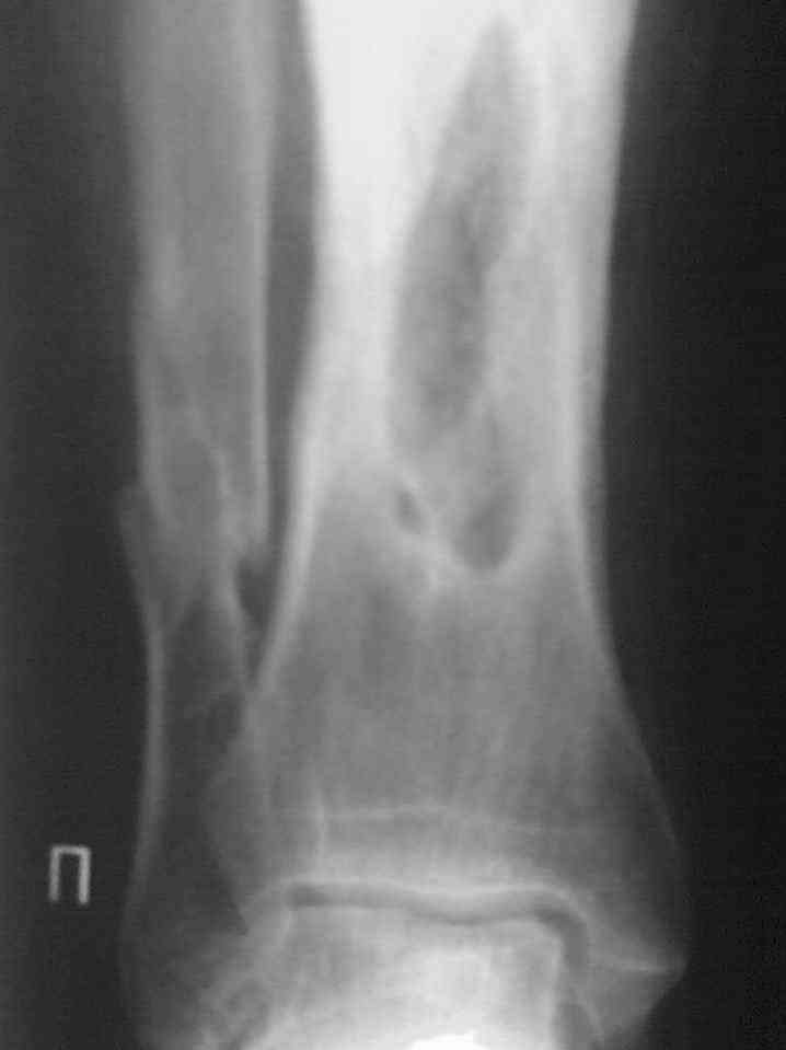
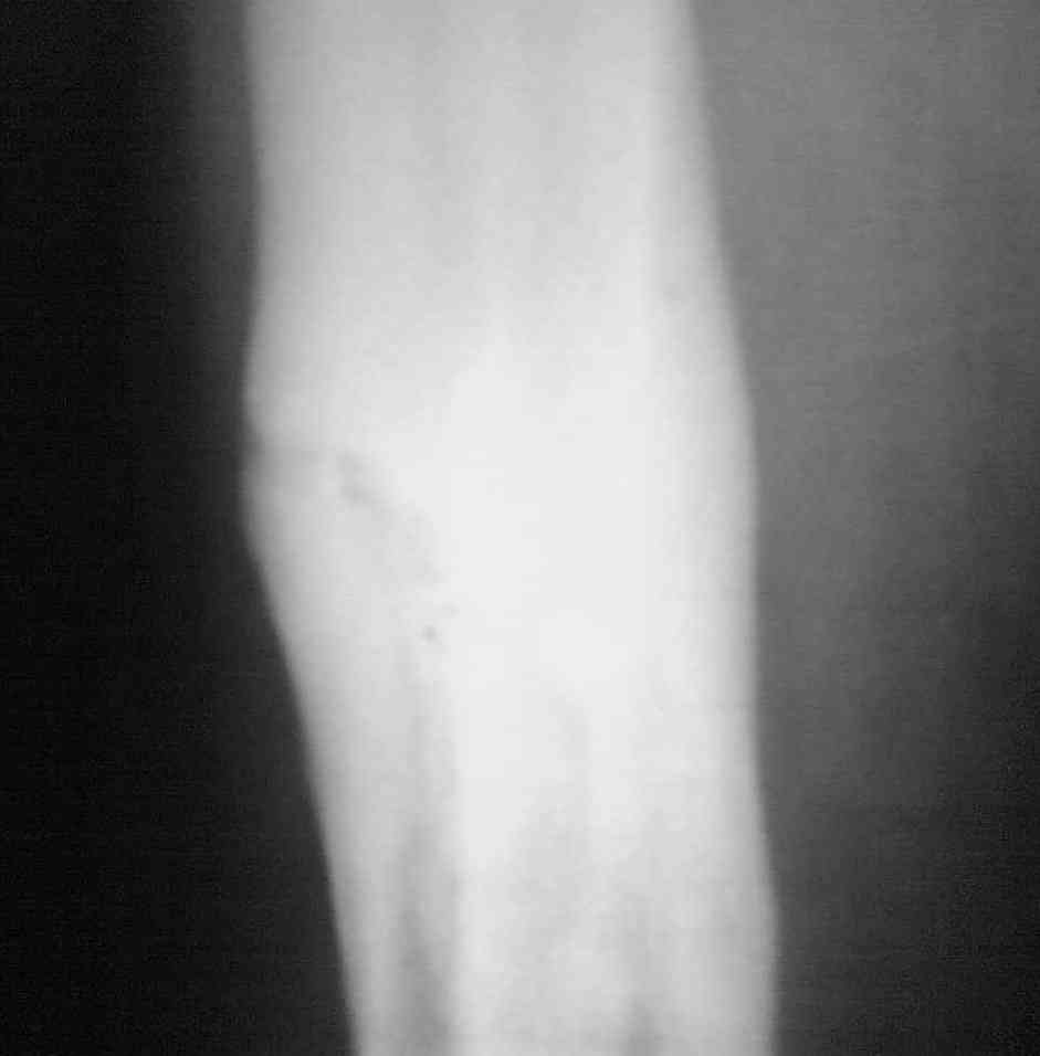
Выкладываю снимки в хронологическом порядке. Снмки все какие есть у больного.


  • Сообщения о Ортопедия и травматология
  • Также Ренжин Алексей
  • Связаться с автором
  • Ответить

    Re: Остеомиелит.
    Alexaander Chelnokov 24 Сентябрь 2006, 01:50
    Алексей,

    Количество не заменяет качества, поэтому не стоит выкладывать весь хлам, какой удастся найти у пациента. Лучше сделать 1)свежие 2)хорошего качества рентгенограммы, чтобы оценивать ситуацию по ним, а не по мутным огрызкам.

    Пока в любом случае надо выполнять туалет и перевязки несколько раз в сутки, лаваж любой водой, можно водным хлоргексидином. Делать повторные обработки, некрэктомии. Наверно, ферменты будут полезны. Надо в любом случае тут добиваться сначала санации раны. Смотреть на дефект и думать, что делать, будем потом.
    Даже если недоступны более современные варианты типа vacuum assisted closure или спейсеров из костного цемента с антибиотиками, вид раны не вызывает паники, доступные хирургические методы должны обеспечить санацию.
    [ Ответить ]

    • Re: Остеомиелит.
      Отправитель: Ренжин Алексей. 26 Сентябрь 2006, 16:43
      Благодарю Вас Александр Николаевич! Конечно, хорошо иметь цифровой фотоаппарат в отделении, но пока нам это недоступно. Обязательно сделаю снимки и выложу их на эту же страничку. Пациент лечится у себя в посёлке и приезжает в славный город Асбест на перевязки 3 раза в неделю. Как я понимаю этого мало. Вы советуете ферменты местно - какие именно? и в каких количествах? Более современные варианты типа vacuum assisted closure или спейсеров из костного цемента с антибиотиками нам также не доступны.

      [ Ответить ]

     

    ( Ответить )

    Powered by Zope  Squishdot Powered MedLink
    Посетитель: 0000251
      "По форме правильно, а по существу - издевательство" В.И.Ленин
    ©2001-2019Orthoforum Coordinator.
    [ Главная | Отправить сообщение | Поиск | Админ ]