ВХОД ДЛЯ ПАЦИЕНТОВ
вверх
поиск
админ
главная
|
Несращение бедренной кости |
 |
 |
 |
Прислано Александр Ситник 22 Сентябрь 2006, 03:23
из
Уважаемые коллеги!
Прошу совета по лечению пациентки 43 лет.
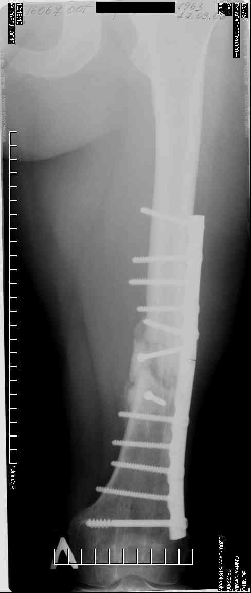
Соматически здорова. В ноябре 2004 года падение с высоты 12 м, перелом правой вертлужной впадины со смещением, неврит седалищного нерва, откр. перелом дистального отдела большеберцовой кости справа и закрытый перелом с/н/3 левого бедра. К нам поступила через 3 недели после травмы, был выполнен в 2 сессии сначала интрамедуллярный ретроградный остеосинтез бедра слева, затем остеосинтез вертлужной впадины и голеностопа справа. При остеосинтезе бедра пришлось немного приоткрыться в зоне перелома для репозиции и вообще операция затянулась часа на 2.5-3 (это один из наших первых интрамедуллярных синтезов). Через 4 месяца при нагрузке весом около 50 кг постепенно развилась варусная деформация бедра с искривлением стержня. Закрыто выпрямили под наркозом, динамизация гвоздя,но в сентябре 2005 г. согнулось бедро снова. Гвоздь удалили, остеосинтез пластиной, декортикация, пластика спонгиозой из метафиза б/берцовой кости. Динамика заживления вялая, но конструкция стояла неплохо (без признаков расшатывания), постепенно дали нагрузку - в марте 2006 года - перелом пластины - реостеосинтез пластиной, пластика гребнем подвздошной кости. На контролях (за август, т.е. 4 мес. после операции - прилагаю) динамика положительная, разрешена нагрузка до 50 кг. В начале этой недели без падения вновь появились боли в бедре - на Р-граммах - перелом пластины (снимки прилагаю).
Фоном ко всему этому то, что и перелом вертлужки и дистального отдела б/б кости тоже не срастаются, хотя на голени уже дважды выполнялась костная пластика, на впадине - вторичное смещение, перелом части металлоконструкций. Исследовали гормональный фон - парат-гормон и прочие щитовидные в норме, месячные регулярно.
Прошу совета по тактике дальнейшего лечения и выяснения причины тотального несращения всего сломанного.
Обратите внимание: Поля с жирными названиями обязательны.
Старайтесь отвечать в рамках обсуждаемой темы, а не начинать новые обсуждения.
Указывайте адекватную тему сообщения, чтобы было ясно, о чем оно.
Не послайте сообщений не по теме (оффтопик), раздраженных, грубых или обидных комментариев. Здесь это неуместно.
|