ВХОД ДЛЯ ПАЦИЕНТОВ
вверх
поиск
админ
главная
|
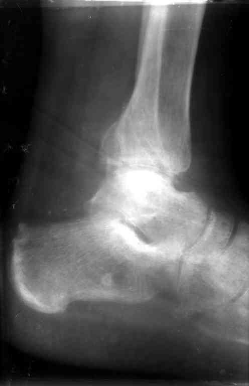
Перелом обеих лодыжек и з/края б/б кости с вывихом стопы,new |
 |
 |
 |
Прислано Sergey A. Melashenko 18 Октябрь 2006, 21:00
из
Ув. коллеги, я уже сообщал об этом случае недавно.
Металлоконструкции удалены через 7 недель с момента травмы, после чего еще месяц иммобилизации, осторожная дозированная нагрузка. Спустя 3,5 месяцев имеем следующее.
Что порекомендуете?
С ув. Sergey A. Melashenko
ул. Кирова 88-А, г. Приморск,
Запорожская обл., 72100, Украина
Обратите внимание: Поля с жирными названиями обязательны.
Старайтесь отвечать в рамках обсуждаемой темы, а не начинать новые обсуждения.
Указывайте адекватную тему сообщения, чтобы было ясно, о чем оно.
Не послайте сообщений не по теме (оффтопик), раздраженных, грубых или обидных комментариев. Здесь это неуместно.
|