ВХОД ДЛЯ ПАЦИЕНТОВ
вверх
поиск
админ
главная
|
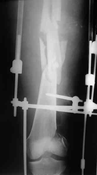
Перелом диафиза и мыщелка бедра |
 |
 |
 |
Прислано Александр Шевченко 26 Октябрь 2006, 22:41
из
Молодой человек 28 лет, травма внутрисалонная при ДТП 19.10.2006.
При поступлении дренирован правосторонний гемопневмоторакс, перелом левой бедренной кости (открытый IIБ по Каплану-Марковой) стабилизирован аппаратом внешней фиксации. В настоящее время гемопневмоторакс купирован, рана на левом бедре заживает первично, больной адекватен, активен. Хотелось бы услышать мнения по ведению данной патологии.
С уважением,
Александр Шевченко.
Краснодарская Краевая клиническая больница, третье травматолого-ортопедическое отделение
Обратите внимание: Поля с жирными названиями обязательны.
Старайтесь отвечать в рамках обсуждаемой темы, а не начинать новые обсуждения.
Указывайте адекватную тему сообщения, чтобы было ясно, о чем оно.
Не послайте сообщений не по теме (оффтопик), раздраженных, грубых или обидных комментариев. Здесь это неуместно.
|