AOTRAUMA.ORG Центр Илизарова  

Ортопедия и травматология Общие вопросы/General questions Help Информационные технологии в медицине
 вверх
 отправить
 поиск
 админ
 главная


Выполнен синтез
Ортопедия и травматология Отправлено Моисеев Ю.И. 27 Октябрь 2006, 02:29
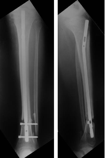
У молодого человека, у которого еще есть перелом тела поясничного позвонка, выполнен синтез голени.
Ротационная подвижность пока устраняется дополнительной гипсовой лонгетой.Из двух вопросов "кто виноват" и "что делать" предлагаю ответить на второй. Мое предложение:удалить гвоздь, наложить аппарат, добиться репозиции,забить этот же гвоздь, на этот раз с блокированием через отверстия гвоздя.Кроме моего высказаны следующие предолжения:1) заблокировать как есть нижние отверстия;2) наложить снаружи аппарат для стабилизации, в таком виде ждать сращения;3) перейти на лечение аппартом;4) перейти на лечение гипсовой лонгетой, так как все-равно перолом позвоночника-месяц лежать. Ваше мнение? Спасибо. Снимки в архиве.

<  |  >

 

  • Сообщения о Ортопедия и травматология
  • Также Моисеев Ю.И.
  • Связаться с автором
  • Ответить

    Re: Выполнен синтез
    Шарафиев Руслан 27 Октябрь 2006, 14:09
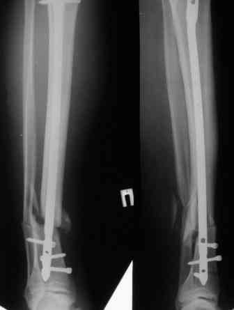
    Здравствуйте коллега! Интересный случай! Буквально 3-4 месяца назад столкнулся с подобной ситуацией. Плюс у больного имелась нейропатия малоберцового нерва, стойкая эквинусная деформация стопы. Молодой человек лечился в другом лечебном учреждении. Первым этапом выполнено удаление стержня ChM, наложен аппарат внешней фиксации, в течении недели проводилось устранение имеющихся деформаций. Вторым этапом выполнен ЗИМО стержнем MetaDiaFix-T большего диаметра (картинки в приложении).



    Для ответа на Ваш вопрос хотелось бы узнать: 1.Срок после травмы. 2.Насколько выражена подвижность на уровне перелома
    С уважением Руслан Ш.



    [ Ответить ]

    Re: Выполнен синтез
    Alexaander Chelnokov 27 Октябрь 2006, 17:43
    МЮИ> У молодого человека, у которого еще есть перелом тела поясничного
    МЮИ> позвонка, выполнен синтез голени.


    Легко показывать успехи, поэтому удвоенное спасибо за эту презентацию.

    МЮИ> предложение:удалить гвоздь, наложить аппарат, добиться
    МЮИ> репозиции,забить этот же гвоздь,


    Какой срок после остеосинтеза?
    Если небольшой, то я бы убрал все винты, наложил дистрактор, гвоздь подтянул проксимальнее, не выводя окончательно из дистального отломка.
    Длина и ось легко восстановятся. После чего гвоздь ввести снова и запереть.
    Удаление, аппарат с дозированной коррецией и отсроченный реостеосинтез - это уж на крайний случай, если совсем тугоподвижность.

    МЮИ> 1) заблокировать как есть нижние отверстия;
    [...]
    МЮИ> так как все-равно перолом позвоночника-месяц лежать.


    Да, если бы угол был пострашнее, решиться на реостеосинтез было бы легче.
    План, близкий к Вашему (реостеоситнкез после коррекции оси и длины) наиболее надежен. Минус - это вторая операция. Все остальные перечисленные варианты - в той или иной мере надежда на "авось".
    [ Ответить ]

    Re: Выполнен синтез
    Моисеев Ю.И. 28 Октябрь 2006, 01:03
    Давность травмы 3 недели. Синтез 17.10.2006. На счет большего угла: гипс наложен сразу после травмы - по разнице углового смещения можно судить о подвижности отломков и величине деформации.Сторонники варианта 4 ссылаются на данные мировой литературы(?), в которых якобы 50% интрамедуллярного остеосинтеза голени обходится без дистального блокирования.Неуверен о каких штифтах и переломах идет речь, но по-моему представленный случай не из этой серии.
    [ Ответить ]

    • Re: Выполнен синтез
      Отправитель: Alexander Chelnokov 29 Октябрь 2006, 18:23
      МЮИ> гипс наложен сразу после травмы - по разнице углового смещения можно
      МЮИ> судить о подвижности отломков и величине деформации.


      Да, с устранением деформации проблем не должно быть. Но как будете вводить дистальные винты опять без усилителя рентгеновского изображения? Может, есть возможность перевести пациента для этой манипуляции в РКБ? Я слышал, там теперь есть ЭОП.

      МЮИ> Сторонники варианта 4 ссылаются на данные мировой литературы(?),
      МЮИ> в которых якобы 50% интрамедуллярного остеосинтеза голени
      МЮИ> обходится без дистального блокирования.


      Интересно было бы познакомиться с первоисточником. Вряд ли это сводная статистика. В принципе, есть стержни Зверева-Ключевского, которые вообще без винтов, или Daga nail, там только передне-задний винт проксимально, но это сегодня скорее экзотика, чем индустриальный стандарт.

      МЮИ> Неуверен о каких штифтах и переломах идет речь, но по-моему
      МЮИ> представленный случай не из этой серии.


      Конечно. Тут скорее в длинный проксимальный отлмок можно ую не вводить винты, а дистальный - короткий и широкий, стержень там без винтов как карандаш в стакане.

      [ Ответить ]

     

    ( Ответить )

    Powered by Zope  Squishdot Powered MedLink
    Посетитель: 0009181
      "По форме правильно, а по существу - издевательство" В.И.Ленин
    ©2001-2019Orthoforum Coordinator.
    [ Главная | Отправить сообщение | Поиск | Админ ]