вверх
отправить
поиск
админ
главная
|
Остеомиелит деформация лучевой кости |
 |
 |
 |
Отправлено Равиль 30 Октябрь 2006, 00:59 ГКБN9 г.Грозный
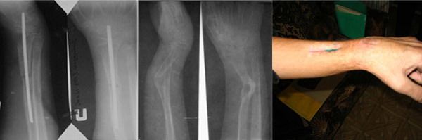
Больной Р. 16 лет, в декабре 2005 г. получил травму в результате падения с турника.Диагноз: з/ перелом обеих костей левого предплечья со смещением. Произведено иссечение свища, дренирование, антибиотикотерапия. Воспалительный процесс купировать не удалось, развился остеомиелит.На сегодняшний день следующая картина. Гипотрофия мышц левого предплечья, в области перелома втянутый рубец, дефект мягких тканей. Ограничение движений ротация - 4-5°, сгибание в лучезапястном суставе - 10/170/10.На рентгенограмме отмечается угловая деформация н/3 левой лучевой кости с углом открытым кнаружи, ложный сустав в области перелома, сужение диаметра меньше 1/3.Был бы очень признателен, получив Ваши суждения по данному поводу. С уважением,Равиль Абдулаев!
<
|
>
|
|
Ответить
|
Re: Остеомиелит деформация лучевой кости
Alexaander Chelnokov 30 Октябрь 2006, 19:16
|
Р> перелом обеих костей левого предплечья со смещением.
Р> Произведено иссечение свища, дренирование, антибиотикотерапия. Воспалительный процесс
Такое ощущение, что часть истории выпала - между падением с турника и иссечением свища явно были какие-то события, да и рентгенограмма с
интрамедуллярным стержнем есть. Можно ли сделать сегодняшние рентгенограммы с большим разрешением?
Р> 10/170/10.На рентгенограмме отмечается угловая деформация н/3 левой лучевой кости с углом
Р> открытым кнаружи, ложный сустав в области перелома, сужение диаметра меньше 1/3.Был бы
Что с воспалением на сегодня?
В любом случае, похоже, без аппарата не обойтись. Я бы ввел две спицы с упорами встречно ближе к концам периферического отломка луча, спицу с упором со стороны межкостного промежутка проксимальнее перелома, спицу с упором изнутри в локтевую кость на уровне венечного оростка.
Аппарат с шарнирами на вершине деформации (одно кольцо на периферическом фрагменте, кольцо и полукольцо проксимальнее).
Дозированное устранение деформации уже может завершиться сращением. В общем, сделать снимки после восстановления оси, и потом планировать
дальнейшие действия. Привет всем коллегам!
|
[
Ответить ]
|
Re: Остеомиелит деформация лучевой кости
Отправитель: Равиль 01 Ноябрь 2006, 08:30
|
Остеомиелит развился после остеосинтеза, стержень удален.Далее проходил лечение в гнойно-септическом отделении.Проведена секвестрэктомия,соотвест. терапия. После купирования воспаления "реабилитация" в домашних условиях.На сегодняшний день контрактура в л/з суставе, выраженная гипотрофия,втянутый рубец в области перелома.Предложение об аппаратном лечении представляется логичным и наверное единственно приемлимым.Привет обязательно всем передам.
С уважением, Равиль.
|
[
Ответить ]
|
Re: Остеомиелит деформация лучевой кости
Отправитель: Alexey Mozounov 03 Ноябрь 2006, 17:50
|
Если что то и делать (а делать надо) то только так.
Полностью согласен.
|
[
Ответить ]
|
|
Re: Остеомиелит деформация лучевой кости
Leonid N.Solomin 31 Октябрь 2006, 20:55
|
Уважаемый Равиль Абдулаев!
Мы, очевидно, выполнили бы резекцию патологического очага и замещение дефекта кости по Илизарову.
Всего наилучшего,
Л.Соломин
195427, С.-Петербург,
ул. акад. Байкова, 8,
ФГУ <РНИИТО им. Р.Р.Вредена Росздрава>
|
[
Ответить ]
|
Re: Остеомиелит деформация лучевой кости
Отправитель: Ravil Abdulaev 01 Ноябрь 2006, 03:41
|
Приветствую Вас, Л.Соломин! Спасибо за отзыв.
L>резекцию патологического очага и замещение дефекта кости по Илизарову.
У больного выраженная гипотрофия тканей предплечья,нарушенна трофика и анатомические взаимоотношения структур. Боюсь не усугубит ли предложенный вами метод и без того неважное положение. Нельзя исключить возобновления воспалительного процесса...С уважением,Равиль.
|
[
Ответить ]
|
Re: Остеомиелит деформация лучевой кости
Отправитель: Leonid N. Solomin 01 Ноябрь 2006, 21:17
|
Уважаемый Равиль:
Трофику поддерживайте, профилактику возобновления воспалительного процесса выполняйте, анатомические взаимоотношения структур восстанавливайте.
Обязательно в тандеме с человеком, кто уже курировал подобного рода пациентов. При желании детали операции можем обсудить. Проще - позвоните, буду рад помочь.
Успехов,
Л.Соломин
195427, С.-Петербург,
ул. акад. Байкова, 8,
ФГУ «РНИИТО им. Р.Р.Вредена Росздрава»
|
[
Ответить ]
|
Re: Остеомиелит деформация лучевой кости
Отправитель: Alexander Chelnokov 02 Ноябрь 2006, 11:07
|
Приветствую, дорогой Leonid и коллеги,
LNS> с человеком, кто уже курировал подобного рода пациентов.
Насколько я уяснил в ходе визита в травматологическое отделение 9 больницы Грозного, коллеги хорошо владеют методом Илизарова и имеют солидный опыт при разной патологии, в том числе в лечении открытых и огнестрельных повреждений.
LNS> При желании детали операции можем обсудить. Проще - позвоните,
Большая просьба - не уводить интересное для многих обсуждение проблемы в приватное общение. Да тут и удобнее - и картинками можно обменяться,
и если чего не то насоветуешь, тебя тут же другие поправят ;-)
|
[
Ответить ]
|
Re: Остеомиелит деформация лучевой кости
Отправитель: Ельцин Александр 02 Ноябрь 2006, 00:48
|
Уважаемые коллеги, предлагаю посмотреть на данный клинический случай вцелом, а не только на рентгенограммы. Мы ведь хотим получить результат, - т.е. сращение перелома, а еще неплохо бы и какую-нибудь функцию восстанвить...
Для точной оценки ситуации нужны прицельные снимки н/3 предплечья, снимки рубцов, т.е. внешний вид.
Но и без них можно предположить безуспешность любого лечения ложного сустава без устранения рубцовой деформации кожи и мягких тканей. Сначала надо сделать полноценные кожные покровы, а затем планировать восстановление костных структур. Имеем большой опыт лечения таких больных.
С уважением, Александр Ельцин.
|
[
Ответить ]
|
|
( Ответить )
|
|