ВХОД ДЛЯ ПАЦИЕНТОВ
вверх
поиск
админ
главная
|
Стоит ли фиксировать брейсом? |
 |
 |
 |
Прислано Владимир Бахарев 03 Ноябрь 2006, 11:58
из
Здравствуйте коллеги!
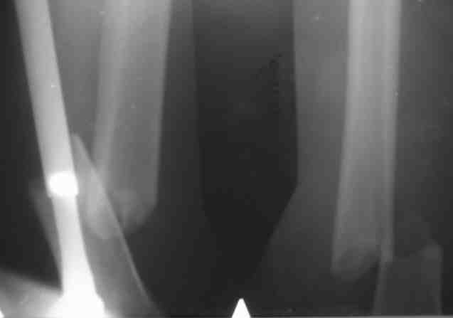
Поступил дядя 54 лет.Дорожная травма 14.10.2006
К нам попал на 11 сутки.Вроде как согласился на ретроградный штифт "Санатметал", но отказался!
Выполнили вот такой остеосинтез (вариант гаражной ортопедии - Александр Николаевич знает) модифицированным штифтом ЦИТО.
Есть сомнения в жесткости конструкции!
Обсуждается вопрос брейса-есть ли смысл?
P.S.Поллер винт внизу реально помог - сложность была (оперировали на 17 сутки)
С Уважением Владимир Бахарев.
Обратите внимание: Поля с жирными названиями обязательны.
Старайтесь отвечать в рамках обсуждаемой темы, а не начинать новые обсуждения.
Указывайте адекватную тему сообщения, чтобы было ясно, о чем оно.
Не послайте сообщений не по теме (оффтопик), раздраженных, грубых или обидных комментариев. Здесь это неуместно.
|