Ответить
|
Re: Последствия перелома костей голени
Alexander Chelnokov 27 Ноябрь 2006, 23:58
|
КАН> голень:1. Как быстрее справится с инфекцией?
Фистулографию в студию!
КАН> 2.Есть ли шанс у реконструктивных операций?
КТ делали?
|
[
Ответить ]
|
Re: Последствия перелома костей голени
Отправитель: Anton Kovalenko 28 Ноябрь 2006, 22:17
|
>Фистулографию в студию!

Больная пока на амбулаторном лечении, могу только предоставить внешний вид свища. После снятия аппарата больная некоторое время перевязывалась, и заметив что свищ затаягивается "бросила это дело", что привело к повторному его открытию. Сейчас он снова затягивается. Фистулографию сделать- раскрыть свищевой канал искусственно?
>КТ делали?
КТ не делали. Надо госпитализировать. Хотелось бы на момент госпитализации иметь четкий план действий (по-видимому для этого и нужно КТ :)).
|
[
Ответить ]
|
Re: Последствия перелома костей голени
Отправитель: Каминский Андрей 29 Ноябрь 2006, 19:16
|
Икуственно или естественно, но ввести в свищ контраст надо, прямо одноразовым шприцом под давлением взять и ввести. Частенько введение Йод-содержащих средств в свищи приводит к их закрытию. А не закроется, тоже не беда - увидите где гниет. А далее в канал зеленку и ревизия с иссечением нежизнеспособных и инфицированных тканей. Пока гниль в теле ни о какой реконстукции думать не стоит. Ждем Рентген с контрастом.
Удачи.
|
[
Ответить ]
|
|
Re: Последствия перелома костей голени
Алексей Семенистый 28 Ноябрь 2006, 10:03
|
> левой голени, с положительной динамикой
Данных маловато. Ведь не рентгеновские снимки же мы лечим. Больная с ДТП травмой открытые переломы
> :1. Как быстрее справится с инфекцией?
Для инфекции необходимы: 1-возбудитель, 2-благоприятная среда (мертвые или плохо кровоснабжаемые ткани, 3 - нестабильность, которая сама по себе препятствует восстановлению трофики. Значит Вы можете: 1- воздействовать на возбудителя с позиции рациональной антибиотикотерапии, а не "пальцем в небо" или "из пушки по воробьям", 2-
убрать мертвые ткани, обеспечить адекватный дренаж, что приведет к уменьшению отека, гипоксии, а стало быть - улучшит трофику, 3 - стабилизировать: гипс уже был, гвоздь и пластина вряд ли подойдут на фоне хронической вялотекущей инфекции...
>2.Есть ли шанс у
> реконструктивных операций?
Шанс есть всегда. Вероятность мала.
>3. Если речь об артородезе, то чем и как?
Начать с аппарата.
Только не сильно обнадеживайте пациента.
Удачи. А.Семенистый
|
[
Ответить ]
|
Re: Последствия перелома костей голени
Отправитель: Anton Kovalenko 30 Ноябрь 2006, 00:08
|
> Данных маловато. Ведь, не рентгеновские снимки же мы лечим.
Предоставлены снимки голени на сегодня(см. сообщение выше).
> ... вряд ли подойдут на фоне хронической вялотекущей инфекции...
При сегодняшнейшнем состоянии - необходима ли хирургическая санация?
А если через две недели свищ полностью закроется?
>
> >2.Есть ли шанс у
> > реконструктивных операций?
> Шанс есть всегда. Вероятность мала.
То есть Ваша позиция - артродез?
> Начать с аппарата.
Начать нужно с того, что аппарат больной сняли чуть более месяца назад, в приложении Рг перед снятием.

Больная проносила его 6 месяцев. Все чего мы смогли добиться- сохранить отломки в куче, приблизительно напоминающей вилку голеностопного сустава. Надо будет постараться убедить ее проносить его еще сколько-нибудь. Патологическая подвижность в области н/3 голени есть. Если предположить, что мы добьемся артродезеа, не факт, что перелом срастется. Стопа в эквинусе 120гр.
> Только не сильно обнадеживайте пациента.
Т.е. Вы не уверены, что аппарат поможет? Впрочем, я тоже.
> Удачи. А.Семенистый
Спасибо.
С уважением, Коваленко А.Н.
|
[
Ответить ]
|
Re: Последствия перелома костей голени
Отправитель: Алексей Семенистый 30 Ноябрь 2006, 00:19
|
> При сегодняшнейшнем состоянии - необходима ли хирургическая санация?
Да, безусловно.
> А если через две недели свищ полностью закроется?
Значит, что что еще рез 2-4 недеди будет флегмона. А может, опять откроется. Выбирайте!
> То есть Ваша позиция - артродез?
Моя позиция: пока не победите инфекцию, результата не будет. В перспективе функционпльноой реабилитации нужно думать об артродезе.
> Начать нужно с того, что аппарат больной сняли чуть более месяца >назад,... Надо будет постараться убедить ее
> проносить его еще сколько -нибудь.
Наша работа состоит не только в том, чтобы сверлить, вкручивать и забивать, но и в разъяснении, а иногда убеждении чего-то для блага больного.
> Если предположить, что мы добьемся артродезеа, не факт, что перелом срастется
Если не справитесь с хронической инфекцией комплексно и радикально, то не добьетесь ни того ни другого.
>Стопа в эквинусе 120гр.
В чем проблема? Устраните в аппарате.
> > Только не сильно обнадеживайте пациента.
> Т.е. Вы не уверены, что аппарат поможет?
Впрочем, я тоже.
Я, как наверное и многие другие, уверенен, что хорошего функционального результата не будет, а больная надеется именно на это.
А.Семеничтый
|
[
Ответить ]
|
Re: Последствия перелома костей голени
Отправитель: Anton Kovalenko 30 Ноябрь 2006, 00:27
|
Уважаемый Алексей Семенистый!
БЮ>>Стопа в эквинусе 120гр.
>В чем проблема? Устраните в аппарате.
Проблема в дистальном отломке(вернее, в его фиксации), который являет собой конгломерат остеопоротичных осколков, спаяных рубцами. Жесткая фиксация его спицами и стержнями в опоре не представляется возможной.
>Я, как наверное и многие другие, уверен, что хорошего функционального результата не будет, а больная надеется именно >на это.
Тогда зачем предлагать пациенту методы с сомнительной эффективностью, говоря что они помогут или не помогут? Может быть, честно предложить ампутацию и протезирование?
С уважением, Коваленко А.Н.
|
[
Ответить ]
|
Re: Последствия перелома костей голени
Отправитель: Алексей Семенистый 30 Ноябрь 2006, 00:32
|
> >Я, как наверное и многие другие, уверенен, что хорошего функционального результата не будет, а больная надеется
> именно на это.
> Тогда зачем предлагать пациенту методы с сомнительной эффективностью, говоря что они помогут или не помогут?
Метод Илизарова не метод "с сомнительной эфектианостью", а перелом и нынешнее положение с сомнительным исходом при любом методе лечения.
>Может быть честно предложить ампутацию и протезирование?
Безусловно и такую перспективу надо обсуждать с больной.
С уважением, А.Семенистый.
|
[
Ответить ]
|
Re: Последствия перелома костей голени
Отправитель: Anton Kovalenko 30 Ноябрь 2006, 00:34
|
>Метод Илизарова не метод "с сомнительной эфектианостью", а перелом и нынешнее положение с сомнительным исходом при любом
>методе лечения.
Никто не называл метод Илизарова методом с сомнительной эффективностью, говорилось лишь о возможной пользе применения АВФ в данном конкретном случае. Если все возможные методы имеют равный шанс на успех/неуспех или обречены, почему Вы
предлагаете АВФ?
С уважением, Коваленко А.Н.
|
[
Ответить ]
|
Re: Последствия перелома костей голени
Отправитель: Алексей Семенистый 30 Ноябрь 2006, 02:34
|
В конкретной клинической ситуации любая внутренняя фиксация в настоящий момент противопоказана потому, что обречена. Чтобы победить инфекцию кроме удаления нежизнеспособных тканей необходимо хирургически достичь стабильности. Аппарат решает эту проблему и заодно проблему эквинуса. Очевидно придется пойти на укорочение и, возможно, дальнейшее удлинение опять же в аппарате. Возможно ли в дальнейшем будет перейти на внутреннюю фиксацию? В принципе да, но сейчас это обсуждать рано. Если удастся достичь артродеза и сращения перелома даже с укорочением 3-4 см, то это будет победа.
Удачи. С уважением А.Семенистый
|
[
Ответить ]
|
Re: Последствия перелома костей голени
Отправитель: Alexander Chelnokov 30 Ноябрь 2006, 02:38
|
>>>Стопа в эквинусе 120гр.
>>В чем проблема? Устраните в аппарате.
> Проблема в дистальном отломке(вернее, в его фиксации), который
А для выведения стопы из эквинуса это какую роль играет? Аппарат же не будет состоять всего из двух опор - одна на стопе, вторая на этом дистальном отломке. И то, и другое будет соединено с опорами на центральном отломке tibia, к которому и будет прикладываться усилие.
|
[
Ответить ]
|
Re: Последствия перелома костей голени
Отправитель: Коваленко А.Н. 30 Ноябрь 2006, 22:05
|
>А для выведения стопы из эквинуса это какую роль играет?
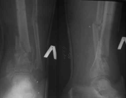
Такую, что вместо выведения из эквинуса можно получить введение в рекурвацию. Плотность кучки осколков дистального отломка оставляет желать лучшего. Это хорошо видно на последнем синмке в АВФ(см. выше), где произошла резорбция вокруг стержня во внутренней лодыжке и фактически его миграция из кости.
Хотелось бы рассмореть ситуацию, как будто бы инфекция побеждена, что делать дальше? Или это будет из серии "не говори гоп, пока..."? И еще вопрос, через какое время после санации при отсутствии признаков инфекции(закрытия свища) можно будет считать, что внутренняя фиксация возможна?
|
[
Ответить ]
|
|
( Ответить )
|
|