вверх
отправить
поиск
админ
главная
|
Оскольчатый перелом бедра. Помогите определиться с дальнейшей тактикой |
 |
 |
 |
Отправлено Антон Лебединец 28 Ноябрь 2006, 03:50
Женщина 66 лет 15.10.2006 получила закрытый окольчатый перелом правой бедренной кости в с\з-н\з со смещением отломков. 17.10.2006 доставлена в травм.отделение (2-е суток лежала одна дома). При поступлении наложено скелетное вытяжение за бугристость большеберцовой кости - груз 5 кг, затем увеличен до 7 кг. Схематические рисунки контрольных Р-грамм прилагаются (прошу прощения за отсутствие Р-грамм, постараюсь "донести").В связи с отсутствием материальных средств и "удовлетворительным" положением отломков решено было скелетное вытяжение оставить как окончательный метод лечения. На 20.11.2006 отека правого бедра нет, пальпаторно умеренная болезненность в месте перелома, крепитации отломков нет (и по-видимому не было изначально),подвижность в месте перелома сохранена, но не выражена. Двигательных, чувствительных и трофических расстройств правой нижней конености нет. Уважаемые коллеги! Какова дальнейшая тактика в случае вероятной интерпозиции тканей? Больная "кровавое" оперативное лечение не "потянет" материально. Даст ли в данном случае что-то АВФ закрыто?
<
|
>
|
|
Ответить
|
Re: Оскольчатый перелом бедра. Помогите определить
Алексей Семенистый 28 Ноябрь 2006, 17:37
|
> Уважаемые коллеги! Какова дальнейшая тактика в случае вероятной
> интерпозиции тканей? Больная "кровавое" оперативное лечение не
> "потянет" материально.
Что в Вашем и больной понимании - "кровавое"?
Если поискать, то блокируемый титанновый отечественный штифт, можно найти по цене дешевле, чем аппарат Илизарова. Больная должна быть информирована не только о стоимости различных методов, но и об их отрицательных и положительных сторонах с медицинской точки зрения
>Даст ли в данном случае что-то АВФ закрыто?
Что-то даст, в зависимости как Вы владете методом. Но неудобства для больной и для вврча на весь период лечения (несколько месяцев в лучшем случае), вероятно, контрактура коленного сустава гарантированы...
Снимки бы посмотреть?
С уважением А.Семенистый
|
[
Ответить ]
|
Re: Оскольчатый перелом бедра. Помогите определить
Alexander Chelnokov 28 Ноябрь 2006, 22:22
|
АЛ> "донести"). В связи с отсутствием материальных средств и
А при их наличии как бы лечили эту пациентку?
Что там с наружным мыщелком?
АЛ> Двигательных, чувствительных и трофических расстройств правой нижней
АЛ> конености нет.
А общий статус как?
АЛ> Уважаемые коллеги! Какова дальнейшая тактика в случае вероятной
АЛ> интерпозиции тканей?
Нету там интрепозиции. Если картинка рентгенологическая близка к тому, что Вы прислали на рисунке.
АЛ> Больная "кровавое" оперативное лечение не "потянет" материально.
АЛ> Даст ли в данном случае что-то АВФ закрыто?
Аппарат вполне для пожилых применим, и даже в классическом спицевом варианте, докторская диссертация Сергея Ивановича Шведа из Курганского РНЦ этому посвящена. Так что на любом этапе можно,
конечно, и аппарат наложить. Хотя бы сразу активизровать пациентку можно будет, и улучшить положение отломков.
Ну а надумаете если все-таки на внутреннюю фиксацию перейти - после аппарата тоже можно. Обычно получается найти возможность, если озаботиться этой проблемой. По сусекам если поскрести, можно и найти что-то. А из какой Вы местности? Может, что-то получится организовать
с помощью участников ортофрума?
|
[
Ответить ]
|
Re: Оскольчатый перелом бедра. Помогите определить
Куликов Иван Владимирович 28 Ноябрь 2006, 23:50
|
Согласен с Алексеем не каждое оперативное лечение можно назвать "кровавым", надо обследовать (66лет)может есть противопоказания для операции, постаратся настроить родственников на стержень, если нет категорически тогда спице-стержневой вариант аппарата. Такие больные крайне тяжело переносят вытяжение, а поднимать надо. если бы ми не касались этих социальных проблем, то работать былобы слишком весело :) удачи.
|
[
Ответить ]
|
Re: Оскольчатый перелом бедра. Помогите определиться с дальнейшей тактикой
Каминский Андрей 29 Ноябрь 2006, 19:08
|
Закрытый АВФ в этой ситуации может решить Ваши проблемы. Главное не размещать в проксимальном отделе бедра спицевую опору. Чаще всего именно там возникают воспалительные осложнения. Выход: либо "опустить" проксимальную опору к перелому, либо сделать ее стержневой. Срок фиксации правда 3 - 4 мес. На операции после восстановления оси отломок желательно "пришить" сквозной спицей с упором или консольной спицей.
После размещения рентгенограмы можно более конкретно обсудить схему фиксации.
Удачи.
|
[
Ответить ]
|
Re: Оскольчатый перелом бедра. Помогите определиться с дальнейшей тактикой
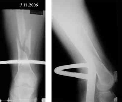
Антон Лебединец 02 Декабрь 2006, 21:33
|
Представляю вашему вниманию снимки в динамике

|
[
Ответить ]
|
Re: Оскольчатый перелом бедра. Помогите определиться с дальнейшей тактикой
katsevman , israel 03 Декабрь 2006, 19:55
|
idealn variant - long retrograde inramedullary nail with proximal locking. pochemu strachovanie ne oplachivaet takie operatii ili naz project . gde gospodin medvedev ?. v kakom gorode eto proischodit.?
|
[
Ответить ]
|
Re: Оскольчатый перелом бедра. Помогите определить
Leonid N. Solomin 07 Декабрь 2006, 10:48
|
Уважаемый Антон Лебединец,
В подобном случае чрескостный аппарат следующей компоновки является вариантом выбора:
1 2 4 6 5 7 3
I,8,90; II,11,90 -- IV,9,90 -- VI,3-9; VII,9-3; VIII,8,90 -- VIII,3-9
1/3 210 2/3 210 180 2/3 180
Размеры опор, конечно, указаны условно.
Вместо IV,9,90 может использоваться IV,8,90 или IV,10,90 - в зависимости от остаточного смещения
проксимального фрагмента.
Спицу VI,3-9 используется для репозиции и фиксации крупного костного осколка.
Дистальную опору VIII,3-9 через 6-8 нед. можете демонтировать. Если вместо стержня-шурупа II,11,90
используете II,11,120 с фиксацией ко второй опоре, то в эти же сроки можете удалить проксимальную
опору, "переключив" I,8,90 ко второй опоре.
Успехов,
Л.Соломин
195427, С.-Петербург
ул. акад. Байкова, 8, ГУ РосНИИТО им. Р.Р.Вредена
|
[
Ответить ]
|
( Ответить )
|
|