AOTRAUMA.ORG Центр Илизарова  

Ортопедия и травматология Общие вопросы/General questions Help Информационные технологии в медицине
 вверх
 отправить
 поиск
 админ
 главная


Продолжая тему "оскольчатый перелом бедра"
Ортопедия и травматология Отправлено Антон Лебединец 02 Декабрь 2006, 21:45
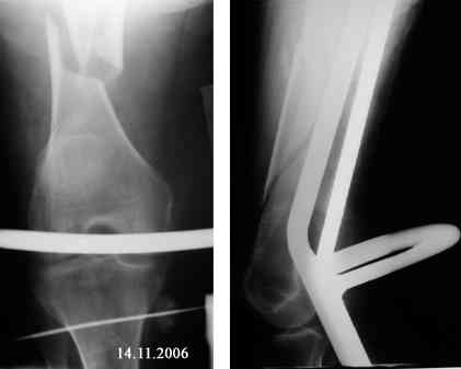
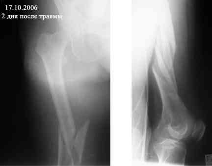
В продолжение темы оскольчатого перелома бедренной кости.
Р-граммы в динамике

<  |  >

 

  • Сообщения о Ортопедия и травматология
  • Также Антон Лебединец
  • Связаться с автором
  • Ответить

    Re: Продолжая тему "оскольчатый перелом бедра"
    Alexander Chelnokov 08 Декабрь 2006, 19:08
    Идеальный вариант тут - интрамедуллярный блокированный гвоздь. Можно и анте-, и ретроградно.
    Безусловно, можно и аппарат наложить, хотя бы поднимете пациентку на ноги.
    Лучше поискать возможность пристроить пациентку в другую больницу, где есть возможность закрыто заштифтовать бедро. Может быть, как-то попытаемся обсудить эту возможность?
    [ Ответить ]

    • Re: Продолжая тему "оскольчатый перелом бедра"
      Отправитель: Антон Лебединец 09 Декабрь 2006, 01:53
      Уважаемый Александр! Спасибо за предложение по устройству больной. Каким образом вы могли бы помочь я не вижу. Больная из г. Евпатории Крым, Украина, как я уже писал неимущая. В нашем отделении такие операции не делаются (хотя есть ЭОП - единственный в Крыму). Заведующий на оперативное лечение больной почему-то не настроен. По-моему несращение ей обеспечено, завтра зайду к ней - проверю (52 дня на вытяжении!). Вопрос - что с ней делать дальше если на операцию не идут? Выгнать с ложным суставом домой умирать? Или лежать до самой смерти (близкой) на вытяжении - я понимаю - человек ко всему привыкает но не до такой же степени. Кстати - сопутствующее у нее сросшийся чрезнадмыщелковый перелом левой плечевой кости (травма и операция (открытая репозиция, МОС спицами) в мае 2006 года).

      [ Ответить ]
      • Re: Продолжая тему "оскольчатый перелом бедра"
        Отправитель: Alexaander Chelnokov 14 Декабрь 2006, 10:33
        АЛ> Уважаемый Александр! Спасибо за предложение по устройству больной.
        АЛ> Каким образом вы могли бы помочь я не вижу. Больная из г. Евпатории
        АЛ> Крым, Украина, как я уже писал неимущая. В нашем отделении такие
        АЛ> операции не делаются


        Если такие операци у вас еще не делались, начать лучше с кем-то, имеющим такой опыт. Приехать бы к вам с железками да сделать... Может быть, кто-то из поставщиков ортопедических имплантатов проспонсирует? Хочется рождественской истории со
        счастливым концом.

        АЛ> (хотя есть ЭОП - единственный в Крыму).

        Надо внедрять закрытое штифтование, вы могли бы на себя собирать весь Крым, а то и прилежащие регионы.

        АЛ> Заведующий на оперативное лечение больной почему-то не настроен.

        Если удастся обеспечить операцию в остальном, может быть, его удалось бы переубедить?

        [ Ответить ]
    Re: Продолжая тему "оскольчатый перелом бедра"
    starostenko vladimir 09 Декабрь 2006, 15:18
    уважаемый Антон. Я понимаю Ваше беспокойство потому что работаем практически в одинаковых условиях. Конечно передовые методики которые обсуждаются на ортофоруме дают прекрасные результаты,но в нашей стране с нашем уровнем бюджетной медицины в данном случае пекрасно выручит наш добрый старый апарат внеочаговой фиксации. С базовым проксимальным полукольцом, дистальным кольцом .и промежуточным репонирующим устройством. Ув старостенко Владимир.Украина
    [ Ответить ]

    Re: Продолжая тему "оскольчатый перелом бедра"
    Марикин Михаил Викторович 09 Декабрь 2006, 16:06
    Чудеса какие то. Уважаемый Антон. Поскольку зав. отделением сказал нет оперативному лечению,значит тема закрыты. Более того. Таким образом он взял ответственность за судьбу пациента на себя. То есть в определенной степени ваша совесть чиста. Лет 20 назад мы тоже лечили некоторых больных таким же методом. Что можно посоветовать в данном случае. 52 дня на вытяжении - это круто.Если клинически имеются какието признаки консолидации - отсутствие подвижности или тугоподвижность в области перелома- то есть нет угрозы вторичного смещения, накладывайте кокситную гипсовую повязку и выписывайте пациента. Может это поможет, или пациет будет искать другую болницу. Если сохраняется выраженая подвижность в области перелома - консолидация сомнительна при консервативном лечении.
    Марикин МВ. Россия.
    [ Ответить ]

    Re: Продолжая тему "оскольчатый перелом бедра"
    дмитрий бондарь 09 Декабрь 2006, 20:28
    АВФ ! Дешево и быстро . Дважды ставил прямо в палате , не хотелось терять хорошую репозицию в одном случае и у тяжелого больного в другом . Палату , конечно , подготовили . Результат хороший . Ну а в вашем случае , как батько сказал , так и ...
    С уважением Д.Б.
    [ Ответить ]


    ( Ответить )

    Powered by Zope  Squishdot Powered MedLink
    Посетитель: 0149978
      "По форме правильно, а по существу - издевательство" В.И.Ленин
    ©2001-2019Orthoforum Coordinator.
    [ Главная | Отправить сообщение | Поиск | Админ ]