вверх
отправить
поиск
админ
главная
|
Перелом лопатки, ключицы, ребер |
 |
 |
 |
Отправлено Ю.И.Моисеев 08 Декабрь 2006, 23:16
Уважаемые коллеги, помогите определиться с тактикой. Больной 1953гр, травма на стройке, придавило тяжелымпредметом. Сейчас в сознании, стабилен, плевральная полость задренирована. Предполагаем синтез ключицы, если бы не переломы ребер, установили бы шину ЦИТО.Есть у кого опыт открытого/закрытого синтеза подобной лопатки? Что делать с клювовидным отростком? Спасибо, Моисеев Ю.И.
<
|
>
|
|
Ответить
|
Re: Перелом лопатки, ключицы, ребер
А.Миронов 09 Декабрь 2006, 08:40
|
Мы в таких случаях оперируем в 2-а этапа:
1. Стабилизация грудной клетки(фиксируем ребра по одной из линий рекон. LCP)
2. Остеосинтез лопатки из заднего доступа(рекон.LCP, LC-LCP 3,5мм, Т-обр.LCP 3,5мм); ключицу стандартно

А.Миронов
|
[
Ответить ]
|
Re: Перелом лопатки, ключицы, ребер
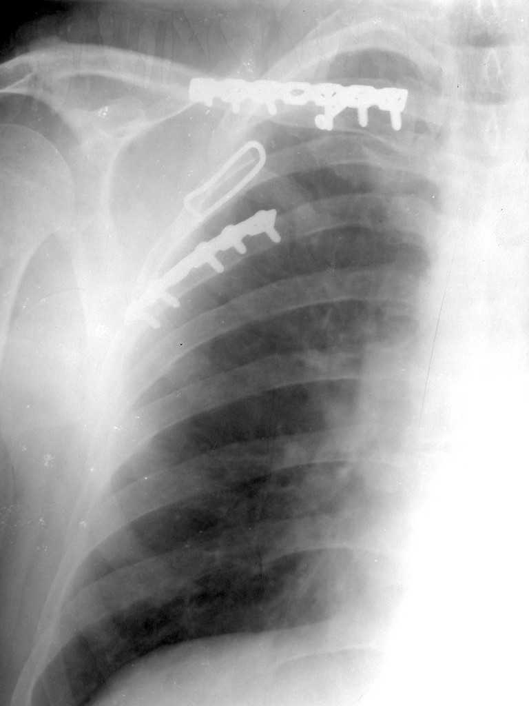
Отправитель: Дрягин 11 Декабрь 2006, 20:38
|
Очень интересно, если есть рентген ребер покажите.С уважением Дрягин
|
[
Ответить ]
|
Re: Перелом лопатки, ключицы, ребер
Отправитель: А.МИронов 12 Декабрь 2006, 20:10
|
Здравствуйте Виталий Геннадьевич!
К сожелению доктор который занимается грудной клеткой в отпуске, у себя нашёл только вот этот снимок

С Уважением А.Миронов
|
[
Ответить ]
|
|
Re: Перелом лопатки, ключицы, ребер
Марикин Михаил Викторович 12 Декабрь 2006, 13:33
|
Уважаемый А.Миронов. Если не затруднит опишите методику фиксации ребер с помощью пластин. Очень интересно.Возможно возьмем на вооружение.
заранее спасибо Марикин МВ
|
[
Ответить ]
|
Re: Перелом лопатки, ключицы, ребер
Отправитель: А.Миронов 13 Декабрь 2006, 20:04
|
Всё зависит от типа нестабильности грудной клетки. Стабилизация проводится от 4 по 8 активно участвующих в дыхании рёбер. Т.е если имеется "створка" фиксируютс рёбра по одноё линии. Разрез продольный по линии переломов из которого фиксируются 2-3 ребра, если имеется "клапан", то фиксируютяс 2-3ребра по одной линии и 2-3ребра по другой линии. Репозиция несложная, фиксация реконструктивной пластиной, в хрящевой части лучше LCP.
С Уважением А.Миронов
|
[
Ответить ]
|
Re: Перелом лопатки, ключицы, ребер
Отправитель: Марикин Михаил Викторович 14 Декабрь 2006, 13:14
|
Уважаемый А. Миронов. При множественных переломах ребер по одной или двум линиям, мы иногда проводим 2,5мм спицу или две по мягким тканям с упором ее концов на здоровые ребра, реберную дугу и ключицу. Таким образом приподнимая запавшую часть грудной клетки. Вытяжение пулевками за грудину при двухстороннем переломе с западением переднего отдела (старая методика). Вспоминая спицу, может размещать пластинку не по ходу ребер, а поперек с опорой на здоровые ребра подтягивая к ней винтами сломаные. Ваше мнение.
С уважением Марикин МВ.
|
[
Ответить ]
|
|
( Ответить )
|
|