AOTRAUMA.ORG Центр Илизарова  

Ортопедия и травматология Общие вопросы/General questions Help Информационные технологии в медицине
 вверх
 отправить
 поиск
 админ
 главная


повреждение таза
Ортопедия и травматология Отправлено Maxim Agalakov 15 Декабрь 2006, 18:07
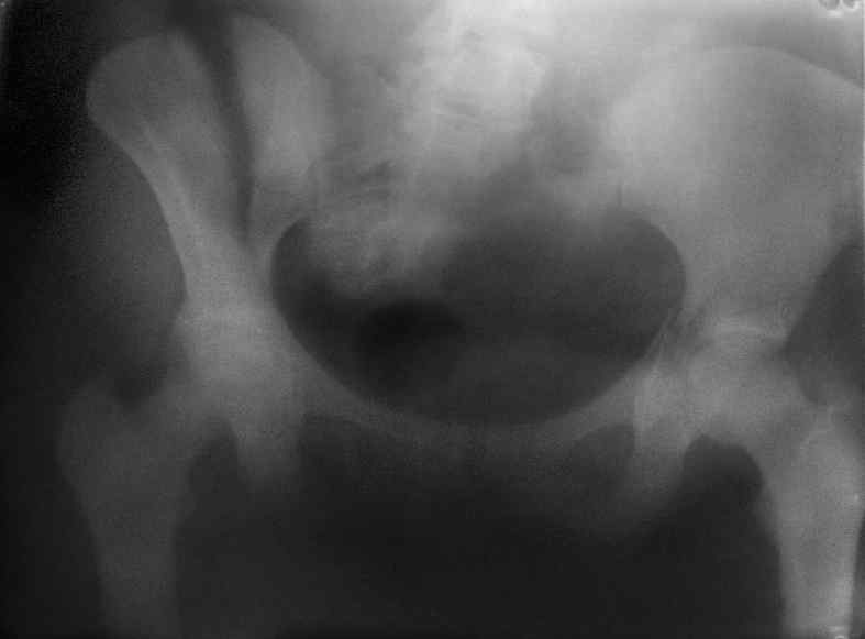
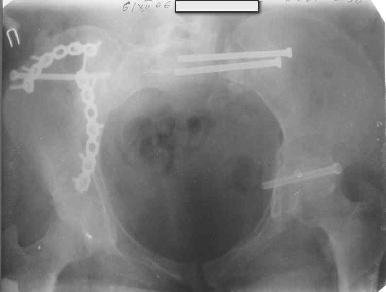
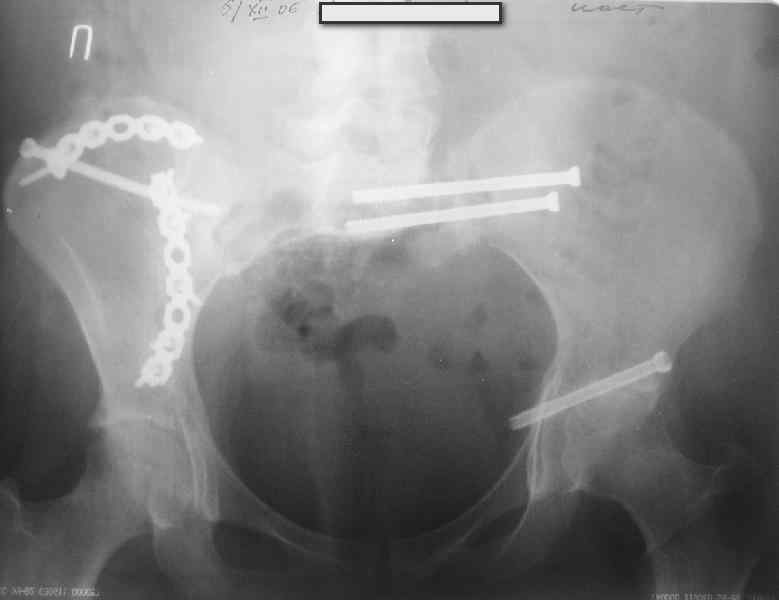
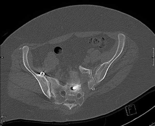
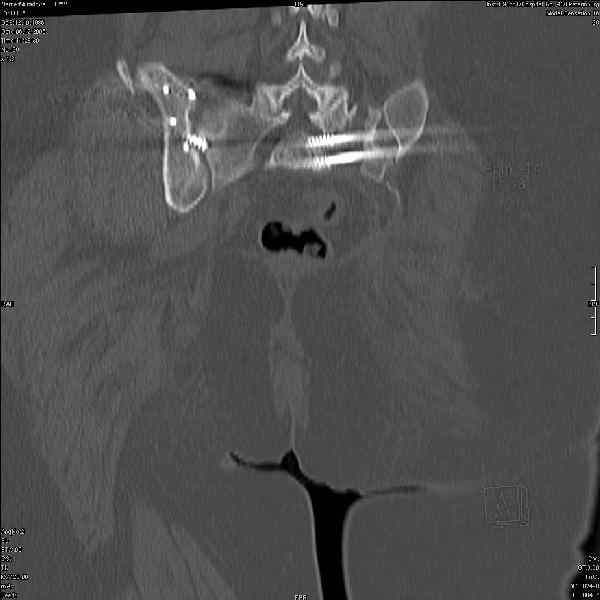
Здравствуйте, коллеги. Какие будут мнения по поводу лечения представляемой больной?
Молодая девушка 19 лет, травма 1 год назад, тогда же прооперирована.
В настоящее время имеются ноющие боли в области крестца слева, нарушение походки, ощущение неуверенности, слабости в левой нижней конечности, неврологически -непостоянные парестезии в левой нижней конечности. Ходит с дополнительной опорой, страдает от ожирения.
Какова по вашему будет оптимальная тактика в отношении несращения крестца? Замена винтов на более длинные с коррекцией их положения+ туннелизация зоны нестращения, открытое вмешательство с костной аутопластикой или еще какие варианты?
В приложении снимки при поступлении и послеоперационные год назад.


<  |  >

 

  • Сообщения о Ортопедия и травматология
  • Также Maxim Agalakov
  • Связаться с автором
  • Ответить

    Re: повреждение таза
    Коваленко А.Н. 16 Декабрь 2006, 21:05
    Могу сказать одно: миграция винтов и нестабильность синтеза левого подвздошно-крестцовогоо сочленения очевидна.
    Вот цитата из статьи с odoс.ru:"Идеально было бы иметь винты диаметром 7 - 8 мм с довольно широкой резьбой в 50 - 80 мм. Также необходимы более длинные винты и, в общем, наиболее часто используемые размеры - между 90 и 150 мм." Думается, в этой статье вы найдете ответы на все ваши вопросы.
    [ Ответить ]

    • Re: повреждение таза
      Отправитель: Maxim Agalakov 18 Декабрь 2006, 13:31
      > Могу сказать одно: миграция винтов и нестабильность синтеза левого
      > подвздошно-крестцовогоо сочленения очевидна.


      Мы имели ввиду перелом крестца

      > Вот цитата из статьи с odoс.ru:"Идеально было бы иметь винты
      > диаметром 7 - 8 мм с довольно широкой резьбой в 50 - 80 мм. Также
      > необходимы более длинные винты и, в общем, наиболее часто
      > используемые размеры - между 90 и 150 мм."


      были использованы винты 7.2 мм, кроме того иетодика транссакральной фиксации не является общепринятой и широко рекомендуемой, но и в этих случаях они наблюдали случаи вторичного смещения
      > Думается, в этой статье
      > вы найдете ответы на все ваши вопросы.


      со статьей этой знаком, не помню, чтобы там шла речь о псевдоартрозах и несращениях крестца

      [ Ответить ]
      • Re: повреждение таза
        Отправитель: Коваленко А.Н. 18 Декабрь 2006, 21:20
        >но и в этих случаях они наблюдали случаи вторичного смещения
        ...и анализировали их причины

        >со статьей этой знаком, не помню, чтобы там шла речь о псевдоартрозах и несращениях крестца

        Прошу прощение за неточность, я имел ввиду продробное описание техники фиксации переломов крестца и факторов влияющих на стабильность синтеза

        [ Ответить ]
    Re: повреждение таза
    Коваленко А.Н. 16 Декабрь 2006, 21:29
    Забыл добавить, что ИХМО показан реостеосинтез более длинными винтами, с более широкой резьбой, с фиксацией за правое подвдошно-крестцовое сочленение.
    [ Ответить ]

    Re: повреждение таза
    Vladimir Xudobin 18 Декабрь 2006, 02:10
    Ув.коллега.Думаю, что реостеосинтез винтами бесперспективен.Пороз, наличие большого массива рубцовой ткани, невозможность создать жёсткую фиксацию в зоне ложного сустава крестца требуют изменеия вида остеосинтеза. Тут возможны два варианта.1) Открытый остеосинтез с атупластикой и фиксацией ВЧКО задним стержневым крестцовым аппаратом.2)Тоже самое, но фиксация 2 резьбовыми штифтами типа Штейнемана за заднюю ость подвздошной кости. От выдавливания крестца кпереди следует на этих гвоздяж зафиксировать реконструкционную пластину, которая винтами синтезирует фрагменты крестца.



    Кликните для загрузки файла krestez.jpg
    12KB (12810 bytes)

    [ Ответить ]

    • Re: повреждение таза
      Отправитель: Maxim Agalakov 19 Декабрь 2006, 09:50
      Если уж открытый остеосинтез, то смысл в ВЧКДО, почему именно крестцовым аппаратом? почему стержни от аппарата будут держаться в крестце жестче на фоне пороза по сравнению с погружными конструкциями?

      С уважением Максим Агалаков

      [ Ответить ]
      • Re: повреждение таза
        Отправитель: Vladimir Xudobin 19 Декабрь 2006, 23:15
        Если Вас интерисует именно ВЧКО крестовым аппаратом, то я хочу отослать вас к моему коллеге и идеологу этого метода у нас проф. Г.В.Лобанову.Он согласился,чтобы я дал Вам его адрес.
        Григорий Викторович Лобанов E-mail:lobanov@donapex.net


        [ Ответить ]
        • Re: повреждение таза
          Отправитель: Maxim Agalakov 20 Декабрь 2006, 10:25
          очень благодарен за любезность, к сожалению этим летом, будучи в Донецке, не удалось пообщаться лично

          [ Ответить ]

     

    ( Ответить )

    Powered by Zope  Squishdot Powered MedLink
    Посетитель: 0176618
      "По форме правильно, а по существу - издевательство" В.И.Ленин
    ©2001-2019Orthoforum Coordinator.
    [ Главная | Отправить сообщение | Поиск | Админ ]