AOTRAUMA.ORG Центр Илизарова  

Ортопедия и травматология Общие вопросы/General questions Help Информационные технологии в медицине
 вверх
 отправить
 поиск
 админ
 главная


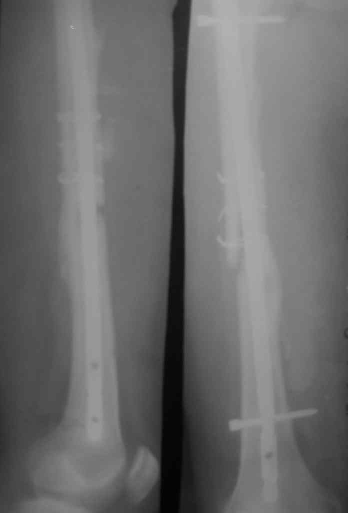
Перелом стержня, серкляж
Ортопедия и травматология Отправлено Владимир Бахарев 18 Декабрь 2006, 10:46
Здравствуйте коллеги!
Поступила молодая,маленькая девочка 18 лет с болями в левом бедре. Из истории:автодорожная травма в ноябре 2005 года, тогда же оперировалась данным способом. Проживает в селе и как правило в таких случаях выпала из поля зрения ведущего доктора.
По нашему мнению возможен реостеосинтез штифтом с рассверливанием более большого диаметра.Но возникают вопросы:
1.Убирать серкляж или нет если получится удалить отломки ChM закрыто.
2.Устранять деформацию бедра АВФ этапно или сразу одномоментно в ДРУ.
3.Блокирование - статическое или динмическое (либо статику на месяц а потом динамизация?)
4.Вопрос о костной пластике и туннелизации.
С уважением Владимир Бахарев.

<  |  >

 

  • Сообщения о Ортопедия и травматология
  • Также Владимир Бахарев
  • Связаться с автором
  • Ответить

    Re: Перелом стержня, серкляж
    олег 18 Декабрь 2006, 16:02
    1)Аппарат Илизарова,без удаления стержня.
    2) При невозможности-блокирующий статический остеосинтез,наверное не надо удалять церкляжи.Особенно,если удастся,удалить стержень закрыто.
    Очень интересно увидеть результат.
    [ Ответить ]

    • Re: Перелом стержня, серкляж
      Отправитель: Вадим Э. Дубров 19 Декабрь 2006, 11:46
      о> 1)Аппарат Илизарова,без удаления стержня.

      Вот уж разница в школах и в подходах. Если у меня самого что-нибудь подобное случится - обращусь к аппарату на бедре лишь в самом крайнем случае.

      о> 2) При невозможности-блокирующий статический остеосинтез,наверное не
      о> надо удалять церкляжи.Особенно,если удастся,удалить стержень закрыто.
      о> Очень интересно увидеть результат.


      Удалить закрыто не получится, и не надо пытаться. Проходили. А насчет серкляжей - так они свое подлое дело уже сделали, сейчас уже все равно..

      С уважением, В.Дубров



      [ Ответить ]
    Re: Перелом стержня, серкляж
    Alexaander Chelnokov 18 Декабрь 2006, 16:55
    ВБ> 1.Убирать серкляж или нет если получится удалить отломки ChM

    Не надо. Удаление проволоки ничего не улучшит.
    Как планируете удалять периферический конец гвоздя?

    ВБ> 2.Устранять деформацию бедра АВФ этапно или сразу одномоментно в ДРУ.

    Угол небольшой, получится одномоментно.

    ВБ> 3.Блокирование - статическое или динмическое (либо статику на месяц а

    Можон и так, и так. Гвоздь сломался, потому что давно было пора динамизировать. Так что можно и динамический, и компрессино-динамический.

    ВБ> 4.Вопрос о костной пластике и туннелизации.

    Рассверлить канал надо. Пластика в виде обнажения отломков, вырубания паза с помещением туда трансплантата не нужна.
    [ Ответить ]

    • Re: Перелом стержня, серкляж
      Отправитель: Алексей Семенистый 19 Декабрь 2006, 10:59
      > ВБ> 1.Убирать серкляж или нет если получится удалить отломки ChM
      > Не надо. Удаление проволоки ничего не улучшит.

      > Как планируете удалять периферический конец гвоздя?


      Гвоздь канюлированный! После удаления проксимального фрагмента и дистального винта попытаться завести в канал дистального отломка гвоздя достатояной длины спицу с предварительно изогнутым ввиде крючка концом, и зацепить за отверстие или конец. Если гвоздь сидит не плотно, то легко удалится. Если плотно, то разогнется крючок и вытащите пустую спицу. Тогда выбивать сверху вниз, т.е в колено.

      С уважением, А.Семенистый.
      ГКБ 13, Москва.

      [ Ответить ]
      • Re: Перелом стержня, серкляж
        Отправитель: Alexaander Chelnokov 19 Декабрь 2006, 17:38
        АС> в канал дистального отломка гвоздя достатояной длины спицу с
        АС> предварительно изогнутым ввиде крючка концом, и зацепить за


        Можно ввести сквозь фрагмент гвоздя проводник с шариком на конце, затем спицу или две, чтобы при вытягивании проводника шарик заклинился в торцевом отверстии...

        [ Ответить ]
      • Re: Перелом стержня, серкляж
        Отправитель: Castro 21 Декабрь 2006, 00:06
        Dear Alex,

        <Тогда выбивать сверху вниз, т.е в колено>
        Vi hotete dobavit' bolnoi esho odno bolshio problemu?

        [ Ответить ]
        • Re: Перелом стержня, серкляж
          Отправитель: Алексей Семенистый 21 Декабрь 2006, 17:15
          Это не очень большая проблема по сравнению с удаленем дистального отломка открыто через перелом (закрыто может и не получится). При ретроградном остеосинтезе введение штифта через колено считается вполне приемлимым, почему удаление должно добавить проблем больной?

          С уважением, А.Семенистый.
          ГКБ 13, Москва.

          [ Ответить ]
          • Re: Перелом стержня, серкляж
            Отправитель: Castro 22 Декабрь 2006, 14:59
            Potomuchto Vi ni smozete dozirovat' mesto ego vihoda, kogda Vi delaete retrogradny osteosythesis Vi tochno mozete opredilit' mesto vvedenia shtifta, hotia ito i metodika mene ni naravitsa iz za niobhodimosty vvedenia shtifta cherez... kolena

            [ Ответить ]
            • Re: Перелом стержня, серкляж
              Отправитель: Alexaander Chelnokov 22 Декабрь 2006, 20:15
              Надо сделать в дистальном отделе бедра отверстие там, где надо. Потом через него ввести проводник в нижний обломок стержня, и сверху выбивать вниз - обломок пойдет по проводнику. Если проводник снизу
              провести вверх через проксимальный отломок в верхнюю рану, можно и сформировать что-то типа крючка на нижнем конце, и нижний обломок стержня извлекать через верх. В общем, если сделать отверстия и
              вверху, и внизу, все сильно упрощается.

              [ Ответить ]
            • Re: Перелом стержня, серкляж
              Отправитель: Алексей Семенистый 23 Декабрь 2006, 08:24
              Приветствую, Castro. Приветствую, Александр.

              > Potomuchto Vi ni smozete dozirovat' mesto ego vihoda, kogda Vi delaete
              > retrogradny osteosythesis


              Вообщем, Александр, уже ответил.

              > Надо сделать в дистальном отделе бедра отверстие там, где надо. Потом
              > через него ввести проводник в нижний обломок стержня, и сверху
              > выбивать вниз - обломок пойдет по проводнику. Если проводник снизу....


              Саша, я именно так и мыслил.

              С уважением, А.Семенистый.
              ГКБ 13, Москва.

              [ Ответить ]
    • Re: Перелом стержня, серкляж
      Отправитель: Вадим Э. Дубров 20 Декабрь 2006, 01:05
      Саша,
      с моей точки зрения, в этой ситуации весьма целесообразна десятилетиями апробированная в нашей клинике остеопериостальная декортикация по Ситенко-Jude, тем более, что все равно подходить к зоне повреждения. Вот тебе и костная пластика....

      [ Ответить ]
      • Re: Перелом стержня, серкляж
        Отправитель: Alexander Chelnokov 20 Декабрь 2006, 01:12
        d> десятилетиями апробированная в нашей клинике
        d> остеопериостальная декортикация по Ситенко-Jude,


        Когда эту операцию придумали, были чуть другие возможности фиксации. У нас она тоже применялась, но минимум лет 15 как стала достоянием истории.

        d> тем более, что все равно подходить к зоне повреждения. Вот тебе и

        Не все, что сделать можно, делать нужно ;-)

        [ Ответить ]
        • Re: Перелом стержня, серкляж
          Отправитель: Вадим Э. Дубров 20 Декабрь 2006, 01:14
          Саша, дорогой,

          проблема консолидации связана не только, а с моей точки зрения, и не столько с фиксацией.
          В данном случае остео-периостальная декортикация является одним из видов костной пластики с учетом именно данного пациента. Можно, конечно спонгиозу крыла использовать, и остеоиндуктивные материалы.
          Все это дискутабельно в каждом конкретном случае, в зависимости от наличия или отсутствия дефекта костной массы, характера поражения, возраста, косметических последствий, финансов и т.д.
          На самом деле, если вы посмотрите современную западную статистику по интрамедуллярным остеосинтезам, то у многих авторов до 8% переломов бедра срастается замедленно. Встает дилемма - ждать (с ограничением функции) или активно и достаточно рано вмешиваться с использованием костной пластики для достижения ранней консолидации. Второй метод наиболее употребим ("Наши больные недостаточно богаты, чтобы долго лечиться". Н.Willentgger), нередко -
          даже без замены фиксатора.

          AC> Не все, что сделать можно, делать нужно ;-)

          А вот что нужно, и есть предмет дискуссии.


          [ Ответить ]
          • Re: Перелом стержня, серкляж
            Отправитель: Alexander Chelnokov 20 Декабрь 2006, 01:30
            d> проблема консолидации связана не только, а с моей точки зрения, и не
            d> столько с фиксацией.


            Те пациенты, у которых с фиксацией было все безупречно, но не срослось, хоть и встречаются, но далеко не доминируют. У большинства несросшихся можно выявить одну или несколько причин проблемы, в том числе предотвратимых.

            d> В данном случае остео-периостальная декортикация является одним из
            [...]
            d> Все это дискутабельно в каждом конкретном случае, в зависимости от


            Хорошо известно, что при тугих ложных суставах безотносительно к конретному случаю закрытый чрескостный остеосинтез сам по себе, без индуктивных, кондуктивных и прочих материалов, без открытых вмешательств на очаге, приводит к сращению практически всегда. То есть чистая стабилизация достаточна. Соответственно, если при этом сделать что-то еще, зачастую срастется и несмотря на это. ;-)

            d> у многих авторов до 8% переломов бедра срастается замедленно.

            Можно хотя бы несколько из этих многих?
            Открытые переломы, ложные суставы, другое что-то осложненное - возможно. Если говорить про закрытые переломы бедра - несращения даже с тонкими штифтами без рассерливания от силы 3-5%, с рассверливанием и того меньше. Из типичной публикации - "Treatment with an intramedullary nail led to a union rate of 98.9%" (Wolinsky PR, McCarty E, Shyr Y, Johnson K. Reamed intramedullary nailing of the femur: 551 cases. J
            Trauma. 1999 Mar;46(3):392-399)

            d> Встает дилемма - ждать (с ограничением функции) или активно и
            d> достаточно рано вмешиваться с использованием костной пластики для


            Тогда трилемма - можно просто пере- или заштифтовать с блокированием без дополнений. А если стержень не сломан, но сращения нет, то и ждать можно, причем без ограничения функции.

            d> недостаточно богаты, чтобы долго лечиться". Н.Willentgger), нередко -
            d> даже без замены фиксатора.


            И технически куда проще, и пациенту восстанавливаться куда быстрее, если закрыто сделать реостеосинтез с блоированием. Так что "без
            замены" фиксатора - это актуальнее для пластины.

            AC>> Не все, что сделать можно, делать нужно ;-)
            d> А вот что нужно, и есть предмет дискуссии.


            Вот и обсуждаем, пытаемся исключить ненужное...

            [ Ответить ]
          • Re: Перелом стержня, серкляж
            Отправитель: Castro 20 Декабрь 2006, 23:54
            Dear Vadim<
            Have a nice day,
            (у многих авторов до 8% переломов бедра срастается замедленн)............ Ito kogda operasia vipolniaetsa zakrito bez provolok i serklazei, Ni tak li?

            [ Ответить ]
    Re: Перелом стержня, серкляж
    Дрягин В. 18 Декабрь 2006, 20:27
    НА мой взгляд проблема вот в чём перелом стержня произошёл потому, что не произошло сращение перелома в обычные сроки. Отломки, которые фиксированы серкляжём практически 100 % нежизнеспособны.Наверняка их во время операции отделили от мышц и конец им. Поэтому необходимо удалить нежизнеспособные отломки вместе с серкляжной проволокой, гвоздь удалить.Поставить новый любой фирмы с блокированием с рассверливанием в область дефекта поставить металлокаркас, набить его костной крошкой и ждать перестройки костной ткани в металлокаркасе.Гвоздь будет удержировать длинну и ось ,а каркас сам по себе неплохо зажимается в условиях компрессии и создаст условия для перестройки трансплантата. А.Семенистый показывал на прошлой неделе плечо посмотрите.Принцип тот же. С уважением
    [ Ответить ]

    • Re: Перелом стержня, серкляж
      Отправитель: Alexaander Chelnokov 19 Декабрь 2006, 13:11
      Приветствую, Виталий,

      <>iДВ> потому, что не произошло сращение перелома в обычные сроки.

      По сути, получился остеосинтез пластиной - статическое запирание вкупе с обнажением для серкляжа.

      ДВ> Отломки, которые фиксированы серкляжём практически 100 %
      ДВ> нежизнеспособны. Наверняка их во время операции отделили от мышц и
      ДВ> конец им.


      Да чего уж так пессимистично - они уже реваскуляризуются. И возраст молодой, и времени прошло немало.

      ДВ> Поэтому необходимо удалить нежизнеспособные отломки
      ДВ> вместе с серкляжной проволокой, гвоздь удалить.


      За последнее время поступало человек 5 с таким серкляжем, ни разу при реостеосинтезе серкляж не удаляли, ни в одном случае проблем в дальнейшем не было.

      ДВ> Поставить новый любой фирмы с блокированием с рассверливанием

      Этого оказывается достаточно.

      ДВ> в область дефекта поставить металлокаркас, набить его костной

      Дефекта там сейчас нет, и непременно его формировать есть смысл только в случае инфекции.

      [ Ответить ]
    Re: Перелом стержня, серкляж
    Куликов Иван Владимирович 18 Декабрь 2006, 22:33
    Уважаемый Владимир, я что-то не могу понять как это закрыто извлечь дистальный отломок стержня???
    а на счет всего остального посмотрите внимательно.
    Ноябрь 2005г. и 18 лет это не 6-8мес это год. на последних снимках разве мы видим элементы "ЗДОРОВОЙ" консолидации сдесь должна быть серьезная гипертрофическая мазоль.
    на мой взгляд, выбирать конечно Вам. необходимо удалить стержень, убрать серкляжи под которыми Вы увидите "проблемную" кость. обязательно произвести костную аутопластику "вязанкой хвороста" дать компрессию предварительно заблокировав дистально в двух плоскостях и хорошую остеотропную терапию, раннюю нагрузку. и обследуйте больную на маркеры регенерации. Стержень длинноват и винты бы покороче. С Уважением Куликов.

    [ Ответить ]

    • Re: Перелом стержня, серкляж
      Отправитель: Maxim Agalakov 19 Декабрь 2006, 10:03
      Что подразумевает под собой хорошая остеотропная терапия и маркеры регенерации, как это все повлияет на результат?

      с уважением Максим Агалаков

      [ Ответить ]
    Re: Перелом стержня, серкляж
    Castro 19 Декабрь 2006, 03:16
    Na moi vzglad', niobhodimo udalit'centralnuio chast' gvozdia s proximalnimi shurupami i distalny blokiruieshy shurup i nalozit' apparat vneshnei fixasii posle odnomomentnoi reduksii zone pereloma, ni trogat' perefirichaskuio chast sterzjnia, vse zakrito, ni nuzno udalit' provolku ----- a voobshe za chem ee iznachalno'stavili??? kakim obrazom tuda dobralis'??? i esho odno, ni ochen' li dlinnie blokirueshie shurupu?
    Castro
    [ Ответить ]

    Re: Перелом стержня, серкляж
    Maxim Agalakov 19 Декабрь 2006, 10:06
    Ув. коллега, за период наблюдения не было ли каких-нибудь признаков инфекции?
    [ Ответить ]

    • Re: Перелом стержня, серкляж
      Отправитель: Владимир Бахарев 19 Декабрь 2006, 13:48
      Максим за время наблюдения(по амбулаторной карте)все нормально.На данный момент локально все спокойно,по анализам так же.

      [ Ответить ]
      • Re: Перелом стержня, серкляж
        Отправитель: Maxim Agalakov 19 Декабрь 2006, 17:35
        это ж хорошо, коллеги обсудили уже, наверное, все возможные варианты лечения, вам осталось только выбрать!Удачи!

        [ Ответить ]

     

    ( Ответить )

    Powered by Zope  Squishdot Powered MedLink
    Посетитель: 0010440
      "По форме правильно, а по существу - издевательство" В.И.Ленин
    ©2001-2019Orthoforum Coordinator.
    [ Главная | Отправить сообщение | Поиск | Админ ]