вверх
отправить
поиск
админ
главная
Предыдущее
|
Re: Продолжая тему "синтез лодыжек"
Алексей Семенистый 20 Декабрь 2006, 01:32
|
Приветствую.
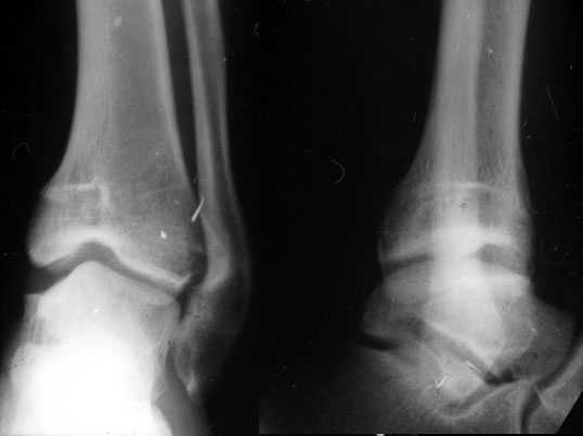
Скорее это перелом пилона 43В
представляю
> сегодняшние снимки. Главный вопрос : что делать?
Оперировать. Остеотомия, исправлять ось. Вопрос чем фиксировать? Зависит от того, чем владеете, что у вас есть в отделении, что может себе позволить пациент.
Я бы фиксировал пластинами LCP: 1\3 трубки на м\б и метафизарную 3,5/4,5/5,0 или DMT на б\б...
Но можно гвоздем, можно и аппаратом...
С уважением, А.Семенистый.
ГКБ 13, Москва.
|
|
|
Ответить
|
Re: Продолжая тему "синтез лодыжек"
Дрягин В 20 Декабрь 2006, 18:40
|
Без сомнения поддерживаю А Семенистого.Необходимо выполнить остеотомию большеберцовой кости низкую, поэтому помимо синтеза нар.лодыжки пластиной 1/3 трубки я бы запланировал синтез большеберцовой кости клевером LCP.Результат будет лучше.В аппарате потеряете оставшийся объём движений.С уважением
|
[
Ответить ]
|
Re: Продолжая тему "синтез лодыжек"
Отправитель: Alexander Chelnokov 20 Декабрь 2006, 23:55
|
ДВ> остеотомию большеберцовой кости низкую, поэтому помимо синтеза
ДВ> нар.лодыжки пластиной 1/3 трубки я бы запланировал синтез
ДВ> большеберцовой кости клевером LCP.Результат будет лучше.
Аппаратом можно сделать все минимально инвазивно и травматично, вырастить клиновидный регенерат после чрескожной остеотомии через один или два разреза 0,5 см. В приложении похожий по локализации случай, только более давние последствия травмы с замыканием части зоны роста, деформация побольше, плюс укорочение голени было.

ДВ> В аппарате потеряете оставшийся объём движений.
Движения стра дают в основном из-за сквозного прошивания передней группы мышц. На диафизе в аппарате поэтому лучше вводить стержни с
передне-внутренней стороны. И движения еще в аппарате будут приличные.
|
[
Ответить ]
|
Re: Продолжая тему "синтез лодыжек"
Отправитель: Алексей Семенистый 21 Декабрь 2006, 02:08
|
ДВ> остеотомию большеберцовой кости низкую, поэтому помимо синтеза
ДВ> нар.лодыжки пластиной 1/3 трубки я бы запланировал синтез
ДВ> большеберцовой кости клевером LCP.Результат будет лучше...
ACh>Аппаратом можно сделать все минимально инвазивно и травматично, вырастить клиновидный ACh>регенерат после чрескожной остеотомии через один или два разреза 0,5 см.
ДВ>В аппарате потеряете оставшийся объём движений.
ACh>И движения еще в аппарате будут приличные.
Господа, товарищи! А сколько время потеряет врач с аппаратом! Время больного это его личное дело. А время врача оно ближе к телу, Время - деньги!
|
[
Ответить ]
|
Re: Продолжая тему "синтез лодыжек"
Отправитель: Alexaander Chelnokov 21 Декабрь 2006, 17:12
|
Померять однозначно сложно. Зато операция с аппаратом проще и быстрее. Провел-собрал-через прокол рубанул-1 шов-иди отдыхай. А открыто - и клиновидный дефект одномоментно может получиться большой, и очень короткий дистальный отломок фиксировать не очень будет удобно, потом на итоговых снимках вдруг обнаружится, что уголок не совсем такой, как планировали... Про другие возможные проблемы вспомнить можно...
Есть возможность аппаратом все исправить, а потом перейти на внутреннюю фиксацию.
|
[
Ответить ]
|
Re: Продолжая тему "синтез лодыжек"
Отправитель: Дрягин В. 21 Декабрь 2006, 19:03
|
Уважаемый Александр то что вы показали это интересно, но это два разных случая. В ваших снимках большая деформация, которая требует выращивания массивного регенерата, поэтому здесь согласен лучше аппарат, а представленном случае дефект будет небольшой поэтому накостный синтез решит все проблемы за 2 недели без ключей 8*10 в течении 3-5 месяцев.Зачем себе создавать головную боль.
С уважением
|
[
Ответить ]
|
Re: Продолжая тему "синтез лодыжек"
Отправитель: Alexaander Chelnokov 21 Декабрь 2006, 19:05
|
Согласен, тут деформация меньше, но все-таки заметная, почти 20 градусов. Я бы устранял ее как на приложенной картинке.

При таком варианте с аппаратом все легко и просто. С пластиной - должны быть трудности. Может быть, следовало бы планировать коррекцию как-то иначе? Как?
|
[
Ответить ]
|
Re: Продолжая тему "синтез лодыжек"
Отправитель: Дрягин В. 22 Декабрь 2006, 13:43
|
Думаю, что больше нет вариантов Автор сам выберет, чем он владеет лучше. С уважением
|
[
Ответить ]
|
|
( Ответить )
|
|