AOTRAUMA.ORG Центр Илизарова  

Ортопедия и травматология Общие вопросы/General questions Help Информационные технологии в медицине
 вверх
 отправить
 поиск
 админ
 главная
 Предыдущее


Re: Перелом шейки бедра, выявленный после штифтова
Виктор П. Волошин 27 Декабрь 2006, 02:40
Ответные поздравления и пожелания специалистам первой линии обороны! Фиксация вертикального перелома чресшеечными винтами не гарантирует стабильности на период сращения. Будут определенные трудности в определении допустимого режима нагрузки в послеоперационном периоде. С большой вероятностью исход - coxa vara/несращение и дефект кости из-за миграции винтов + ротационная подвижность диафиза на штифте. Напрашивается более биомеханически обоснованный реостеосинтез после выведения больного "из состояния".
ВВП, МОНИКИ
  • Сообщения о Ортопедия и травматология
  • Также Виктор П. Волошин
  • Связаться с автором
  • Ответить

    Re: Перелом шейки бедра, выявленный после штифтова
    Djoldas Kuldjanov, M.D. 03 Январь 2007, 22:33
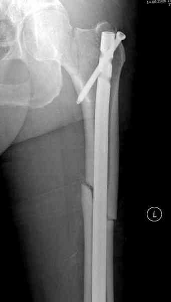
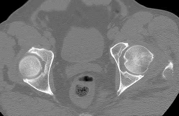
    Здесь представлены снимки больного 65 лет, поступившего с диагнозом перелом
    бедра после автоаварии.



    В первый же день произведено антеградное штифтованием DePuy Trochanteric Nail.



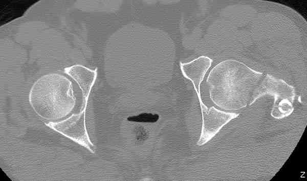
    На второй день (7) обнаружен пропущенный перелом,



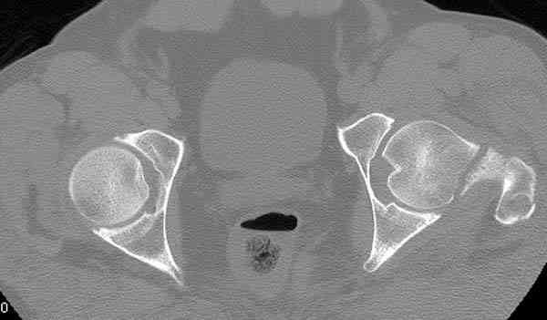
    сделаны Компьютерная Томограмма



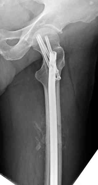
    и проведены шурурпы через и спереди штифта без удаления.




    Послеоперационные снимки




    Djoldas Kuldjanov, MD
    Department of Orthopedic Surgery
    St. Louis University Medical Center
    [ Ответить ]


    ( Ответить )

    Powered by Zope  Squishdot Powered MedLink
    Посетитель: 0015048
      "По форме правильно, а по существу - издевательство" В.И.Ленин
    ©2001-2019Orthoforum Coordinator.
    [ Главная | Отправить сообщение | Поиск | Админ ]