ВХОД ДЛЯ ПАЦИЕНТОВ
вверх
поиск
админ
главная
исходное
|
Re: Исход застарелого вывиха бедра
послал Рашид Муртузалиевич Тихилов 23 Январь 2007, 11:34
|
Уважаемый Марк, коллеги,
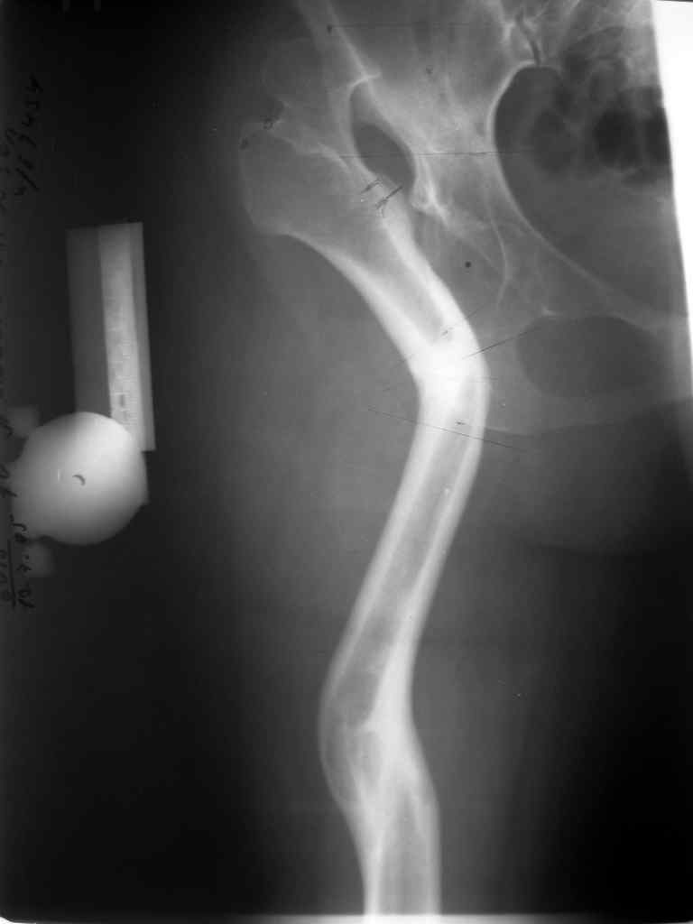
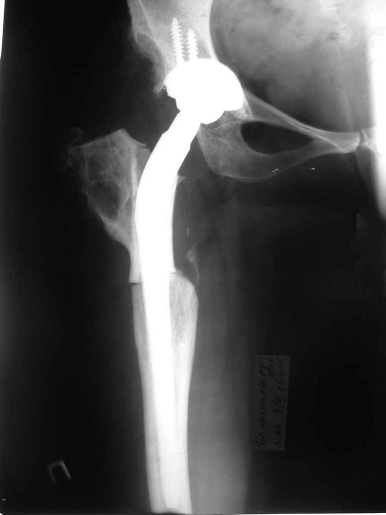
Поднят очень интересный вопрос об эффективности создания опорного бедра по Илизарову у молодых пациентов (ок). Наверное мне не повезло и я не
видел положительных результатов после этих операций, а вот проблемных больных приходится видеть достаточно часто. Причем сроки их обращения
после остеотомии короткие - 3-5 лет, а выполнение эндопротезирования после остеотомии на двух уровнях с многоплоскостной деформацией является
серьезным испытанием и для пациента и для хирурга. Я тоже не сторонник эндопротезирования в молодом возрасте, но уж после неудачных остеотомий
просто нет другого выхода. Проблема еще заключается в том, что каждый из нас видет ограниченное кол-во больных и в разные сроки. Детско-юношеские ортопеды наблюдают больных только до взрослого возраста, а дальше они
уходят из-под контроля. Современные эндопротезы дают хорошие и устойчивые результаты, поэтому не думаю, что ответ однозначный в пользу
остеотомии. Я представил Р-граммы больных с неудачными р-ми после остеотомий.

Эндопротезирование у них было на порядок сложнее в отличие от артропластики без проведения остеотомии.
С уважением, Р.Тихилов
|
| Послать ответ |
Обратите внимание: Поля с жирными названиями обязательны.
Старайтесь отвечать в рамках обсуждаемой темы, а не начинать новые обсуждения.
Указывайте адекватную тему сообщения, чтобы было ясно, о чем оно.
Не послайте сообщений не по теме (оффтопик), раздраженных, грубых или обидных комментариев. Здесь это неуместно.
|