вверх
отправить
поиск
админ
главная
|
Псевдоартроз костей голени |
 |
 |
 |
Отправлено Екатерина А. Озерова 24 Январь 2007, 18:09
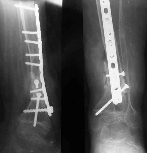
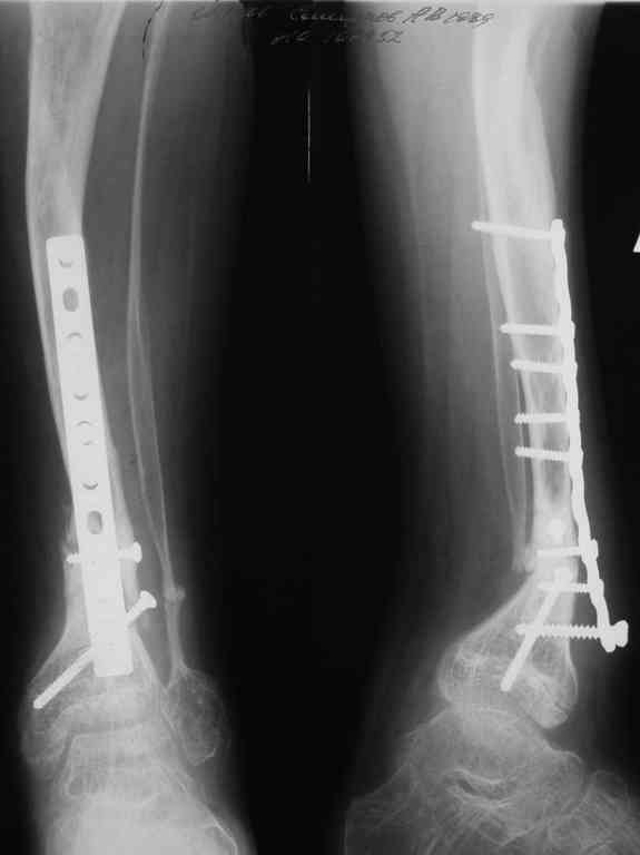
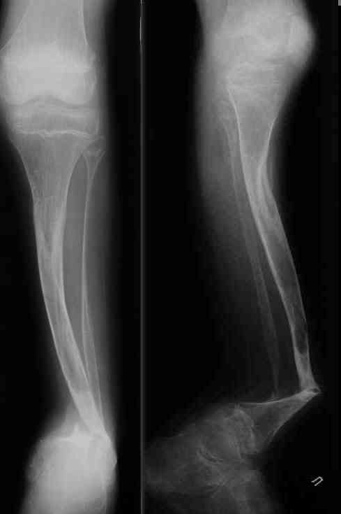
Уважаемые коллеги! В отделении на лечении наблюдается пациент 16 лет с диагнозом: Псевдоартроз костей левой голенив нижней трети. Вальгусная деформация обоих коленных суставов. Укорочение левой н/конечности11см. С 1997 года состоит на учёте у онколога с диагнозом: Рабдомиосаркома мышц тазового дна IV ст., с метастазами в метафизы берцовых костей.Проведена полихимиотерапия, лучевая терапия. В 1998 г. удаление опухоли. Послеоперационный период без особенностей. С 1998 года со стороны онкологии ремиссия, перестройка очагов метастазирования в берцовых костях по типу фиброзной дисплазии.В 1999 г. патологический перелом костей левой голени в н/трети. Лечение в гипсе 1.5 месяца, затем компрессионно-дистракционный остеосинтез апп. Илизарова. Сращения на месте псевдоартроза не достигнуто. С 1999г. ходит без нагрузки на левую н/конечность. Выраженный остеопороз костей н/конечностей. 17.11.05. Операция: Костная пластика зоны псевдоартроза левой б/берцовой кости по типу "русский замок", остеосинтез пластинкой и винтами. После начала нагрузки на конечность рецидив деформации, миграция фиксаторов. 05.12.06. Операция: Удаление фиксаторов из левой голени. Шарнирная остеотомия трети левой б/берцовой кости, остеотомия м/берцовой кости. Дистракционный остеосинтез апп. Илизарова. Устранены основные виды деформации б/берцовой кости. Планировали в дальнейшем несвободную костную аутопластику и интрамедуллярный остеосинтез с блокированием, но кость очень тонкая, склерозированная, выраженный остеопороз. Возникают большие сомнения о возможности сращения даже при этих условиях. Будем рады услышать ваши мнения по дальнейшему лечению данного пациента. Екатериан Анатольевна Озерова, детское отделение УНИИТО
<
|
>
|
|
Ответить
|
Re: Псевдоартроз костей голени
александр Клоков 25 Январь 2007, 16:46
|
Здравствуйте!
А аппарат не демонтирован? Если так, то может быть попробовать такой вариант: провести две дополнителные спицы с напайкой в область формирующегося ложного сустава, предварительно подложив под напайки кортикальные пластины (аллотрансплантат) с перекрытием зоны псевдоартроза с двух сторон. Спицы с небольшим давлением. Также в эту зону уложить дименерализованный аллотрансплантат по типу "вязанки хвороста".
С уважением,
Александр Клоков
БСМП Мурманск
|
[
Ответить ]
|
Re: Псевдоартроз костей голени
Odessky Jacob M.D. 26 Январь 2007, 02:56
|
Приветствую, уважаемые коллеги!
Можно попросить снимки области псевдоартроза?
С уважением!
|
[
Ответить ]
|
|
|
Re: Псевдоартроз костей голени
Ильин Вадим 26 Январь 2007, 23:34
|
Заранее прошу прощения у неизвестных коллег, но кому пришло в голову синтезировать такую проблемную голень LC DCP по гребню большеберцовой кости? С какой целью выполнена остеотомия? С уважением, Ильин В.С.
|
[
Ответить ]
|
Re: Псевдоартроз костей голени
Леонид Соломин 29 Январь 2007, 15:11
|
Уважаемая Екатерина Анатольевна! Совместно с зав. отделением микрохирургии РНИИТО им. Р.Р. Вредена к.м.н. Л.А.Родомановой полагаем, что в данном случае целесообразно выполнить пластику ложного сустава васкуляризированным аутотрансплантатом: из малоберцовой или лучевой костей.
Всего наилучшего,
Л.Соломин
|
[
Ответить ]
|
( Ответить )
|
|