AOTRAUMA.ORG Центр Илизарова  

Ортопедия и травматология Общие вопросы/General questions Help Информационные технологии в медицине
 вверх
 отправить
 поиск
 админ
 главная


Травма таза
Ортопедия и травматология Отправлено Юрий Алексеевич Булахтин 11 Февраль 2007, 14:07 Камчатский Военно-морской госпиталь
Уважаемые коллеги!
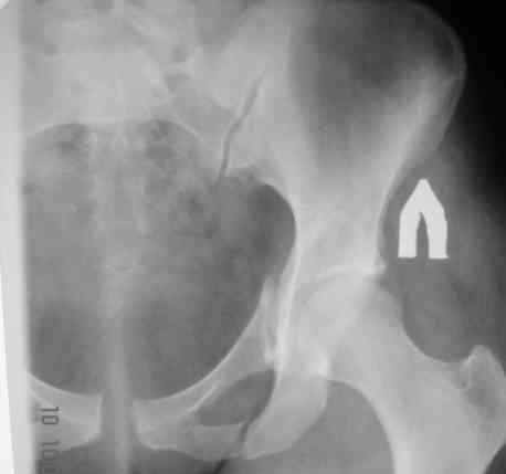
Консультировал больную 28-ми лет. Месяц как выписана из одного из стационаров, там тоже лечилась около м6есяца, т.е. травма примерно два месяца назад - сбита машиной.
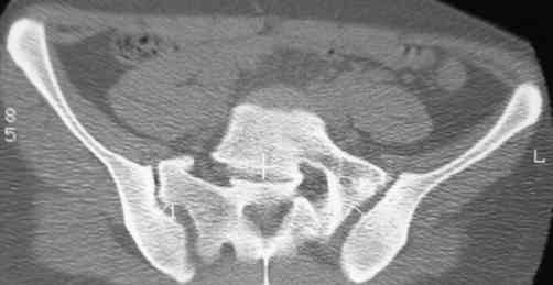
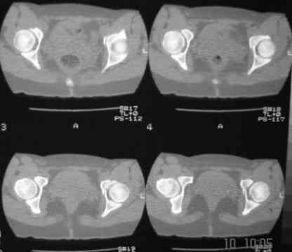
В больнице вправили вывих бедра, три недели на вытяжении. Беспокоят боли в левом тазобедренном суставе и левом крестцово-подвздошном сочленении. Ходит с тростью. Снимок - в приложении. Направил на КТ, заключение: разрыв симфиза и левого крестцово-подвздошного сочленения, переломы крыши и заднего края вертлужной впадины, горизонтальной ветви лонной кости слева.
Хотел-бы услышать мнения по-поводу лечения:1. оперировать - сроки и объем?
2. надо-ли что-то делать с таким перелом вертлужной впадины сейчас или подождать пока проясниться судьба головки левой бедренной кости?
С уважением, Юрий Алексеевич Булахтин.

<  |  >

 

  • Сообщения о Ортопедия и травматология
  • Также Юрий Алексеевич Булахтин
  • Связаться с автором
  • Ответить

    Re: Травма таза
    Рунков А.В. 12 Февраль 2007, 09:28
    Уважаемый д-р Булахтин, на мой взгляд единственное повреждение требующее синтеза - застарелый разрыв лона. Низкий перелом передней колонны безопасен, повреждения свода не вижу, неясно что было сзади (скорее боковая масса)лучше сделать обзорный снимок прямой и Inlet.
    Т.о. пластинка на лоно сейчас, про впадину забыть (важен только факт вывиха, а был ли он?)
    С уважением Рунков А.В.
    [ Ответить ]

    • Re: Травма таза- Рункову А.В.
      Отправитель: Юрий Алексеевич Булахтин 21 Февраль 2007, 13:31
      Уважаемый А.В.Рунков!
      Спасибо за участие в обсуждении, извиняюсь за поздний ответ - отсутствовал в госпитале.
      Уточните, если можно:
      1.Вы считаете, что в данном случае нет повреждения крестцово-подвздошного сочленения?
      2.повреждение есть, но в данном случае его не надо восстанавливать?
      3.повреждение есть, но его, вообще, не надо оперировать?
      4.Вывих, к сожалению, был. Так как у
      всех взрослых, кого я видел с переломо-вывихами, АНГБК развивался в течении 2-3 месяцев от начала нагрузки на конечность хочу еще раз уточнить - оперировать-ли что-то сейчас (симфиз?) или подождать?
      Заранее извиняюсь, что пишу не сделав рекомендованные рентгенпроекции - доделаю и представлю.
      Спасибо, с уважением Юрий Алексеевич Булахтин.

      [ Ответить ]
      • Re: Травма таза- Рункову А.В.
        Отправитель: Рунков Алексей 28 Февраль 2007, 16:16
        Очень похоже на повреждение от бокового сжатия.
        Признаков разрыва сочленения не вижу, м.б. контрлатеральный перелом боковой массы.
        Если был задний вывих, то повреждение должно локализоваться сзади. В данном случае перелом спереди, как результат сдавления лонного сочленения.
        Т.е. головка не работала молотком.
        Синтез лонного сочленения восстановит стабильность тазового кольца.
        А вывих можно вести не обращая внимания на перелом.
        Не наступать на ногу 3 месяца.
        АНГБК развивается далеко не у всех, даже после больших реконструктивных операций и в застарелых случаях. Если вывих вправлен в первые 6 часов, шансы на успех вообще больше 90%.
        Так, что синтезируйте лоно и ничего не бойтесь.
        С уважением А.В. Рунков.

        [ Ответить ]
        • Re: Травма таза- Рункову А.В.
          Отправитель: Юрий Алексеевич Булахтин 01 Март 2007, 02:42
          Уважаемый А.В. Рунков!
          Огромное спасибо за комментарий.
          С предложенным Вами планом печения полностью согласен.

          Юрий Алексеевич Булахтин

          [ Ответить ]

     

    ( Ответить )

    Powered by Zope  Squishdot Powered MedLink
    Посетитель: 0000153
      "По форме правильно, а по существу - издевательство" В.И.Ленин
    ©2001-2019Orthoforum Coordinator.
    [ Главная | Отправить сообщение | Поиск | Админ ]