AOTRAUMA.ORG Центр Илизарова  

Ортопедия и травматология Общие вопросы/General questions Help Информационные технологии в медицине
 вверх
 отправить
 поиск
 админ
 главная


оссификация
Ортопедия и травматология Отправлено Травматологическое отделение ГУЗ РОКБ 21 Февраль 2007, 16:05
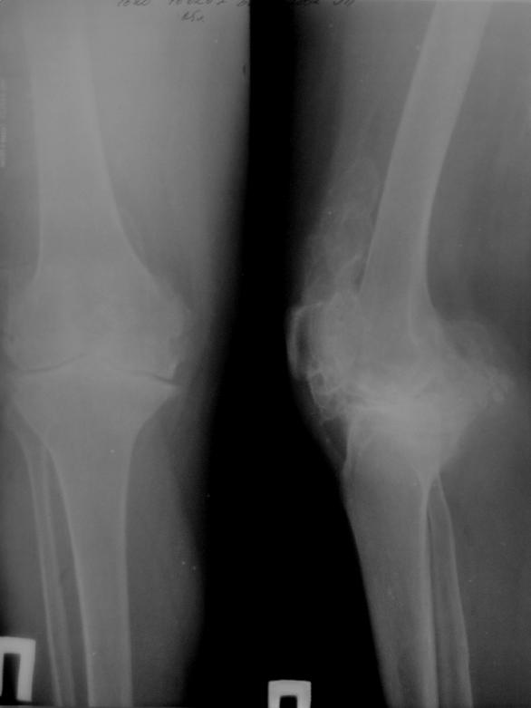
Уважаемые коллеги!Возможно ли протезирование в данной ситуации, пациентке 65 лет.


<  |  >

 

  • Сообщения о Ортопедия и травматология
  • Также Травматологическое отделение ГУЗ РОКБ
  • Связаться с автором
  • Ответить

    Re: оссификация
    Валерий М.Николаев 22 Февраль 2007, 01:11
    Технически протезирование в данной ситуации на мой взгляд вполне возможо. Только по Р-гр. оценить состояние сгибательно-разгибательного аппарата, стойкость и длительность контрактуры коленногосустава невозможно. Поэтому сложно прогнозировать процесс реабилитации пациента.
    С уважением В.М.Николаев г.Москва
    [ Ответить ]

    Re: оссификация
    Рашид Муртузалиевич Тихилов 22 Февраль 2007, 11:27
    Да, возможно.
    С уважением, Р.Тихилов
    [ Ответить ]

    Re: оссификация
    ильдар Ф.Ахтямов 26 Февраль 2007, 01:14
    Протезирование возможно. АИФ
    [ Ответить ]


    ( Ответить )

    Powered by Zope  Squishdot Powered MedLink
    Посетитель: 0000171
      "По форме правильно, а по существу - издевательство" В.И.Ленин
    ©2001-2019Orthoforum Coordinator.
    [ Главная | Отправить сообщение | Поиск | Админ ]