ВХОД ДЛЯ ПАЦИЕНТОВ
вверх
поиск
админ
главная
исходное
|
Re: Высеялся из свищевого хода Enterococcus faecal
послал Djoldas Kuldjanov 24 Март 2007, 19:16
|
Из всех антибиотиков против Enterococcus faecalis действует Unasyn, состоящий из двух антибиотиков (Ampicillin sodium is derived from the penicillin nucleus,6-aminopenicillanic acid. Sulbactam sodium is a derivative of the basic penicillin nucleus) и назначают по 3 грамма внутривенно каждые 6 часов.
В данном случае глубоко расположенную инфекцию не вылечитm частичными дебридментами и даже концентрацией самых мощных антибиотиков.
Более адекватным считается удаление эндопротеза и установка временного спейсера из цемента с антибиотиком.
Действие спейсеров из цемента это не только локальная концентрация антибиотиков, хотя немаловажно иметь депо антибиотиков на длительное
время? и еще один из главных свойств спейсера - это уменьшение пространства, оставленного после удаленого протеза или мертвой кости, например, при остеомиелитах.
"Space"-пространство, заполненное цементом. Закрывая полость, он предотвращает накоплению крови или других жидкостей тела и уменьшением питательной среди для микроорганизмов предотвращает повторную инфекцию.
Возможно, эффект магического действие цемента с антибиотиком действительно в этом, если лечение инфекции костей зависело бы только от антибиотиков, тогда концентрацию антибиотика в организме можно было бы добиться другими средствами, например инфузионной терапией.
В данный момент как заполнитель, цемент с антибиотиком принят как стандарт лечения не только при инфекциях скелета, но и применяется при лечении инфекции мягкой ткани.
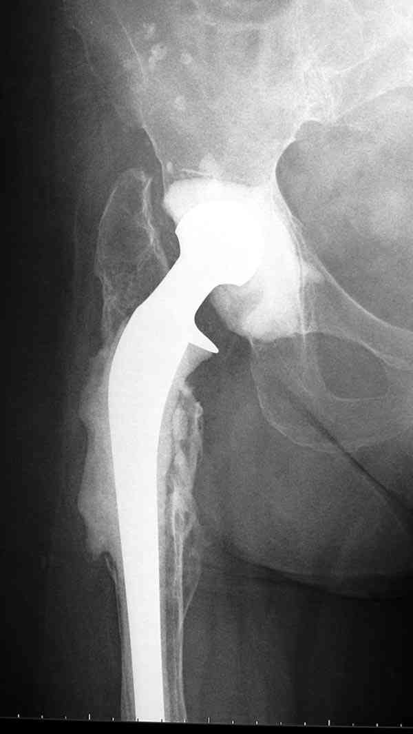
Недавно на сайте выставлял случай восьмилетнего наблюдения после инфицированного эндопротезирования, кроме ножки из цемента с антибиотиком также был сооружен и ацетабулярный компонент.

Так что вместе ожидания, можно было бы рассмотреть предлагаемый вариант, потом, если это возможно было бы интересно посмотреть на рентгенологическую картину.
Djoldas Kuldjanov, MD
Department of Orthopedic Surgery
St. Louis University Medical Center
|
| Послать ответ |
Обратите внимание: Поля с жирными названиями обязательны.
Старайтесь отвечать в рамках обсуждаемой темы, а не начинать новые обсуждения.
Указывайте адекватную тему сообщения, чтобы было ясно, о чем оно.
Не послайте сообщений не по теме (оффтопик), раздраженных, грубых или обидных комментариев. Здесь это неуместно.
|