AOTRAUMA.ORG Центр Илизарова  

Ортопедия и травматология Общие вопросы/General questions Help Информационные технологии в медицине
 ВХОД ДЛЯ ПАЦИЕНТОВ
 вверх
 поиск
 админ
 главная


Нелеченный перелом вертлужной впадины
Ортопедия и травматология Прислано Alexander Chelnokov 23 Март 2007, 00:06
из
Дорогие коллеги,
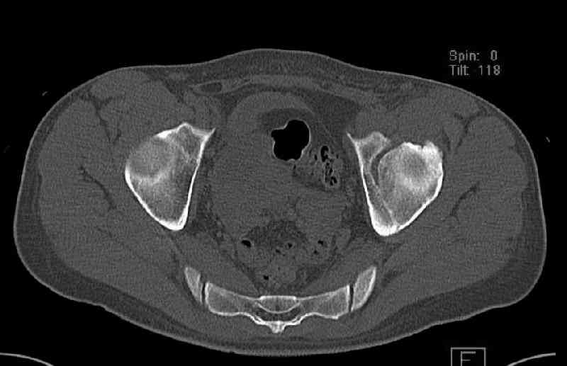
Мужчина 33 лет получил травму в шахте (придавило вагонеткой) 6 недель назад. Изолированное повреждение вертлужной впадины.
В местной больнице отлежал несколько недель на вытяжении. После выписки амбулатрный травматолог направил в институт. На сегодня, похоже, уже имеется неправиильное сращение. См. картинки.

Вопрос - что делать сейчас? Оставить как есть или идти на открытое восстановление? Если последнее, то какой доступ, репозиционные манипуляции и фиксацию тут можно посоветовать? Заранее спасибо.
Dear all, A male 23 y.o. injured 6 weeks ago - mine trauma, impacted by a carriage. Isolated injury of the acetabulum. At the initial hosptial was on bed traction some weeks. After discharge visited anotheк orthopaedic surgeon who referred him to our unit. To date looks like a malunion. Images attached. The question is about what to do now - either leave it as is or perform open reduction? If the latter what approach, reduction manoeuvres and fixation would you advice? Thx in advance!

Послать ответ

Имя
Email
Уведомление Сообщить мне по e-mail об ответах на это сообщение
Название
Комментарий
(Проверьте URL! Не забудьте написать http://!)
Кодировка
Если не знаете, что выбрать, выберите "Просто текст"!
Приложение
Можно приложить к сообщению файл c изображением, который затем будет доступен увидевшим сообщение.
Подготовка иллюстраций:
  • Рентгенограммы: черно-белые полутоновые изображения в формате JPEG (8 bit, greyscale) с разрешением от 300х200 до 1024х768 пикселов;
  • Клинические фотографии: полноцветные изображения в формате JPEG (24 bit, truecolor) с разрешением от 300х200 до 1024х768 пикселов;
  • Схемы и рисунки: черно-белые (2 bit) штриховые (line-art) изображения в формате GIF или compressed TIFF
  • Подберите степень сжатия файла JPEG и размер изображения таким образом, чтобы необходимые детали были различимы, но размер файла не превышал 75 кб.
  • Учтите, что текущая версия программного обеспечения Форума позволяет приложить к одному сообщению лишь один файл-вложение. Поэтому, если необходимо отправить несколько изображений, можно либо послать каждое как отдельное сообщение, либо в графическом редакторе объединить изображения в одно (сделать коллаж).
  • Если при подготовке изображений встречаются трудности, не стесняйтесь обратиться к координатору Форума.

  • Введите видимые символы в обратном порядке. Enter the above characters in reverse order (*Обязательно)
    В тексте сообщения можно использовать теги HTML <B> <I> <P> <A> <LI> <OL> <UL> <EM> <BR> <TT> <HR> <STRONG> <BLOCKQUOTE> <DIV .*> <DIV> <P .*>
  • Обратите внимание: Поля с жирными названиями обязательны.
  • Старайтесь отвечать в рамках обсуждаемой темы, а не начинать новые обсуждения.
  • Указывайте адекватную тему сообщения, чтобы было ясно, о чем оно.
  • Не послайте сообщений не по теме (оффтопик), раздраженных, грубых или обидных комментариев. Здесь это неуместно.
  • Powered by Zope  Squishdot Powered MedLink
    Посетитель: 0312861
      "По форме правильно, а по существу - издевательство" В.И.Ленин
    ©2001-2019Orthoforum Coordinator.
    [ Главная | Отправить сообщение | Поиск | Админ ]