вверх
отправить
поиск
админ
главная
Предыдущее
Весь тред
|
Re: Артродез г/стопного сусутава
В.Машталов 31 Март 2007, 10:21
|
Ув. Алексей вы пишете
> Мы бы сделали тоже самое с остатками лодыжек, но артродез, который
> безусловно показан, выполнили бы закрыто блокируемым штифтом (типа DFN)
> через пятку. >
Опороспособность восстановится сразу, артродез (рентгенологический) наступит
месяцев через 4-6.
Какие в этом случае планы на подтаранный сустав, изначально идете на его замыкание и замыкается ли он при данном синтезе?
Если можно, покажите подобный случай.
с ув. В. Машталов
|
|
|
Ответить
|
Re: Артродез г/стопного сусутава
Алексей Семенистый 01 Апрель 2007, 14:09
|
Приветствую!
> Какие в этом случае планы на подтаранный сустав, изначально идете на его
> замыкание и замыкается ли он при данном синтезе?
Да. Изначально планируется и подтаранный артродез.
> Если можно, покажите подобный случай.

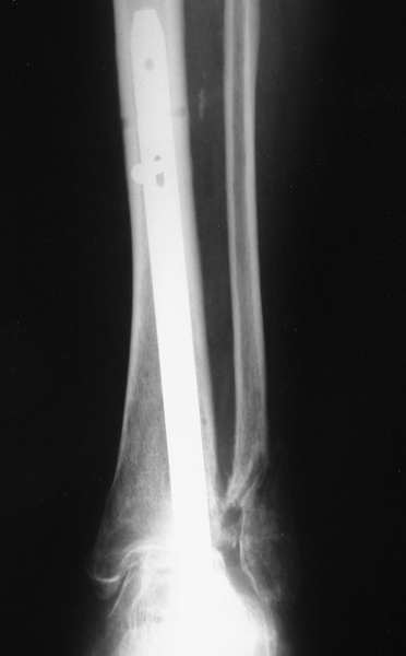
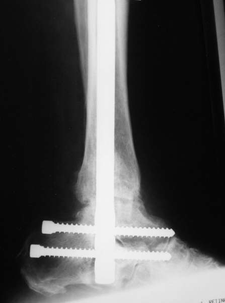
Можно: 65-летняя пациентка, оперирована по поводу несросшегося в гипсе перелома лодыжек с патологической вальгусной установкой стопы и выраженным нарушением опрной функции. Оперирована через 6 месяцев после травмы. Рентгенограммы через 4 месяца после операции.
С уважением, А.Семенистый.
ГКБ 13, Москва.
|
[
Ответить ]
|
Re: Артродез г/стопного сусутава
Отправитель: В.Машталов 01 Апрель 2007, 14:10
|
> Да. Изначально планируется и подтаранный артродез.
насколько я понял, подтаранный сустав замыкается в результате чрезсуставного остесинтеза, отдельных мероприятий ( резекция суставного хряща) не выполняется.
Спасибо за пример.
с ув. В. Машталов
|
[
Ответить ]
|
Re: Артродез г/стопного сусутава
Отправитель: Никита Заднепровский 01 Апрель 2007, 14:12
|
ВМ> чрезсуставного остесинтеза , отдельных мероприятий ( резекция суставного
ВМ> хряща) не выполняется.
Тоже хотел задать этот же вопрос.
Если резекции сустаной поверхности не выполняется, то
формируется фиброзный анкилоз ... этого достаточно
клинически для врача и субъективно для пациента?
С уважением, Заднепровский Никита Николаевич
|
[
Ответить ]
|
Re: Артродез г/стопного сусутава
Отправитель: A Liberson 01 Апрель 2007, 14:15
|
Dear Dr Zadneprovsky!
As I wrote you SHOULD remove the subtalar joint cartilage!!
Though there are techniques to do less removal-I described one also, but in this case I would remove it.
I may suggest a retrograde nail either of Aesculap or Richards for this purpose.There is also a nail of Orthofix.
Dr Liberson
|
[
Ответить ]
|
Re: Артродез г/стопного сусутава
Отправитель: Алексей Семенистый 02 Апрель 2007, 23:35
|
> насколько я понял, подтаранный сустав замыкается в результате
> чрезсуставного остесинтеза,
Да, впрочем, как и голеностопный.
>отдельных мероприятий ( резекция суставного
> хряща) не выполняется.
Само формирование и рассверливание канала для штифта и есть те "отдельные мероприятия", которых достаточно...
С уважением, А.Семенистый.
ГКБ 13, Москва.
|
[
Ответить ]
|
Re: Артродез г/стопного сусутава
Отправитель: Alexaander Chelnokov 02 Апрель 2007, 23:37
|
> Само формирование и рассверливание канала для штифта и есть те
> "отдельные мероприятия", которых достаточно...
Коллега A.Liberson не зря пишет о необходимости удалениях хряща для надежного замыкания податарнного сустава. В каких-то случаях, наверно, сустав и без этого замкнется, но непременно встретится и такой пациент, когда отсутствие анкилоза проявится сломанным стержнем.
|
[
Ответить ]
|
Re: Артродез г/стопного сусутава
Отправитель: Alexander Zolotov 01 Апрель 2007, 14:13
|
УважаемыЙ Алексей,
Спасибо за великолепную демонстрацию. Хотелось бы взять на вооружение. Где можно найти подробное описание операции?
|
[
Ответить ]
|
Re: Артродез г/стопного сусутава
Отправитель: Анатолий 04 Апрель 2007, 15:32
|
Существуют специальные системы для артродеза голеностопного сустава. См. приложение

|
[
Ответить ]
|
Re: Артродез г/стопного сусутава
Отправитель: Ramil 05 Апрель 2007, 13:20
|
Уважаемый А.Семенистый. Складывается впечатление, что вы выполнили трехсуставный артродез, уж больно длинные блокирующие винты. Не мешают ли они пациентке при ходьбе?
С увважением Ramil
|
[
Ответить ]
|
Re: Артродез г/стопного сусутава
Отправитель: Алексей Семенистый 05 Апрель 2007, 14:40
|
Да конечно винты длинноваты! Мешают ли ходить? Во всяком случае субьективно пациентка удовлетворена. Ходит, естевственно, хуже чеи до травмы, но намного лучше, чем до операции.
С уважением, А.Семенистый.
ГКБ 13, Москва.
|
[
Ответить ]
|
|
( Ответить )
|
|